| UNIPROT | P32754 |
| Иммуноген | RPE251Hu01-Recombinant 4-Hydroxyphenylpyruvate Dioxygenase (HPD) |
Monoclonal Antibody to 4-Hydroxyphenylpyruvate Dioxygenase (HPD) (MAE251Hu21)
Реактивность подтвержденная:
человек
Источник (хозяин):
мышь
Валидировано для:
IHC
WB
Характеристики
Техническое описание
| Русское название | MAE251Hu21 Моноклональное антитело к HPD (человек) <Cloud-Clone,Китай> |
| Каталожный номер | MAE251Hu21 |
| Название антигена | 4-Hydroxyphenylpyruvate Dioxygenase (HPD) |
| UNIPROT | P32754 |
| Иммуноген | RPE251Hu01-Recombinant 4-Hydroxyphenylpyruvate Dioxygenase (HPD) |
| Английские синонимы | PPD, 4-HPPD, 4HPPD, GLOD3, Glyoxalase Domain Containing 3, 4-hydroxyphenylpyruvic acid oxidase |
Реактивность подтвержденная Нужна другая реактивность? |
человек |
| Реактивность предсказываемая | свинья |
| Источник (хозяин) | мышь |
| Изотип | IgG2a Kappa |
| Клональность | моноклональное |
| Клон | D2 |
| Рекомбинантное | нет |
| Готовое к использованию | нет |
| Концентрация | 1 мг/мл |
| Конъюгат | По запросу: HRP, biotin, PerCP, PE, Cy3, FITC, Cy7, Cy5.5, PE-Cy5, PE-Cy7, PerCp-Cy5.5, APC, Cy5, PE-Cy3, PE-Cy5.5, APC-Cy7, Biotin-APC, FITC-Biotin, TRITC, APC-Cy5, AF488, AF594, AF405, AF555, AF700, AF647, AF750 |
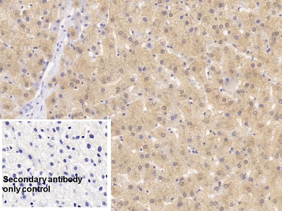
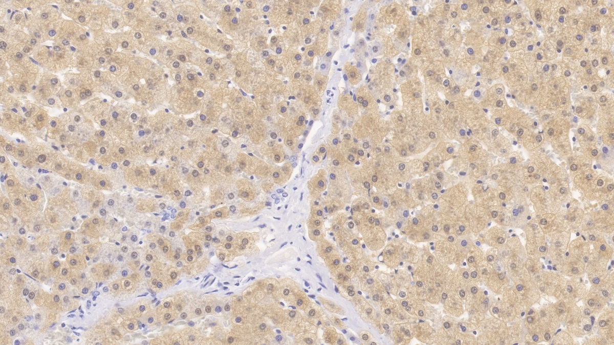
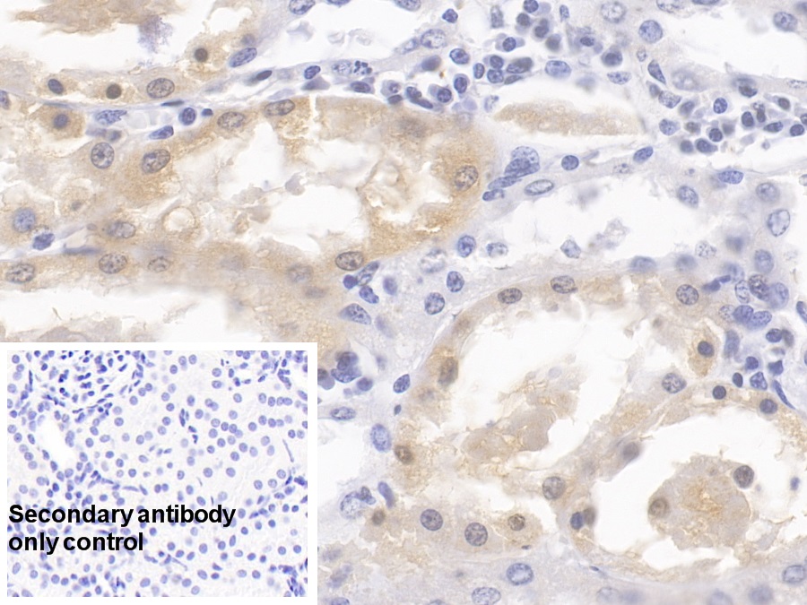
| Валидировано для | IHC WB Иммуногистохимия; Вестерн-блоттинг |
| Рекомендуемые разведения | WB: 0.01-2 мкг/мл; IHC: 5-30 мкг/мл; ICC: 5-20 мкг/мл; Оптимальное разведение определяется конечным потребителем |
| Метод очистки | Аффинная хроматография с белком А и белком G |
| Состав буфера | 0.01M PBS, pH7.4, 0.05% Proclin-300, 50% глицерин |
| Условия доставки | термобокс с аккумуляторами холода |
| Условия хранения | Сразу после получения аликвотировать и хранить при -20ºС до 24 месяцев. Для частого использования хранить при +4ºС не более 2 недель. Избегать повторения циклов замерзания/оттаивания |
| Срок хранения | 24 месяца |
| Производитель | Cloud-Clone Corp. |
| Ссылка на страницу товара на сайте производителя | http://www.cloud-clone.com/products/MAE251Hu21.html |
|
Артикул
|
Наименование |
Производитель
|
|---|
|
Артикул
|
Наименование |
Производитель
|
|---|
Акции и предложения
Популярные продукты:
Mouse Alstrom syndrome protein 1(ALMS1) ELISA kit (E03A1397)
Организм: мышь
Bovine 4 hydroxyphenylpyruvate dioxygenase(HPD) ELISA kit (E11H1389)
Организм: корова
Monkey Fibulin 5 ELISA kit (E09F0057)
Организм: обезьяна
Canine Retinoid isomerohydrolase(RPE65) ELISA kit (E08R0420)
Организм: собака

