| UNIPROT | Q14116 |
| Иммуноген | Рекомбинантный белок, соответствующий человеческому IL18 |
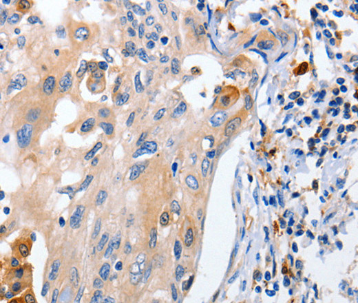
IL18 Polyclonal Antibody (E-AB-14154)
Реактивность подтвержденная:
человек
Источник (хозяин):
кролик
Валидировано для:
IHC
WB
Характеристики
Публикации
Техническое описание
| Каталожный номер | E-AB-14154 |
| Название антигена | Interleukin 18 (IL18) |
| UNIPROT | Q14116 |
| Иммуноген | Рекомбинантный белок, соответствующий человеческому IL18 |
| Английские синонимы | IGIF, IL-1g, IL1F4, IL1-F4, Interferon-Gamma-Inducing Factor, Interleukin-1 Family Member 4, Iboctadekin, Interleukin-1 Gamma, IL-18 |
| Русские синонимы | ИЛ18, ИЛ-18 |
Реактивность подтвержденная Нужна другая реактивность? |
человек |
| Источник (хозяин) | кролик |
| Изотип | IgG |
| Клональность | поликлональное |
| Рекомбинантное | нет |
| Готовое к использованию | нет |
| Концентрация | 0.3 мг/мл |
| Конъюгат | нет |
| Валидировано для | IHC WB Иммуногистохимия; Вестерн-блоттинг |
| Рекомендуемые разведения | WB 1:1000-1:2000; IHC 1:100-1:200 |
| Метод очистки | Аффинная хроматография |
| Состав буфера | PBS с 0.05% азид натрия и 50% глицерин, PH7.4 |
| RRID | AB_534295 |
| Условия доставки | термобокс с аккумуляторами холода |
| Условия хранения | Хранить при -20°C - 12 месяцев. Избегать повторяющихся циклов замораживания/оттаивания |
| Срок хранения | 12 месяцев |
| Производитель | Elabscience |
| Ссылка на страницу товара на сайте производителя | https://www.elabscience.com/p-il18_polyclonal_antibody-e_ab_14154 |
|
Артикул
|
Наименование |
Производитель
|
|---|
|
Артикул
|
Наименование |
Производитель
|
|---|
|
Артикул
|
Наименование |
Производитель
|
|---|
|
Артикул
|
Наименование |
Производитель
|
|---|
|
Артикул
|
Наименование |
Производитель
|
|---|
|
Артикул
|
Наименование |
Производитель
|
|---|
|
Артикул
|
Наименование |
Производитель
|
|---|
|
Артикул
|
Наименование |
Производитель
|
|---|
|
Артикул
|
Наименование |
Производитель
|
|---|
|
Артикул
|
Наименование |
Производитель
|
|---|
|
Артикул
|
Наименование |
Производитель
|
|---|
Акции и предложения
Популярные продукты:
InVivoMAb Anti-Mouse IL-18 Antibody (YIGIF74-1G7) (VMG70701)
Источник (хозяин): крыса
Реактивность подтвержденная: мышь
Валидировано для: ELISA, NEUT
Реактивность подтвержденная: мышь
Валидировано для: ELISA, NEUT
Monoclonal Antibody to Tumor Necrosis Factor Receptor Superfamily, Member 7 (TNFRSF7) (MAB043Hu24)
Источник (хозяин): мышь
Реактивность подтвержденная: человек
Валидировано для: WB
Реактивность подтвержденная: человек
Валидировано для: WB
Monkey Immunoglobulin Transcription Factor 1 ELISA kit (E09I0762)
Организм: обезьяна

