| UNIPROT | P27361 |
| Иммуноген | Синтетический пептид, соответствующий человеческому MAPK3 (NP_002737.2) |
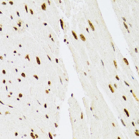
(KO Validated) MAPK3 Polyclonal Antibody (E-AB-60024)
Реактивность подтвержденная:
человек, мышь, крыса
Источник (хозяин):
кролик
Валидировано для:
IHC
WB
Характеристики
Техническое описание
| Каталожный номер | E-AB-60024 |
| Название антигена | Extracellular Signal Regulated Kinase 1 (ERK1) |
| UNIPROT | P27361 |
| Иммуноген | Синтетический пептид, соответствующий человеческому MAPK3 (NP_002737.2) |
| Английские синонимы | HS44KDAP, HUMKER1A, P44ERK1, P44MAPK, PRKM3, MAPK3, ERT2, Mitogen-Activated Protein Kinase 3, Insulin-stimulated MAP2 kinase, Microtubule-associated protein 2 kinase |
Реактивность подтвержденная Нужна другая реактивность? |
человек, мышь, крыса |
| Источник (хозяин) | кролик |
| Изотип | IgG |
| Клональность | поликлональное |
| Рекомбинантное | нет |
| Готовое к использованию | нет |
| Концентрация | 1мг/мл |
| Конъюгат | нет |
| Валидировано для | IHC WB Иммуногистохимия; Вестерн-блоттинг |
| Рекомендуемые разведения | WB 1:500-1:2000; IHC 1:50-1:200 |
| Метод очистки | Аффинная хроматография |
| Состав буфера | PBS с 0.02% азид натрия, 50% глицерин, pH7.3 |
| RRID | AB_523475 |
| Условия доставки | термобокс с аккумуляторами холода |
| Условия хранения | Хранить при -20°C - 12 месяцев. Избегать повторяющихся циклов замораживания/оттаивания |
| Срок хранения | 12 месяцев |
| Производитель | Elabscience |
| Ссылка на страницу товара на сайте производителя | https://www.elabscience.com/p-(ko_validated)_mapk3_polyclonal_antibody-e_ab_60024 |
|
Артикул
|
Наименование |
Производитель
|
|---|
|
Артикул
|
Наименование |
Производитель
|
|---|
|
Артикул
|
Наименование |
Производитель
|
|---|
|
Артикул
|
Наименование |
Производитель
|
|---|
|
Артикул
|
Наименование |
Производитель
|
|---|
|
Артикул
|
Наименование |
Производитель
|
|---|
|
Артикул
|
Наименование |
Производитель
|
|---|
|
Артикул
|
Наименование |
Производитель
|
|---|
|
Артикул
|
Наименование |
Производитель
|
|---|
|
Артикул
|
Наименование |
Производитель
|
|---|
|
Артикул
|
Наименование |
Производитель
|
|---|
|
Артикул
|
Наименование |
Производитель
|
|---|
Акции и предложения
Популярные продукты:
Monkey 5-Hydroxytryptophan ELISA kit (E09H1454)
Организм: обезьяна
Canine Mannose Phosphate Isomerase ELISA kit (E08M0021)
Организм: собака
Guinea Pig 3 ketoacyl CoA thiolase, mitochondrial ELISA kit (E05A2144)
Организм: морская свинка
Rat Elastin ELISA kit (E02E0050)
Организм: крыса
Диапазон определения: 25-500 нг/мл
Чувствительность: 1 нг/мл
Диапазон определения: 25-500 нг/мл
Чувствительность: 1 нг/мл
Monkey Dihydrotestosterone ELISA kit (E09D0001)
Организм: обезьяна
Диапазон определения: 100-2500 пг/мл
Чувствительность: 1 пг/мл
Диапазон определения: 100-2500 пг/мл
Чувствительность: 1 пг/мл
Mouse Thyroglobulin ELISA kit (E03T0141)
Организм: мышь

