| UNIPROT | Q06413 |
| Иммуноген | Рекомбинантный гибридный белок из человеческого MEF2C (NP_001180279.1) |
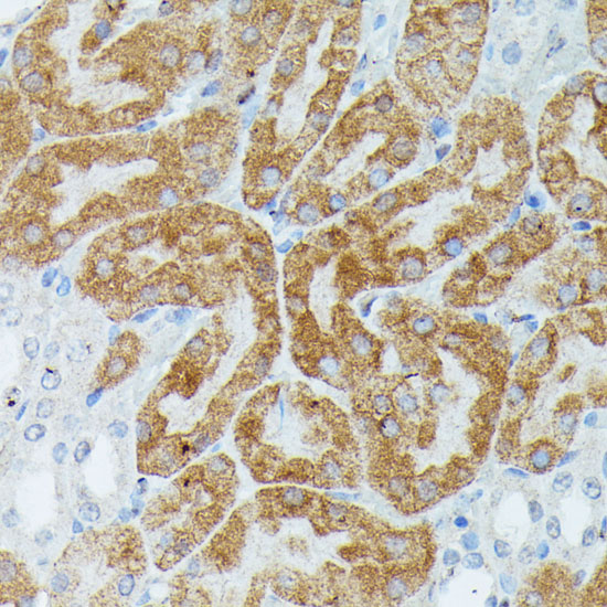
MEF2C Polyclonal Antibody (E-AB-60752)
Реактивность подтвержденная:
человек, мышь, крыса
Источник (хозяин):
кролик
Валидировано для:
IHC
Характеристики
Техническое описание
| Каталожный номер | E-AB-60752 |
| Название антигена | Myocyte Specific Enhancer Factor 2C (MEF2C) |
| UNIPROT | Q06413 |
| Иммуноген | Рекомбинантный гибридный белок из человеческого MEF2C (NP_001180279.1) |
| Английские синонимы | MADS Box Transcription Enhancer Factor 2,Polypeptide C, Myocyte Enhancer Factor 2C |
Реактивность подтвержденная Нужна другая реактивность? |
человек, мышь, крыса |
| Источник (хозяин) | кролик |
| Изотип | IgG |
| Клональность | поликлональное |
| Рекомбинантное | нет |
| Готовое к использованию | нет |
| Концентрация | 1мг/мл |
| Конъюгат | нет |
| Валидировано для | IHC Иммуногистохимия |
| Рекомендуемые разведения | IHC 1:50-1:200 |
| Метод очистки | Аффинная хроматография |
| Состав буфера | PBS с 0.02% азид натрия, 50% глицерин, pH7.3 |
| RRID | AB_525268 |
| Условия доставки | термобокс с аккумуляторами холода |
| Условия хранения | Хранить при -20°C - 12 месяцев. Избегать повторяющихся циклов замораживания/оттаивания |
| Срок хранения | 12 месяцев |
| Производитель | Elabscience |
| Ссылка на страницу товара на сайте производителя | https://www.elabscience.com/p-mef2c_polyclonal_antibody-e_ab_60752 |
|
Артикул
|
Наименование |
Производитель
|
|---|
|
Артикул
|
Наименование |
Производитель
|
|---|
|
Артикул
|
Наименование |
Производитель
|
|---|
|
Артикул
|
Наименование |
Производитель
|
|---|
Акции и предложения
Популярные продукты:
MEF2C Polyclonal Antibody (E-AB-60752)
Источник (хозяин): кролик
Реактивность подтвержденная: человек, мышь, крыса
Валидировано для: IHC
Реактивность подтвержденная: человек, мышь, крыса
Валидировано для: IHC
Multiplex Assay Kit for Fatty Acid Binding Protein 1 (FABP1) (LMB566Ra)
Организм: крыса
Диапазон определения: 0.05-50 нг/мл
Чувствительность: 0.017 нг/мл
Диапазон определения: 0.05-50 нг/мл
Чувствительность: 0.017 нг/мл
Multiplex Assay Kit for Cathepsin D (CTSD) (LMB280Mu)
Организм: мышь
Диапазон определения: 0.05-50 нг/мл
Чувствительность: 0.017 нг/мл
Диапазон определения: 0.05-50 нг/мл
Чувствительность: 0.017 нг/мл
ELISA Kit for Family With Sequence Similarity 19, Member A4 (FAM19A4) (RQ976S-Hu)
Организм: человек
Диапазон определения: 0.156-10 нг/мл
Чувствительность: 0.055 нг/мл
Диапазон определения: 0.156-10 нг/мл
Чувствительность: 0.055 нг/мл
ELISA Kit for Fibrous Sheath Interacting Protein 1 (FSIP1) (RJ086S-Hu)
Организм: человек
Диапазон определения: 0.312-20 нг/мл
Чувствительность: 0.118 нг/мл
Диапазон определения: 0.312-20 нг/мл
Чувствительность: 0.118 нг/мл
Rabbit Anti-NeuN Antibody (SAA2241) (RHA00601)
Источник (хозяин): кролик
Реактивность подтвержденная: человек, мышь, крыса
Валидировано для: FCM, ICC, IF, IHC, WB
Реактивность подтвержденная: человек, мышь, крыса
Валидировано для: FCM, ICC, IF, IHC, WB

