| UNIPROT | P23508 |
| Иммуноген | Синтетический пептид, соответствующий человеческому MCC |
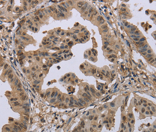
MCC Polyclonal Antibody (E-AB-13404)
Реактивность подтвержденная:
человек
Источник (хозяин):
кролик
Валидировано для:
IHC
Характеристики
Техническое описание
| Каталожный номер | E-AB-13404 |
| Название антигена | Mutated In Colorectal Cancers (MCC) |
| UNIPROT | P23508 |
| Иммуноген | Синтетический пептид, соответствующий человеческому MCC |
Реактивность подтвержденная Нужна другая реактивность? |
человек |
| Источник (хозяин) | кролик |
| Изотип | IgG |
| Клональность | поликлональное |
| Рекомбинантное | нет |
| Готовое к использованию | нет |
| Концентрация | 0.7 мг/мл |
| Конъюгат | нет |
| Валидировано для | IHC Иммуногистохимия |
| Рекомендуемые разведения | IHC 1:50-1:200 |
| Метод очистки | Аффинная хроматография |
| Состав буфера | PBS с 0.05% азид натрия и 50% глицерин, PH7.4 |
| RRID | AB_533545 |
| Условия доставки | термобокс с аккумуляторами холода |
| Условия хранения | Хранить при -20°C - 12 месяцев. Избегать повторяющихся циклов замораживания/оттаивания |
| Срок хранения | 12 месяцев |
| Производитель | Elabscience |
| Ссылка на страницу товара на сайте производителя | https://www.elabscience.com/p-mcc_polyclonal_antibody-e_ab_13404 |
|
Артикул
|
Наименование |
Производитель
|
|---|
|
Артикул
|
Наименование |
Производитель
|
|---|
Акции и предложения
Популярные продукты:
Monkey Uromodulin ELISA kit (E09U0077)
Организм: обезьяна
Sheep Complexin 1(CPLX1) ELISA kit (E14C2002)
Организм: овца
MCC Polyclonal Antibody (E-AB-90701)
Источник (хозяин): кролик
Реактивность подтвержденная: человек, мышь, крыса
Валидировано для: WB
Реактивность подтвержденная: человек, мышь, крыса
Валидировано для: WB
MCC Polyclonal Antibody (E-AB-13404)
Источник (хозяин): кролик
Реактивность подтвержденная: человек
Валидировано для: IHC
Реактивность подтвержденная: человек
Валидировано для: IHC
LIN7A Polyclonal Antibody (E-AB-91128)
Источник (хозяин): кролик
Реактивность подтвержденная: человек, мышь, крыса
Валидировано для: WB
Реактивность подтвержденная: человек, мышь, крыса
Валидировано для: WB
CD68 Polyclonal Antibody (E-AB-93267)
Источник (хозяин): кролик
Реактивность подтвержденная: человек, мышь
Валидировано для: IF, WB
Реактивность подтвержденная: человек, мышь
Валидировано для: IF, WB

