| UNIPROT | P07602 |
| Иммуноген | Рекомбинантный гибридный белок из человеческого PSAP |
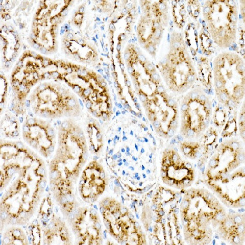
(KO Validated) PSAP Polyclonal Antibody (E-AB-93335)
Реактивность подтвержденная:
человек, мышь, крыса
Источник (хозяин):
кролик
Валидировано для:
IHC
WB
Характеристики
Техническое описание
| Каталожный номер | E-AB-93335 |
| Название антигена | Prosaposin (PSAP) |
| UNIPROT | P07602 |
| Иммуноген | Рекомбинантный гибридный белок из человеческого PSAP |
| Английские синонимы | SAP1, GLBA, CSAct, Dispersin, Pro-Saposin, Proactivator polypeptide, Glucosylceramidase activator, Sulfatide/GM1 activator, Cerebroside sulfate activator, Sphingolipid Activator 1 |
Реактивность подтвержденная Нужна другая реактивность? |
человек, мышь, крыса |
| Источник (хозяин) | кролик |
| Изотип | IgG |
| Клональность | поликлональное |
| Рекомбинантное | нет |
| Готовое к использованию | нет |
| Концентрация | 1мг/мл |
| Конъюгат | нет |
| Валидировано для | IHC WB Иммуногистохимия; Вестерн-блоттинг |
| Рекомендуемые разведения | WB 1:500-1:2000; IHC 1:50-1:200 |
| Метод очистки | Аффинная хроматография |
| Состав буфера | PBS с 0.05% Proclin-300,50% глицерин,pH7.3 |
| Условия доставки | термобокс с аккумуляторами холода |
| Условия хранения | Хранить при -20°C - 12 месяцев. Избегать повторяющихся циклов замораживания/оттаивания |
| Срок хранения | 12 месяцев |
| Производитель | Elabscience |
| Ссылка на страницу товара на сайте производителя | https://www.elabscience.com/p-(ko_validated)_psap_polyclonal_antibody-e_ab_93335 |
|
Артикул
|
Наименование |
Производитель
|
|---|
|
Артикул
|
Наименование |
Производитель
|
|---|
|
Артикул
|
Наименование |
Производитель
|
|---|
|
Артикул
|
Наименование |
Производитель
|
|---|
Акции и предложения
Популярные продукты:
Canine Adenine phosphoribosyltransferase(APRT) ELISA kit (E08A1610)
Организм: собака
Guinea Pig Leptin receptor(LEPR) ELISA kit (E05L0327)
Организм: морская свинка
Guinea Pig Growth Hormone ELISA kit (E05G0165)
Организм: морская свинка
NAT10 Recombinant Rabbit mAb (ARM1036)
Источник (хозяин): кролик
Реактивность подтвержденная: человек, мышь, крыса
Валидировано для: FCM, IHC, IP, WB, IF, ICC
Реактивность подтвержденная: человек, мышь, крыса
Валидировано для: FCM, IHC, IP, WB, IF, ICC
Anti-SOX4 Polyclonal Antibody (PHG10701)
Источник (хозяин): кролик
Реактивность подтвержденная: человек, мышь
Валидировано для: ELISA, WB
Реактивность подтвержденная: человек, мышь
Валидировано для: ELISA, WB
Anti-Mouse IL-12 p40 Antibody (Fs0379) (FMD84010)
Источник (хозяин): крыса
Реактивность подтвержденная: мышь
Валидировано для: ELISA, FCM
Реактивность подтвержденная: мышь
Валидировано для: ELISA, FCM

