Ваш браузер устарел и не обеспечивает полноценную и безопасную работу с сайтом. Пожалуйста обновите браузер чтобы улучшить взаимодействие с сайтом.
Мы обновили сайт, попробуйте новые функции в личном кабинете!

+7 (495) 798-02-48

Monoclonal Antibody to Adiponectin (ADPN) (MAA605Hu23)

Реактивность подтвержденная: человек
Источник (хозяин): мышь
Валидировано для:
IHC
WB
30036
30036
DAB staining on IHC-P; Sample: Human Cardiac Muscle Tissue Primary Ab: 20μg/ml Mouse Anti-Human ADPN Antibody Control: Used PBS instead of primary antibody Second Ab: 2μg/ml HRP-Linked Caprine Anti-Mouse IgG Polyclonal Antibody (Catalog: SAA544Mu19)
30041
30041
DAB staining on IHC-P; Sample: Rat Cardiac Muscle Tissue Primary Ab: 30μg/ml Mouse Anti-Human ADPN Antibody Control: Used PBS instead of primary antibody Second Ab: 2μg/ml HRP-Linked Caprine Anti-Mouse IgG Polyclonal Antibody (Catalog: SAA544Mu19)
31171
31171
DAB staining on IHC-P; Sample: Rat Ovary Tissue Primary Ab: 30μg/ml Mouse Anti-Human ADPN Antibody Control: Used PBS instead of primary antibody Second Ab: 2μg/ml HRP-Linked Caprine Anti-Mouse IgG Polyclonal Antibody (Catalog: SAA544Mu19)
31172
31172
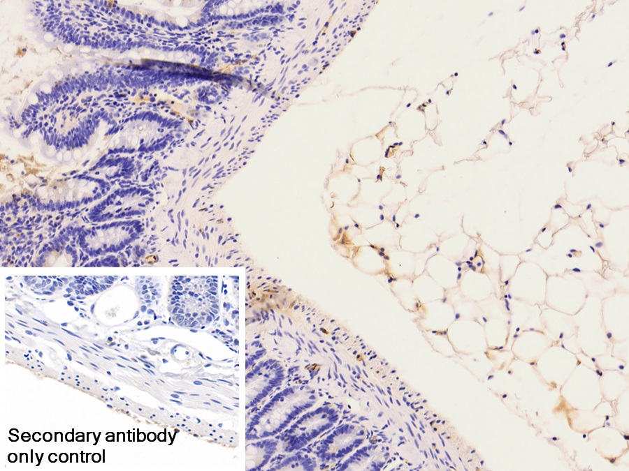
DAB staining on IHC-P; Sample: Rat Colon Tissue Primary Ab: 30μg/ml Mouse Anti-Human ADPN Antibody Control: Used PBS instead of primary antibody Second Ab: 2μg/ml HRP-Linked Caprine Anti-Mouse IgG Polyclonal Antibody (Catalog: SAA544Mu19)
31173
31173
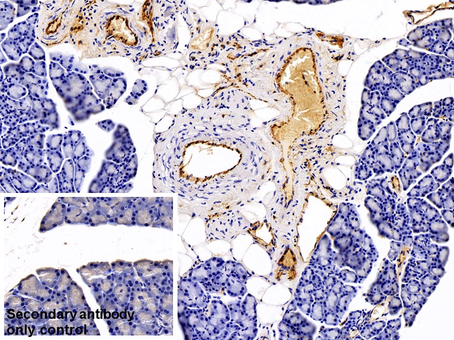
DAB staining on IHC-P; Sample: Rat Pancreas Tissue Primary Ab: 30μg/ml Mouse Anti-Human ADPN Antibody Control: Used PBS instead of primary antibody Second Ab: 2μg/ml HRP-Linked Caprine Anti-Mouse IgG Polyclonal Antibody (Catalog: SAA544Mu19)
30036
30041
31171
31172
31173
Ближайшая поставка
29.05.26
Характеристики
Техническое описание
Русское название MAA605Hu23 Моноклональное антитело к ADPN (человек) <Cloud-Clone,Китай>
Каталожный номер MAA605Hu23
Название антигена Adiponectin (ADP)
UNIPROT Q15848
Иммуноген RPA605Hu01-Recombinant Adiponectin (ADPN)
Английские синонимы GBP28, ApM1, AdipoQ, Acrp30, ACDC, APM1, C1Q And Collagen Domain Containing, Adipocyte Complement-Related Protein Of 30 KDa, Adipose Most Abundant Gene Transcript 1
Реактивность подтвержденная
Нужна другая реактивность?
человек
Реактивность предсказываемая свинья
Источник (хозяин) мышь
Изотип IgG2b Kappa
Клональность моноклональное
Клон H2
Рекомбинантное нет
Готовое к использованию нет
Концентрация 0.92 мг/мл
Конъюгат По запросу: HRP, biotin, PerCP, PE, Cy3, FITC, Cy7, Cy5.5, PE-Cy5, PE-Cy7, PerCp-Cy5.5, APC, Cy5, PE-Cy3, PE-Cy5.5, APC-Cy7, Biotin-APC, FITC-Biotin, TRITC, APC-Cy5, AF488, AF594, AF405, AF555, AF700, AF647, AF750
Валидировано для
IHC
WB
Иммуногистохимия; Вестерн-блоттинг
Рекомендуемые разведения WB: 0.01-2 мкг/мл; IHC: 5-30 мкг/мл; Оптимальное разведение определяется конечным потребителем
Метод очистки Аффинная хроматография с белком А и белком G
Состав буфера PBS, pH7.4, 0.02% NaN3, 50% глицерин
Условия доставки термобокс с аккумуляторами холода
Условия хранения Сразу после получения аликвотировать и хранить при -20ºС до 24 месяцев. Для частого использования хранить при +4ºС не более 2 недель. Избегать повторения циклов замерзания/оттаивания
Срок хранения 24 месяца
Производитель Cloud-Clone Corp.
Ссылка на страницу товара на сайте производителя http://www.cloud-clone.com/products/MAA605Hu23.html

