Ваш браузер устарел и не обеспечивает полноценную и безопасную работу с сайтом. Пожалуйста обновите браузер чтобы улучшить взаимодействие с сайтом.
Мы обновили сайт, попробуйте новые функции в личном кабинете!

+7 (495) 798-02-48

Monoclonal Antibody to Adiponectin (ADPN) (MAA605Ra23)

Реактивность подтвержденная: крыса
Источник (хозяин): мышь
Валидировано для:
IHC
25125
25125
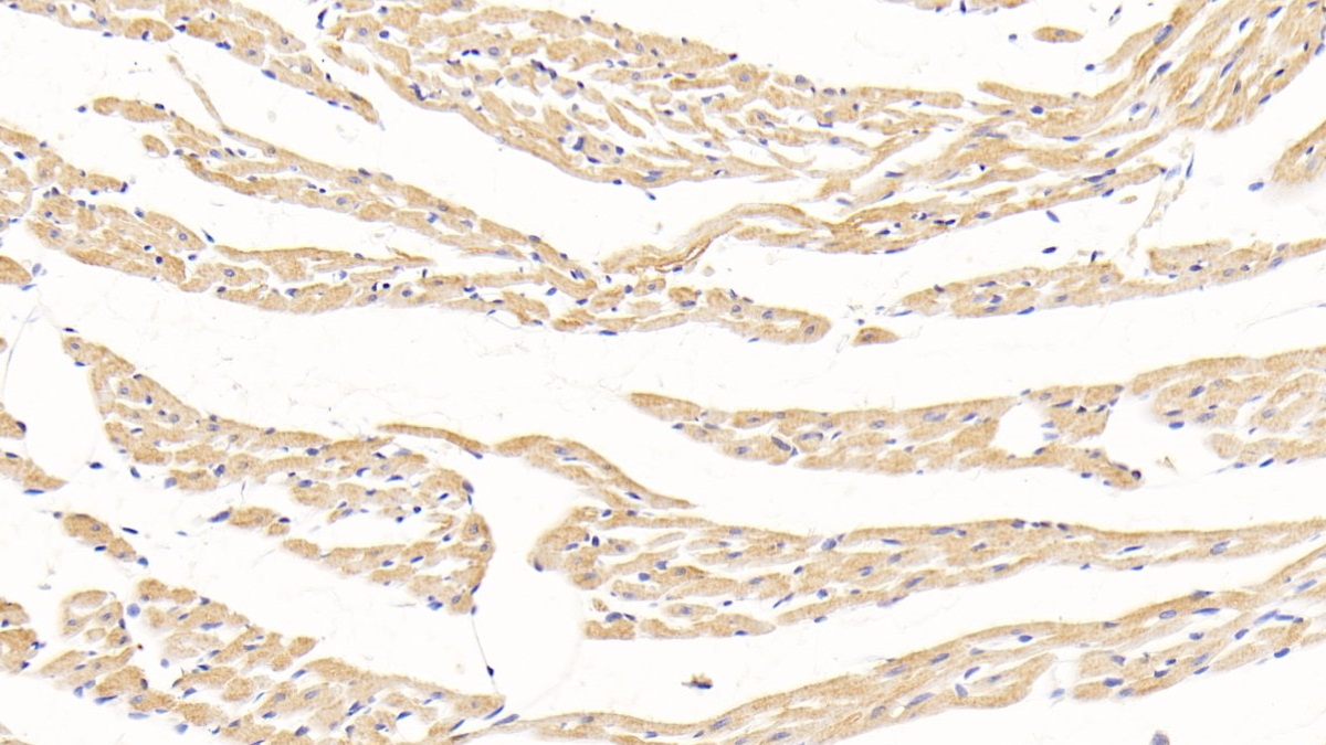
DAB staining on IHC-P; Sample: Rat Cardiac Muscle Tissue; Primary Ab: 30μg/ml Mouse Anti-Rat ADP Antibody Second Ab: 2μg/mL HRP-Linked Caprine Anti-Mouse IgG Polyclonal Antibody (Catalog: SAA544Mu19)
25126
25126
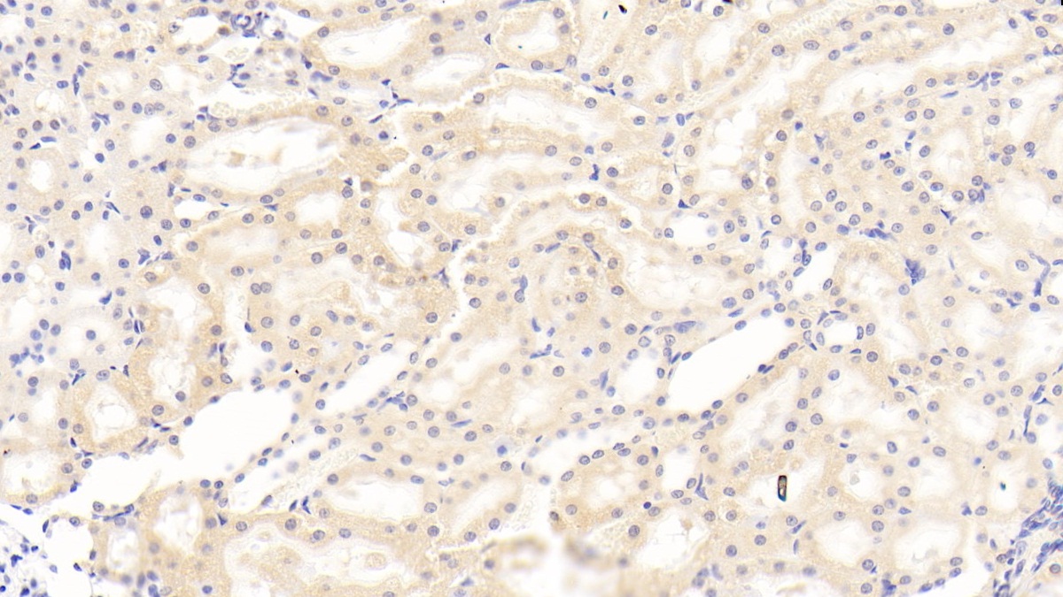
DAB staining on IHC-P; Sample: Rat Kidney Tissue; Primary Ab: 30μg/ml Mouse Anti-Rat ADP Antibody Second Ab: 2μg/mL HRP-Linked Caprine Anti-Mouse IgG Polyclonal Antibody (Catalog: SAA544Mu19)
25125
25126
Ближайшая поставка
29.05.26
Характеристики
Техническое описание
Русское название MAA605Ra23 Моноклональное антитело к ADPN (крыса) <Cloud-Clone,Китай>
Каталожный номер MAA605Ra23
Название антигена Adiponectin (ADP)
UNIPROT Q8K3R4
Иммуноген RPA605Ra01-Recombinant Adiponectin (ADPN)
