| UNIPROT | P01583 |
| Иммуноген | Рекомбинантный белок человека IL1A protein экспрессированный в E.coli |
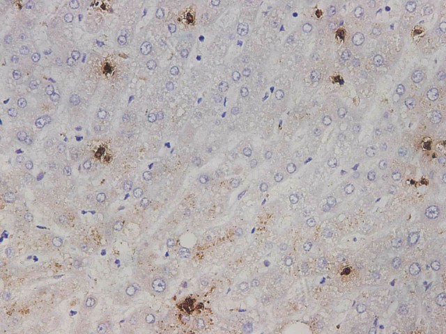
IL1A Polyclonal Antibody (E-AB-40664)
Реактивность подтвержденная:
человек
Источник (хозяин):
кролик
Валидировано для:
IHC
Характеристики
Техническое описание
| Каталожный номер | E-AB-40664 |
| Название антигена | Interleukin 1 Alpha (IL1a) |
| UNIPROT | P01583 |
| Иммуноген | Рекомбинантный белок человека IL1A protein экспрессированный в E.coli |
| Английские синонимы | IL1-A, IL-1α, IL1F1, Preinterleukin 1 Alpha, Hematopoietin-1, Pro-Interleukin-1-Alpha, Interleukin-1 Family Member 1, Interleukin 1, Interleukin 1A, IL-1A |
| Русские синонимы | ИЛ1 альфа, ИЛ-1 альфа |
Реактивность подтвержденная Нужна другая реактивность? |
человек |
| Источник (хозяин) | кролик |
| Изотип | IgG |
| Клональность | поликлональное |
| Рекомбинантное | нет |
| Готовое к использованию | нет |
| Концентрация | 1 мг/мл |
| Конъюгат | нет |
| Валидировано для | IHC Иммуногистохимия |
| Рекомендуемые разведения | IHC 1:1000-1:2000 |
| Метод очистки | Аффинная очистка с антигеном |
| Состав буфера | PBS с 0.02% азид натрия,1% стабилизирующий белок и 50% глицерин,pH7.4 |
| Условия доставки | термобокс с аккумуляторами холода |
| Условия хранения | Хранить при -20°C - 12 месяцев. Избегать повторяющихся циклов замораживания/оттаивания |
| Срок хранения | 12 месяцев |
| Производитель | Elabscience |
| Ссылка на страницу товара на сайте производителя | https://www.elabscience.com/p-il1a_polyclonal_antibody-e_ab_40664 |
|
Артикул
|
Наименование |
Производитель
|
|---|
|
Артикул
|
Наименование |
Производитель
|
|---|
|
Артикул
|
Наименование |
Производитель
|
|---|
|
Артикул
|
Наименование |
Производитель
|
|---|
|
Артикул
|
Наименование |
Производитель
|
|---|
|
Артикул
|
Наименование |
Производитель
|
|---|
|
Артикул
|
Наименование |
Производитель
|
|---|
|
Артикул
|
Наименование |
Производитель
|
|---|
|
Артикул
|
Наименование |
Производитель
|
|---|
|
Артикул
|
Наименование |
Производитель
|
|---|
|
Артикул
|
Наименование |
Производитель
|
|---|
|
Артикул
|
Наименование |
Производитель
|
|---|
Акции и предложения
Популярные продукты:
Anti-LPCAT3 Antibody (SAb2377) (RHJ06601)
Источник (хозяин): мышь
Реактивность подтвержденная: человек, свинья
Валидировано для: ELISA, IHC, WB
Реактивность подтвержденная: человек, свинья
Валидировано для: ELISA, IHC, WB
Anti-Ubiquitin Like Modifier Activating Enzyme 2 (UBA2) Polyclonal Antibody (FAG158Hu01)
Источник (хозяин): кролик
Реактивность подтвержденная: человек
Валидировано для: FCM
Реактивность подтвержденная: человек
Валидировано для: FCM
ELISA Kit DIY Materials for Glycerol-3-Phosphate Acyltransferase, Mitochondrial (GPAM) (KSH983Hu01)
Организм: человек
Диапазон определения: 1.56-100 нг/мл
Чувствительность: 0.60 нг/мл
Диапазон определения: 1.56-100 нг/мл
Чувствительность: 0.60 нг/мл
ELISA Kit DIY Materials for ATP Binding Cassette Transporter A1 (ABCA1) (KSB242Mu01)
Организм: мышь
Диапазон определения: 0.156-10 нг/мл
Чувствительность: 0.062 нг/мл
Диапазон определения: 0.156-10 нг/мл
Чувствительность: 0.062 нг/мл
Monoclonal Antibody to Desmoplakin (DSP) (MAC203Hu24)
Источник (хозяин): мышь
Реактивность подтвержденная: человек
Валидировано для: ICC, IF
Реактивность подтвержденная: человек
Валидировано для: ICC, IF
Monoclonal Antibody to Desmoplakin (DSP) (MAC203Hu23)
Источник (хозяин): мышь
Реактивность подтвержденная: человек
Валидировано для: WB
Реактивность подтвержденная: человек
Валидировано для: WB

