| UNIPROT | P02788 |
| Иммуноген | Рекомбинантный гибридный белок из человеческого LTF (NP_002334.2) |
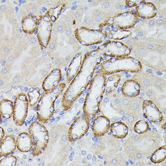
LTF Polyclonal Antibody (E-AB-65979)
Реактивность подтвержденная:
человек, мышь, крыса
Источник (хозяин):
кролик
Валидировано для:
IHC
Характеристики
Публикации
Техническое описание
| Каталожный номер | E-AB-65979 |
| Название антигена | Lactoferrin (LTF) |
| UNIPROT | P02788 |
| Иммуноген | Рекомбинантный гибридный белок из человеческого LTF (NP_002334.2) |
| Английские синонимы | HLF2, LF, GIG12, Lactotransferrin, Growth-inhibiting protein 12, Talalactoferrin, Lfcin-H, Kaliocin-1 |
Реактивность подтвержденная Нужна другая реактивность? |
человек, мышь, крыса |
| Источник (хозяин) | кролик |
| Изотип | IgG |
| Клональность | поликлональное |
| Рекомбинантное | нет |
| Готовое к использованию | нет |
| Концентрация | 1мг/мл |
| Конъюгат | нет |
| Валидировано для | IHC Иммуногистохимия |
| Рекомендуемые разведения | IHC 1:100-1:200 |
| Метод очистки | Аффинная хроматография |
| Состав буфера | PBS с 0.02% азид натрия, 50% глицерин, pH7.3 |
| Условия доставки | термобокс с аккумуляторами холода |
| Условия хранения | Хранить при -20°C - 12 месяцев. Избегать повторяющихся циклов замораживания/оттаивания |
| Срок хранения | 12 месяцев |
| Производитель | Elabscience |
| Ссылка на страницу товара на сайте производителя | https://www.elabscience.com/p-ltf_polyclonal_antibody-e_ab_65979 |
|
Артикул
|
Наименование |
Производитель
|
|---|
|
Артикул
|
Наименование |
Производитель
|
|---|
|
Артикул
|
Наименование |
Производитель
|
|---|
|
Артикул
|
Наименование |
Производитель
|
|---|
|
Артикул
|
Наименование |
Производитель
|
|---|
|
Артикул
|
Наименование |
Производитель
|
|---|
|
Артикул
|
Наименование |
Производитель
|
|---|
|
Артикул
|
Наименование |
Производитель
|
|---|
Акции и предложения
Популярные продукты:
KCNS2 Mouse Monoclonal Antibody (BF9496)
Источник (хозяин): мышь
Реактивность подтвержденная: человек
Валидировано для: WB
Реактивность подтвержденная: человек
Валидировано для: WB
HFE2 Mouse Monoclonal Antibody (BF8883)
Источник (хозяин): мышь
Реактивность подтвержденная: человек
Валидировано для: WB
Реактивность подтвержденная: человек
Валидировано для: WB
Human Tumor Protein P63 ELISA kit (E01T0290)
Организм: человек
Диапазон определения: 250-5000 пг/мл
Чувствительность: 1 пг/мл
Диапазон определения: 250-5000 пг/мл
Чувствительность: 1 пг/мл
Monkey Claudin 1 ELISA kit (E09C0381)
Организм: обезьяна
Диапазон определения: 0.5-10 нг/мл
Чувствительность: 0.1 нг/мл
Диапазон определения: 0.5-10 нг/мл
Чувствительность: 0.1 нг/мл
Monkey Dynamin 1 ELISA kit (E09D0247)
Организм: обезьяна

