| UNIPROT | Q15013 |
| Иммуноген | Рекомбинантный белок, соответствующий человеческому MAD2L1BP |
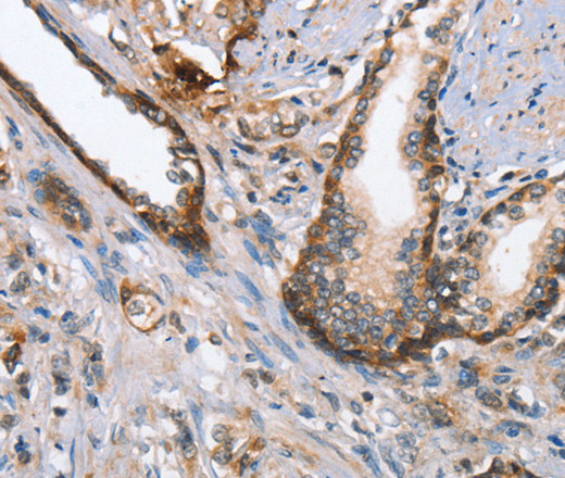
MAD2L1BP Polyclonal Antibody (E-AB-14202)
Реактивность подтвержденная:
человек
Источник (хозяин):
кролик
Валидировано для:
IHC
WB
Характеристики
Техническое описание
| Каталожный номер | E-AB-14202 |
| Название антигена | MAD2L1 Binding Protein (MAD2L1BP) |
| UNIPROT | Q15013 |
| Иммуноген | Рекомбинантный белок, соответствующий человеческому MAD2L1BP |
| Английские синонимы | CMT2, Caught by MAD2 protein |
Реактивность подтвержденная Нужна другая реактивность? |
человек |
| Источник (хозяин) | кролик |
| Изотип | IgG |
| Клональность | поликлональное |
| Рекомбинантное | нет |
| Готовое к использованию | нет |
| Концентрация | 0.9 мг/мл |
| Конъюгат | нет |
| Валидировано для | IHC WB Иммуногистохимия; Вестерн-блоттинг |
| Рекомендуемые разведения | WB 1:500-1:2000; IHC 1:50-1:200 |
| Метод очистки | Аффинная хроматография |
| Состав буфера | PBS с 0.05% азид натрия и 50% глицерин, PH7.4 |
| RRID | AB_534343 |
| Условия доставки | термобокс с аккумуляторами холода |
| Условия хранения | Хранить при -20°C - 12 месяцев. Избегать повторяющихся циклов замораживания/оттаивания |
| Срок хранения | 12 месяцев |
| Производитель | Elabscience |
| Ссылка на страницу товара на сайте производителя | https://www.elabscience.com/p-mad2l1bp_polyclonal_antibody-e_ab_14202 |
|
Артикул
|
Наименование |
Производитель
|
|---|
|
Артикул
|
Наименование |
Производитель
|
|---|
Акции и предложения
Популярные продукты:
Anti-Catechol-O-Methyltransferase (COMT) Monoclonal Antibody (FAJ365Hu02)
Источник (хозяин): мышь
Реактивность подтвержденная: человек
Валидировано для: FCM
Реактивность подтвержденная: человек
Валидировано для: FCM
Monkey Carbohyde sulfotransferase 1(CHST1) ELISA kit (E09C1703)
Организм: обезьяна
Rat Carbohyde sulfotransferase 1(CHST1) ELISA kit (E02C1703)
Организм: крыса
Human Carbohyde sulfotransferase 1(CHST1) ELISA kit (E01C1703)
Организм: человек
Диапазон определения: 250-5000 пг/мл
Чувствительность: 1 пг/мл
Диапазон определения: 250-5000 пг/мл
Чувствительность: 1 пг/мл

