| UNIPROT | P70380 |
| Иммуноген | Рекомбинантный гибридный мышиный белок IL18 |
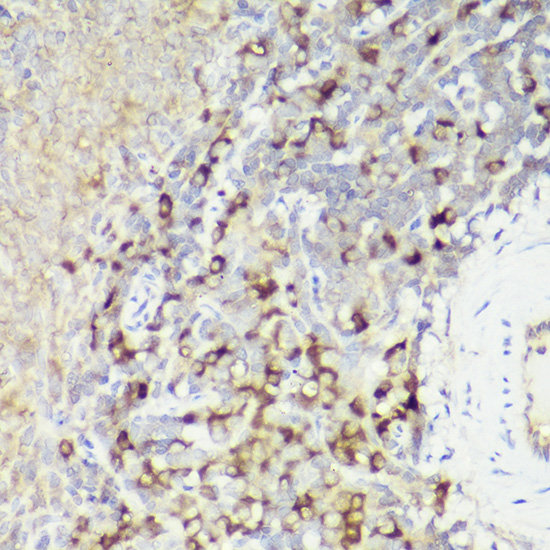
IL18 Polyclonal Antibody (E-AB-93262)
Реактивность подтвержденная:
человек, мышь, крыса
Источник (хозяин):
кролик
Валидировано для:
IHC
WB
Характеристики
Публикации
Техническое описание
| Каталожный номер | E-AB-93262 |
| Название антигена | Interleukin 18 (IL18) |
| UNIPROT | P70380 |
| Иммуноген | Рекомбинантный гибридный мышиный белок IL18 |
| Английские синонимы | IGIF, IL-1g, IL1F4, IL1-F4, Interferon-Gamma-Inducing Factor, Interleukin-1 Family Member 4, Iboctadekin, Interleukin-1 Gamma, IL-18 |
| Русские синонимы | ИЛ18, ИЛ-18 |
Реактивность подтвержденная Нужна другая реактивность? |
человек, мышь, крыса |
| Источник (хозяин) | кролик |
| Изотип | IgG |
| Клональность | поликлональное |
| Рекомбинантное | нет |
| Готовое к использованию | нет |
| Концентрация | 1мг/мл |
| Конъюгат | нет |
| Валидировано для | IHC WB Иммуногистохимия; Вестерн-блоттинг |
| Рекомендуемые разведения | WB 1:500-1:2000; IHC 1:50-1:200 |
| Метод очистки | Аффинная хроматография |
| Состав буфера | PBS с 0.05% Proclin-300,50% глицерин,pH7.3 |
| Условия доставки | термобокс с аккумуляторами холода |
| Условия хранения | Хранить при -20°C - 12 месяцев. Избегать повторяющихся циклов замораживания/оттаивания |
| Срок хранения | 12 месяцев |
| Производитель | Elabscience |
| Ссылка на страницу товара на сайте производителя | https://www.elabscience.com/p-il18_polyclonal_antibody-e_ab_93262 |
|
Артикул
|
Наименование |
Производитель
|
|---|
|
Артикул
|
Наименование |
Производитель
|
|---|
|
Артикул
|
Наименование |
Производитель
|
|---|
|
Артикул
|
Наименование |
Производитель
|
|---|
|
Артикул
|
Наименование |
Производитель
|
|---|
|
Артикул
|
Наименование |
Производитель
|
|---|
|
Артикул
|
Наименование |
Производитель
|
|---|
|
Артикул
|
Наименование |
Производитель
|
|---|
|
Артикул
|
Наименование |
Производитель
|
|---|
|
Артикул
|
Наименование |
Производитель
|
|---|
|
Артикул
|
Наименование |
Производитель
|
|---|
Акции и предложения
Популярные продукты:
InVivoMAb Anti-Mouse IL-18 Antibody (YIGIF74-1G7) (VMG70701)
Источник (хозяин): крыса
Реактивность подтвержденная: мышь
Валидировано для: ELISA, NEUT
Реактивность подтвержденная: мышь
Валидировано для: ELISA, NEUT
Monkey Immunoglobulin Transcription Factor 1 ELISA kit (E09I0762)
Организм: обезьяна
Human ATP binding cassette sub family C member 9(ABCC9) ELISA kit (E01A1144)
Организм: человек
Диапазон определения: 250-5000 пг/мл
Чувствительность: 1 пг/мл
Диапазон определения: 250-5000 пг/мл
Чувствительность: 1 пг/мл

