| UNIPROT | P49736 |
| Иммуноген | Рекомбинантный белок, соответствующий человеческому MCM2 |
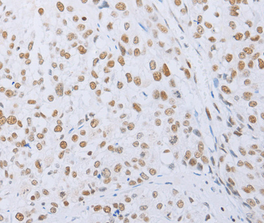
MCM2 Polyclonal Antibody (E-AB-14211)
Реактивность подтвержденная:
человек, мышь
Источник (хозяин):
кролик
Валидировано для:
IHC
Характеристики
Техническое описание
| Каталожный номер | E-AB-14211 |
| Название антигена | Minichromosome Maintenance Deficient 2 (MCM2) |
| UNIPROT | P49736 |
| Иммуноген | Рекомбинантный белок, соответствующий человеческому MCM2 |
| Английские синонимы | BM28, CCNL1, CDCL1, Cdc19, Mitotin, DNA Replication Licensing Factor MCM2, Nuclear protein BM28 |
Реактивность подтвержденная Нужна другая реактивность? |
человек, мышь |
| Источник (хозяин) | кролик |
| Изотип | IgG |
| Клональность | поликлональное |
| Рекомбинантное | нет |
| Готовое к использованию | нет |
| Концентрация | 0.1 мг/мл |
| Конъюгат | нет |
| Валидировано для | IHC Иммуногистохимия |
| Рекомендуемые разведения | IHC 1:50-1:200 |
| Метод очистки | Аффинная хроматография |
| Состав буфера | PBS с 0.05% азид натрия и 50% глицерин, PH7.4 |
| RRID | AB_534352 |
| Условия доставки | термобокс с аккумуляторами холода |
| Условия хранения | Хранить при -20°C - 12 месяцев. Избегать повторяющихся циклов замораживания/оттаивания |
| Срок хранения | 12 месяцев |
| Производитель | Elabscience |
| Ссылка на страницу товара на сайте производителя | https://www.elabscience.com/p-mcm2_polyclonal_antibody-e_ab_14211 |
|
Артикул
|
Наименование |
Производитель
|
|---|
|
Артикул
|
Наименование |
Производитель
|
|---|
|
Артикул
|
Наименование |
Производитель
|
|---|
|
Артикул
|
Наименование |
Производитель
|
|---|
|
Артикул
|
Наименование |
Производитель
|
|---|
|
Артикул
|
Наименование |
Производитель
|
|---|
Акции и предложения
Популярные продукты:
Mouse Zinc finger protein GLI2(GLI2) ELISA kit (E03Z0010)
Организм: мышь
Canine Claudin 16(CLDN16) ELISA kit (E08C0979)
Организм: собака

