| UNIPROT | P02750 |
| Иммуноген | Гибридный белок, соответствующий человеческому LRG1 |
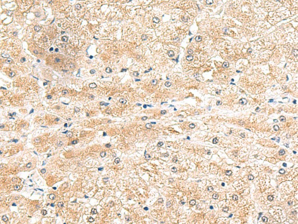
LRG1 Polyclonal Antibody (E-AB-18991)
Реактивность подтвержденная:
человек
Источник (хозяин):
кролик
Валидировано для:
IHC
Характеристики
Техническое описание
| Каталожный номер | E-AB-18991 |
| Название антигена | Leucine Rich Alpha-2-Glycoprotein 1 (LRG1) |
| UNIPROT | P02750 |
| Иммуноген | Гибридный белок, соответствующий человеческому LRG1 |
Реактивность подтвержденная Нужна другая реактивность? |
человек |
| Источник (хозяин) | кролик |
| Изотип | IgG |
| Клональность | поликлональное |
| Рекомбинантное | нет |
| Готовое к использованию | нет |
| Концентрация | 0.9 мг/мл |
| Конъюгат | нет |
| Валидировано для | IHC Иммуногистохимия |
| Рекомендуемые разведения | IHC 1:50-1:300 |
| Метод очистки | Аффинная очистка с антигеном |
| Состав буфера | PBS с 0.05% NaN3 и 40% глицерин,pH7.4 |
| Условия доставки | термобокс с аккумуляторами холода |
| Условия хранения | Хранить при -20°C - 12 месяцев. Избегать повторяющихся циклов замораживания/оттаивания |
| Срок хранения | 12 месяцев |
| Производитель | Elabscience |
| Ссылка на страницу товара на сайте производителя | https://www.elabscience.com/p-lrg1_polyclonal_antibody-e_ab_18991 |
|
Артикул
|
Наименование |
Производитель
|
|---|
|
Артикул
|
Наименование |
Производитель
|
|---|
|
Артикул
|
Наименование |
Производитель
|
|---|
|
Артикул
|
Наименование |
Производитель
|
|---|
Акции и предложения
Популярные продукты:
Smad3 Mouse Monoclonal Antibody (BF8303)
Источник (хозяин): мышь
Реактивность подтвержденная: человек, мышь, крыса
Валидировано для: WB
Реактивность подтвержденная: человек, мышь, крыса
Валидировано для: WB
Rabbit Lactic Acid ELISA kit (E04L0004)
Организм: кролик
Canine Glycophorin E ELISA kit (E08G0292)
Организм: собака
Anti-Tmem119 Antibody (L128/36) (RHH81901)
Источник (хозяин): мышь
Реактивность подтвержденная: для всех
Валидировано для: IHC, WB
Реактивность подтвержденная: для всех
Валидировано для: IHC, WB
Anti-TNFRSF11B Antibody (R2T38) (RHA08602)
Источник (хозяин): мышь
Реактивность подтвержденная: человек
Валидировано для: IHC
Реактивность подтвержденная: человек
Валидировано для: IHC
Anti-TNFRSF11B Antibody (R2T37) (RHA08601)
Источник (хозяин): мышь
Реактивность подтвержденная: человек
Валидировано для: FCM, IF
Реактивность подтвержденная: человек
Валидировано для: FCM, IF