Назначение

моноклональное антитело от производителя Cloud-Clone Corp. к Adiponectin (ADP) источник — мышь предназначено для детекции целевого антигена в биологических образцах. Продукт характеризуется подтвержденной реактивностью к человек.

Преимущества

  • Высокая специфичность и аффинность
  • Концентрация: 0.92 мг/мл
  • Оптимизированный состав буфера: PBS, pH7.4, 0.02% NaN3, 50% глицерин
  • Стабильность: 24 месяца

Применение в исследованиях

Антитело валидировано для методов: IHC, WB. Подходит для научных исследований в области иммунологии, клеточной биологии и молекулярной диагностики.

Условия хранения

Срок годности: 24 месяца. Сразу после получения аликвотировать и хранить при -20ºС до 24 месяцев. Для частого использования хранить при +4ºС не более 2 недель. Избегать повторения циклов замерзания/оттаивания. Рекомендуется соблюдать температурный режим при транспортировке и хранении.
Артикул
Наименование
Производитель
Артикул
Наименование
Производитель
Артикул
Наименование
Производитель
Артикул
Наименование
Производитель
Артикул
Наименование
Производитель
Артикул
Наименование
Производитель
Артикул
Наименование
Производитель
Артикул
Наименование
Производитель
Артикул
Наименование
Производитель
Артикул
Наименование
Производитель
Артикул
Наименование
Производитель

С нами успешно сотрудничают:

Московский государственный университет им. Ломоносова
Московский государственный университет им. Ломоносова
Московский государственный университет им. Ломоносова
МФТИ
МФТИ
МФТИ
Центр вирусологии и биотехнологии „Вектор“
Центр вирусологии и биотехнологии „Вектор“
Центр вирусологии и биотехнологии „Вектор“
Институт физиологии имени Павлова
Институт физиологии имени Павлова
Институт физиологии имени Павлова
Сеченовский университет
Сеченовский университет
Сеченовский университет
Исследовательский центр им. Алмазова
Исследовательский центр им. Алмазова
Исследовательский центр им. Алмазова
BIOCAD
BIOCAD
BIOCAD
Университет Сириус
Университет Сириус
Университет Сириус
Р-Фарм
Р-Фарм
Р-Фарм
Сколтех
Сколтех
Сколтех
Курчатовский институт
Курчатовский институт
Курчатовский институт
ИБХ РАН
ИБХ РАН
ИБХ РАН
НИЦ эпидемиологии и микробиологии им. Н.Ф.Гамалеи
НИЦ эпидемиологии и микробиологии им. Н.Ф.Гамалеи
НИЦ эпидемиологии и микробиологии им. Н.Ф.Гамалеи
Томский НИМЦ
Томский НИМЦ
Томский НИМЦ
ФИЦ ВИЖ имени Л.К. Эрнста
ФИЦ ВИЖ имени Л.К. Эрнста
ФИЦ ВИЖ имени Л.К. Эрнста
Фонд "Наука - Детям"
Фонд "Наука - Детям"
Фонд "Наука - Детям"
Институт цитологии и генетики СО РАН
Институт цитологии и генетики СО РАН
Институт цитологии и генетики СО РАН
Генериум
Генериум
Генериум

Новости

0
0
0