| UNIPROT | P45984 |
| Иммуноген | Синтетический пептид, соответствующий человеческому MAPK9 |
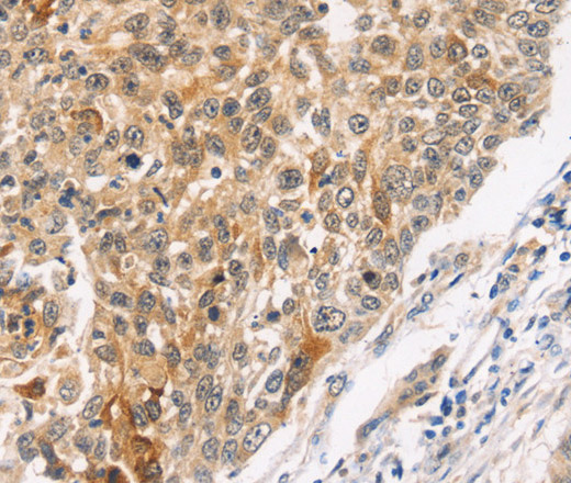
JNK2 Polyclonal Antibody (E-AB-15735)
Реактивность подтвержденная:
человек, мышь, крыса
Источник (хозяин):
кролик
Валидировано для:
IHC
WB
Характеристики
Техническое описание
| Каталожный номер | E-AB-15735 |
| Название антигена | Mitogen Activated Protein Kinase 9 (MAPK9) |
| UNIPROT | P45984 |
| Иммуноген | Синтетический пептид, соответствующий человеческому MAPK9 |
| Английские синонимы | JNK-55, JNK2, JNK2A, JNK2ALPHA, JNK2B, JNK2BETA, PRKM9, p54a, SAPK, Jun Kinase, Stress-activated protein kinase 1a, c-Jun N-terminal kinase 2 |
Реактивность подтвержденная Нужна другая реактивность? |
человек, мышь, крыса |
| Источник (хозяин) | кролик |
| Изотип | IgG |
| Клональность | поликлональное |
| Рекомбинантное | нет |
| Готовое к использованию | нет |
| Концентрация | 0.4 мг/мл |
| Конъюгат | нет |
| Валидировано для | IHC WB Иммуногистохимия; Вестерн-блоттинг |
| Рекомендуемые разведения | WB 1:500-1:2000; IHC 1:25-1:100 |
| Метод очистки | Аффинная хроматография |
| Состав буфера | PBS с 0.05% азид натрия и 50% глицерин, PH7.4 |
| RRID | AB_535877 |
| Условия доставки | термобокс с аккумуляторами холода |
| Условия хранения | Хранить при -20°C - 12 месяцев. Избегать повторяющихся циклов замораживания/оттаивания |
| Срок хранения | 12 месяцев |
| Производитель | Elabscience |
| Ссылка на страницу товара на сайте производителя | https://www.elabscience.com/p-jnk2_polyclonal_antibody-e_ab_15735 |
|
Артикул
|
Наименование |
Производитель
|
|---|
|
Артикул
|
Наименование |
Производитель
|
|---|
Акции и предложения
Популярные продукты:
Sheep Calicin(CCIN) ELISA kit (E14C1437)
Организм: овца
Rat DNA Methyltransferase 3beta ELISA kit (E02D0322)
Организм: крыса
Monkey Complement C1q subcomponent subunit A(C1QA) ELISA kit (E09C1234)
Организм: обезьяна
Rat Phospholipidase D ELISA kit (E02P0677)
Организм: крыса
Recombinant Human GOLPH2/GOLM1 Protein (aa 40-401, His Tag) (PKSH030746)
Источник (хозяин): HEK293
Организм: человек
Фрагмент: Val 40-Leu 401
Теги: C-His
Биоактивность: нет
Организм: человек
Фрагмент: Val 40-Leu 401
Теги: C-His
Биоактивность: нет
Anti-PTPN1 Polyclonal Antibody (PHD27701)
Источник (хозяин): кролик
Реактивность подтвержденная: человек, мышь, крыса
Валидировано для: ELISA, IHC, WB
Реактивность подтвержденная: человек, мышь, крыса
Валидировано для: ELISA, IHC, WB

