| UNIPROT | P17301 |
| Иммуноген | Синтетический пептид, соответствующий человеческому ITGA2 |
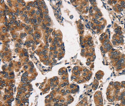
ITGA2 Polyclonal Antibody (E-AB-15930)
Реактивность подтвержденная:
человек
Источник (хозяин):
кролик
Валидировано для:
IHC
WB
Характеристики
Публикации
Техническое описание
| Каталожный номер | E-AB-15930 |
| Название антигена | Integrin Alpha 2 (ITGa2) |
| UNIPROT | P17301 |
| Иммуноген | Синтетический пептид, соответствующий человеческому ITGA2 |
| Английские синонимы | CD49b, CD 49b, CD-49b, BR, GPIa, VLA-2, VLAA2, Platelet membrane glycoprotein Ia, Alpha 2 Subunit Of VLA-2 Receptor, Very Late Activation Proteins 2 Receptor, Collagen receptor, VLA-2 alpha |
| Русские синонимы | α2, CD49b |
Реактивность подтвержденная Нужна другая реактивность? |
человек |
| Источник (хозяин) | кролик |
| Изотип | IgG |
| Клональность | поликлональное |
| Рекомбинантное | нет |
| Готовое к использованию | нет |
| Концентрация | 0.4 мг/мл |
| Конъюгат | нет |
| Валидировано для | IHC WB Иммуногистохимия; Вестерн-блоттинг |
| Рекомендуемые разведения | WB 1:200-1:1000; IHC 1:25-1:100 |
| Метод очистки | Аффинная хроматография |
| Состав буфера | PBS с 0.05% азид натрия и 50% глицерин, PH7.4 |
| RRID | AB_536072 |
| Условия доставки | термобокс с аккумуляторами холода |
| Условия хранения | Хранить при -20°C - 12 месяцев. Избегать повторяющихся циклов замораживания/оттаивания |
| Срок хранения | 12 месяцев |
| Производитель | Elabscience |
| Ссылка на страницу товара на сайте производителя | https://www.elabscience.com/p-itga2_polyclonal_antibody-e_ab_15930 |
|
Артикул
|
Наименование |
Производитель
|
|---|
|
Артикул
|
Наименование |
Производитель
|
|---|
|
Артикул
|
Наименование |
Производитель
|
|---|
|
Артикул
|
Наименование |
Производитель
|
|---|
|
Артикул
|
Наименование |
Производитель
|
|---|
|
Артикул
|
Наименование |
Производитель
|
|---|
|
Артикул
|
Наименование |
Производитель
|
|---|
Акции и предложения
Популярные продукты:
ELISA Kit DIY Materials for Interferon Inducible Protein 35 (IFI35) (KSL605Hu01)
Организм: человек
Диапазон определения: 78-5000 пг/мл
Чувствительность: 33 пг/мл
Диапазон определения: 78-5000 пг/мл
Чувствительность: 33 пг/мл
ELISA Kit DIY Materials for Glycogen Synthase Kinase 3 Beta (GSK3b) (KSD317Hu01)
Организм: человек
Диапазон определения: 0.312-20 нг/мл
Чувствительность: 0.125 нг/мл
Диапазон определения: 0.312-20 нг/мл
Чувствительность: 0.125 нг/мл
Anti-Mouse ACE2 Polyclonal Antibody (PMJ51601)
Источник (хозяин): кролик
Реактивность подтвержденная: мышь
Валидировано для: ELISA, IHC, WB
Реактивность подтвержденная: мышь
Валидировано для: ELISA, IHC, WB
ITGA2 Polyclonal Antibody (E-AB-15930)
Источник (хозяин): кролик
Реактивность подтвержденная: человек
Валидировано для: IHC, WB
Реактивность подтвержденная: человек
Валидировано для: IHC, WB

