| UNIPROT | P36375 |
| Иммуноген | Рекомбинантный белок крысы Glandular kallikrein-10 protein |
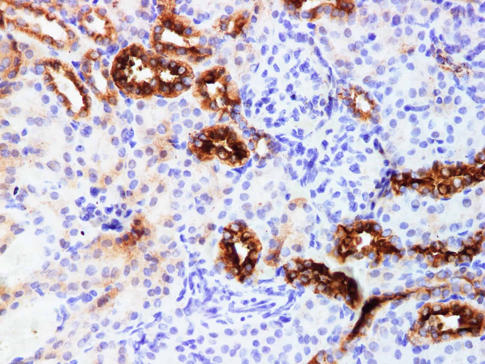
KLK10 Polyclonal Antibody (E-AB-40295)
Реактивность подтвержденная:
мышь, крыса
Источник (хозяин):
кролик
Валидировано для:
IHC
Характеристики
Техническое описание
| Каталожный номер | E-AB-40295 |
| Название антигена | Kallikrein 10 (KLK10) |
| UNIPROT | P36375 |
| Иммуноген | Рекомбинантный белок крысы Glandular kallikrein-10 protein |
| Английские синонимы | NES1, PRSSL1, Kallikrein-Related Peptidase 10, Normal epithelial cell-specific 1, Protease serine-like 1 |
Реактивность подтвержденная Нужна другая реактивность? |
мышь, крыса |
| Источник (хозяин) | кролик |
| Изотип | IgG |
| Клональность | поликлональное |
| Рекомбинантное | нет |
| Готовое к использованию | нет |
| Концентрация | 1 мг/мл |
| Конъюгат | нет |
| Валидировано для | IHC Иммуногистохимия |
| Рекомендуемые разведения | IHC 1:100-1:300 |
| Метод очистки | Аффинная очистка с антигеном |
| Состав буфера | PBS с 0.02% азид натрия,1% стабилизирующий белок и 50% глицерин,pH7.4 |
| Условия доставки | термобокс с аккумуляторами холода |
| Условия хранения | Хранить при -20°C - 12 месяцев. Избегать повторяющихся циклов замораживания/оттаивания |
| Срок хранения | 12 месяцев |
| Производитель | Elabscience |
| Ссылка на страницу товара на сайте производителя | https://www.elabscience.com/p-klk10_polyclonal_antibody-e_ab_40295 |
|
Артикул
|
Наименование |
Производитель
|
|---|
|
Артикул
|
Наименование |
Производитель
|
|---|
|
Артикул
|
Наименование |
Производитель
|
|---|
Акции и предложения
Популярные продукты:
Rabbit Cadherin 7(CDH7) ELISA kit (E04C1549)
Организм: кролик
Rat Neuregulin 2 ELISA kit (E02N0601)
Организм: крыса
Rat Cathepsin D ELISA kit (E02C0651)
Организм: крыса
Диапазон определения: 5-100 нг/мл
Чувствительность: 1 нг/мл
Диапазон определения: 5-100 нг/мл
Чувствительность: 1 нг/мл
Monkey Brain Finger Protein ELISA kit (E09B0454)
Организм: обезьяна
Rabbit Prolactin Inducible Protein ELISA kit (E04P0010)
Организм: кролик
Anti-CD221/IGF1R Antibody (R3A53) (RHC29907)
Источник (хозяин): мышь
Реактивность подтвержденная: человек
Валидировано для: ELISA, FCM, WB
Реактивность подтвержденная: человек
Валидировано для: ELISA, FCM, WB

