| UNIPROT | P40189 |
| Иммуноген | Гибридный белок, соответствующий человеческому IL6ST |
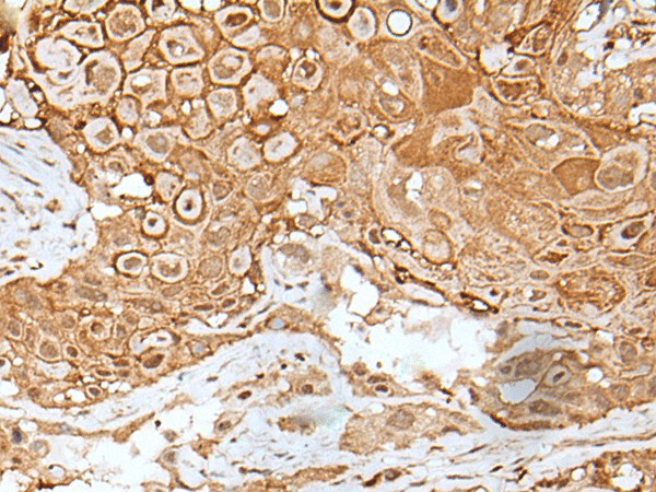
IL6ST Polyclonal Antibody (E-AB-52510)
Реактивность подтвержденная:
человек, мышь, крыса
Источник (хозяин):
кролик
Валидировано для:
IHC
Характеристики
Техническое описание
| Каталожный номер | E-AB-52510 |
| Название антигена | Glycoprotein 130 (gp130) |
| UNIPROT | P40189 |
| Иммуноген | Гибридный белок, соответствующий человеческому IL6ST |
| Английские синонимы | CDw130, CD130, CD 130, CD-130, IL6ST, GP130-RAPS, IR6RB, IL6R-Beta, IR6-RB, Interleukin 6 Signal Transducer, Oncostatin M Receptor, Interleukin-6 Receptor Subunit Beta |
Реактивность подтвержденная Нужна другая реактивность? |
человек, мышь, крыса |
| Источник (хозяин) | кролик |
| Изотип | IgG |
| Клональность | поликлональное |
| Рекомбинантное | нет |
| Готовое к использованию | нет |
| Концентрация | 0.7 мг/мл |
| Конъюгат | нет |
| Валидировано для | IHC Иммуногистохимия |
| Рекомендуемые разведения | IHC 1:30-1:150 |
| Метод очистки | Аффинная очистка с антигеном |
| Состав буфера | PBS с 0.05% NaN3 и 40% глицерин,pH7.4 |
| Условия доставки | термобокс с аккумуляторами холода |
| Условия хранения | Хранить при -20°C - 12 месяцев. Избегать повторяющихся циклов замораживания/оттаивания |
| Срок хранения | 12 месяцев |
| Производитель | Elabscience |
| Ссылка на страницу товара на сайте производителя | https://www.elabscience.com/p-il6st_polyclonal_antibody-e_ab_52510 |
|
Артикул
|
Наименование |
Производитель
|
|---|
|
Артикул
|
Наименование |
Производитель
|
|---|
|
Артикул
|
Наименование |
Производитель
|
|---|
|
Артикул
|
Наименование |
Производитель
|
|---|
|
Артикул
|
Наименование |
Производитель
|
|---|
Акции и предложения
Популярные продукты:
Canine Dihydropyrimidinase-related protein 4 ELISA kit (E08D0318)
Организм: собака
Biotin-Linked Polyclonal Antibody to Sulfite Oxidase (SUOX) (LAH097Hu71)
Источник (хозяин): кролик
Реактивность подтвержденная: человек
Валидировано для: WB
Реактивность подтвержденная: человек
Валидировано для: WB
Anti-Human ACVR2B Antibody (SAb2422) (RHG63704)
Источник (хозяин): человек
Реактивность подтвержденная: человек
Валидировано для: ELISA
Реактивность подтвержденная: человек
Валидировано для: ELISA
Anti-Dulaglutide Polyclonal Antibody (PHB93502)
Источник (хозяин): кролик
Реактивность подтвержденная: человек
Валидировано для: ELISA, IF, IHC, WB
Реактивность подтвержденная: человек
Валидировано для: ELISA, IF, IHC, WB
Anti-MPXV A29L Mouse IgG ELISA Kit (KAV13405)
Организм: мышь
Диапазон определения: 0.63 - 20 нг/мл
Чувствительность: 0.36 нг/мл
Диапазон определения: 0.63 - 20 нг/мл
Чувствительность: 0.36 нг/мл

