| UNIPROT | Q8N108 |
| Иммуноген | Рекомбинантный гибридный белок из человеческого MIER1 |
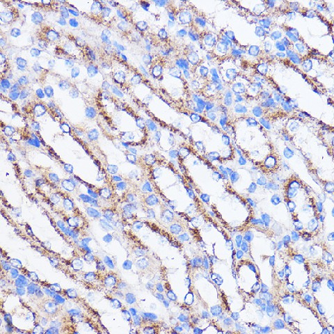
MIER1 Polyclonal Antibody (E-AB-92067)
Реактивность подтвержденная:
человек, мышь
Источник (хозяин):
кролик
Валидировано для:
IHC
WB
Характеристики
Техническое описание
| Каталожный номер | E-AB-92067 |
| Название антигена | Mesoderm Induction Early Response Protein 1 (MIER1) |
| UNIPROT | Q8N108 |
| Иммуноген | Рекомбинантный гибридный белок из человеческого MIER1 |
| Английские синонимы | MI-ER1 |
Реактивность подтвержденная Нужна другая реактивность? |
человек, мышь |
| Источник (хозяин) | кролик |
| Изотип | IgG |
| Клональность | поликлональное |
| Рекомбинантное | нет |
| Готовое к использованию | нет |
| Концентрация | 1мг/мл |
| Конъюгат | нет |
| Валидировано для | IHC WB Иммуногистохимия; Вестерн-блоттинг |
| Рекомендуемые разведения | WB 1:500-1:2000; IHC 1:50-1:200 |
| Метод очистки | Аффинная хроматография |
| Состав буфера | PBS с 0.01% тиомерсал,50% глицерин,pH7.3 |
| Условия доставки | термобокс с аккумуляторами холода |
| Условия хранения | Хранить при -20°C - 12 месяцев. Избегать повторяющихся циклов замораживания/оттаивания |
| Срок хранения | 12 месяцев |
| Производитель | Elabscience |
| Ссылка на страницу товара на сайте производителя | https://www.elabscience.com/p-mier1_polyclonal_antibody-e_ab_92067 |
Акции и предложения
Популярные продукты:
Monkey Glutaredoxin 1(GLRX) ELISA kit (E09G0428)
Организм: обезьяна
Anti-ELANE Antibody (R3A66) (RHC32101)
Источник (хозяин): мышь
Реактивность подтвержденная: человек, обезьяна
Валидировано для: ELISA, FCM, IHC, WB
Реактивность подтвержденная: человек, обезьяна
Валидировано для: ELISA, FCM, IHC, WB
MIER1 Polyclonal Antibody (E-AB-92067)
Источник (хозяин): кролик
Реактивность подтвержденная: человек, мышь
Валидировано для: IHC, WB
Реактивность подтвержденная: человек, мышь
Валидировано для: IHC, WB
Multiplex Assay Kit for Prothrombin Fragment 1+2 (F1+2) (LMA710Ra)
Организм: крыса
Диапазон определения: 0.2-200 нг/мл
Чувствительность: 0.067 нг/мл
Диапазон определения: 0.2-200 нг/мл
Чувствительность: 0.067 нг/мл
Polyclonal Antibody to Tight Junction Associated Protein 1, Peripheral (TJAP1) (PAF168Ra01)
Источник (хозяин): кролик
Реактивность подтвержденная: крыса
Валидировано для: WB
Реактивность подтвержденная: крыса
Валидировано для: WB
Polyclonal Antibody to Solute Carrier Family 1, Member 5 (SLC1A5) (PAE345Hu01)
Источник (хозяин): кролик
Реактивность подтвержденная: человек
Валидировано для: WB
Реактивность подтвержденная: человек
Валидировано для: WB