Английские синонимы GBP28, ApM1, AdipoQ, Acrp30, ACDC, APM1, C1Q And Collagen Domain Containing, Adipocyte Complement-Related Protein Of 30 KDa, Adipose Most Abundant Gene Transcript 1
Реактивность подтвержденная
Нужна другая реактивность?
крыса
Источник (хозяин) мышь
Изотип IgG2a Kappa
Клональность моноклональное
Клон C8
Рекомбинантное нет
Готовое к использованию нет
Концентрация 1 мг/мл
Конъюгат По запросу: HRP, biotin, PerCP, PE, Cy3, FITC, Cy7, Cy5.5, PE-Cy5, PE-Cy7, PerCp-Cy5.5, APC, Cy5, PE-Cy3, PE-Cy5.5, APC-Cy7, Biotin-APC, FITC-Biotin, TRITC, APC-Cy5, AF488, AF594, AF405, AF555, AF700, AF647, AF750
Валидировано для
IHC
Иммуногистохимия
Рекомендуемые разведения WB: 0.5-2 мкг/мл; IHC: 5-20 мкг/мл; ICC: 5-20 мкг/мл; Оптимальное разведение определяется конечным потребителем
Метод очистки Аффинная хроматография с белком А и белком G
Состав буфера 0.01M PBS, pH7.4, 0.05% Proclin-300, 50% глицерин
Условия доставки термобокс с аккумуляторами холода
Условия хранения Сразу после получения аликвотировать и хранить при -20ºС до 24 месяцев. Для частого использования хранить при +4ºС не более 2 недель. Избегать повторения циклов замерзания/оттаивания
Срок хранения 24 месяца
Производитель Cloud-Clone Corp.
Ссылка на страницу товара на сайте производителя http://www.cloud-clone.com/products/MAA605Ra23.html

