| UNIPROT | P49006 |
| Иммуноген | Гибридный белок, соответствующий человеческому MARCKSL1 |
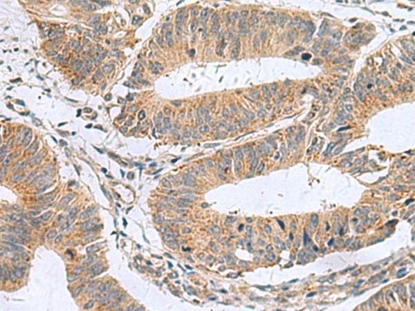
MARCKSL1 Polyclonal Antibody (E-AB-19157)
Реактивность подтвержденная:
человек, мышь, крыса
Источник (хозяин):
кролик
Валидировано для:
IHC
WB
Характеристики
Техническое описание
| Каталожный номер | E-AB-19157 |
| Название антигена | MARCKS Related Protein (MARCKSL1) |
| UNIPROT | P49006 |
| Иммуноген | Гибридный белок, соответствующий человеческому MARCKSL1 |
| Английские синонимы | MLP1, MRP, MLP, F52, MACMARCKS, MARCKS-like protein 1, Macrophage myristoylated alanine-rich C kinase substrate |
Реактивность подтвержденная Нужна другая реактивность? |
человек, мышь, крыса |
| Источник (хозяин) | кролик |
| Изотип | IgG |
| Клональность | поликлональное |
| Рекомбинантное | нет |
| Готовое к использованию | нет |
| Концентрация | 0.9 мг/мл |
| Конъюгат | нет |
| Валидировано для | IHC WB Иммуногистохимия; Вестерн-блоттинг |
| Рекомендуемые разведения | WB 1:500-1:2000; IHC 1:50-1:100 |
| Метод очистки | Аффинная очистка с антигеном |
| Состав буфера | PBS с 0.05% NaN3 и 40% глицерин,pH7.4 |
| Условия доставки | термобокс с аккумуляторами холода |
| Условия хранения | Хранить при -20°C - 12 месяцев. Избегать повторяющихся циклов замораживания/оттаивания |
| Срок хранения | 12 месяцев |
| Производитель | Elabscience |
| Ссылка на страницу товара на сайте производителя | https://www.elabscience.com/p-marcksl1_polyclonal_antibody-e_ab_19157 |
|
Артикул
|
Наименование |
Производитель
|
|---|
|
Артикул
|
Наименование |
Производитель
|
|---|
Акции и предложения
Популярные продукты:
MARCKSL1 Polyclonal Antibody (E-AB-19157)
Источник (хозяин): кролик
Реактивность подтвержденная: человек, мышь, крыса
Валидировано для: IHC, WB
Реактивность подтвержденная: человек, мышь, крыса
Валидировано для: IHC, WB
CLIA Kit for C-Peptide (CP) (CCA447Hu)
Организм: человек
Диапазон определения: 78.1-20000 пг/мл
Чувствительность: 31.5 пг/мл
Диапазон определения: 78.1-20000 пг/мл
Чувствительность: 31.5 пг/мл
OR5D3 Mouse Monoclonal Antibody (BF9376)
Источник (хозяин): мышь
Реактивность подтвержденная: человек, мышь
Валидировано для: WB
Реактивность подтвержденная: человек, мышь
Валидировано для: WB
POMK Mouse Monoclonal Antibody (BF8781)
Источник (хозяин): мышь
Реактивность подтвержденная: человек
Валидировано для: WB
Реактивность подтвержденная: человек
Валидировано для: WB
SAA3P Mouse Monoclonal Antibody (BF8650)
Источник (хозяин): мышь
Реактивность подтвержденная: человек, мышь
Валидировано для: WB
Реактивность подтвержденная: человек, мышь
Валидировано для: WB
C1QTNF9B Mouse Monoclonal Antibody (BF8647)
Источник (хозяин): мышь
Реактивность подтвержденная: человек, мышь, крыса
Валидировано для: WB
Реактивность подтвержденная: человек, мышь, крыса
Валидировано для: WB