Назначение

моноклональное антитело от производителя Cloud-Clone Corp. к Adiponectin (ADP) источник — мышь предназначено для детекции целевого антигена в биологических образцах. Продукт характеризуется подтвержденной реактивностью к крыса.

Преимущества

  • Высокая специфичность и аффинность
  • Концентрация: 1 мг/мл
  • Оптимизированный состав буфера: 0.01M PBS, pH7.4, 0.05% Proclin-300, 50% глицерин
  • Стабильность: 24 месяца

Применение в исследованиях

Антитело валидировано для методов: IHC. Подходит для научных исследований в области иммунологии, клеточной биологии и молекулярной диагностики.

Условия хранения

Срок годности: 24 месяца. Сразу после получения аликвотировать и хранить при -20ºС до 24 месяцев. Для частого использования хранить при +4ºС не более 2 недель. Избегать повторения циклов замерзания/оттаивания. Рекомендуется соблюдать температурный режим при транспортировке и хранении.
Артикул
Наименование
Производитель
Артикул
Наименование
Производитель
Артикул
Наименование
Производитель
Артикул
Наименование
Производитель
Артикул
Наименование
Производитель
Артикул
Наименование
Производитель
Артикул
Наименование
Производитель
Артикул
Наименование
Производитель
Артикул
Наименование
Производитель
Артикул
Наименование
Производитель
Артикул
Наименование
Производитель

С нами успешно сотрудничают:

Московский государственный университет им. Ломоносова
Московский государственный университет им. Ломоносова
Московский государственный университет им. Ломоносова
МФТИ
МФТИ
МФТИ
Центр вирусологии и биотехнологии „Вектор“
Центр вирусологии и биотехнологии „Вектор“
Центр вирусологии и биотехнологии „Вектор“
Институт физиологии имени Павлова
Институт физиологии имени Павлова
Институт физиологии имени Павлова
Сеченовский университет
Сеченовский университет
Сеченовский университет
Исследовательский центр им. Алмазова
Исследовательский центр им. Алмазова
Исследовательский центр им. Алмазова
BIOCAD
BIOCAD
BIOCAD
Университет Сириус
Университет Сириус
Университет Сириус
Р-Фарм
Р-Фарм
Р-Фарм
Сколтех
Сколтех
Сколтех
Курчатовский институт
Курчатовский институт
Курчатовский институт
ИБХ РАН
ИБХ РАН
ИБХ РАН
НИЦ эпидемиологии и микробиологии им. Н.Ф.Гамалеи
НИЦ эпидемиологии и микробиологии им. Н.Ф.Гамалеи
НИЦ эпидемиологии и микробиологии им. Н.Ф.Гамалеи
Томский НИМЦ
Томский НИМЦ
Томский НИМЦ
ФИЦ ВИЖ имени Л.К. Эрнста
ФИЦ ВИЖ имени Л.К. Эрнста
ФИЦ ВИЖ имени Л.К. Эрнста
Фонд "Наука - Детям"
Фонд "Наука - Детям"
Фонд "Наука - Детям"
Институт цитологии и генетики СО РАН
Институт цитологии и генетики СО РАН
Институт цитологии и генетики СО РАН
Генериум
Генериум
Генериум

Новости

0
0
0