| UNIPROT | P24298 |
| Иммуноген | RPA207Hu03-Recombinant Alanine Aminotransferase (ALT) |
Monoclonal Antibody to Alanine Aminotransferase (ALT) (MAA207Hu21)
Реактивность подтвержденная:
человек
Источник (хозяин):
мышь
Валидировано для:
IHC
WB
Характеристики
Техническое описание
| Русское название | MAA207Hu21 Моноклональное антитело к ALT (человек) <Cloud-Clone,Китай> |
| Каталожный номер | MAA207Hu21 |
| Название антигена | Alanine Aminotransferase (ALT) |
| UNIPROT | P24298 |
| Иммуноген | RPA207Hu03-Recombinant Alanine Aminotransferase (ALT) |
| Английские синонимы | GPT, ALAT, SGPT, AAT1, GPT1, Serum Glutamic Pyruvic Transaminase, Alanine Transaminase, Glutamate pyruvate transaminase 1, Glutamic--alanine transaminase 1 |
| Русские синонимы | АЛТ, АлАт |
Реактивность подтвержденная Нужна другая реактивность? |
человек |
| Реактивность предсказываемая | крыса |
| Источник (хозяин) | мышь |
| Изотип | IgG1 Kappa |
| Клональность | моноклональное |
| Клон | C4 |
| Рекомбинантное | нет |
| Готовое к использованию | нет |
| Концентрация | 1 мг/мл |
| Конъюгат | По запросу: HRP, biotin, PerCP, PE, Cy3, FITC, Cy7, Cy5.5, PE-Cy5, PE-Cy7, PerCp-Cy5.5, APC, Cy5, PE-Cy3, PE-Cy5.5, APC-Cy7, Biotin-APC, FITC-Biotin, TRITC, APC-Cy5, AF488, AF594, AF405, AF555, AF700, AF647, AF750 |
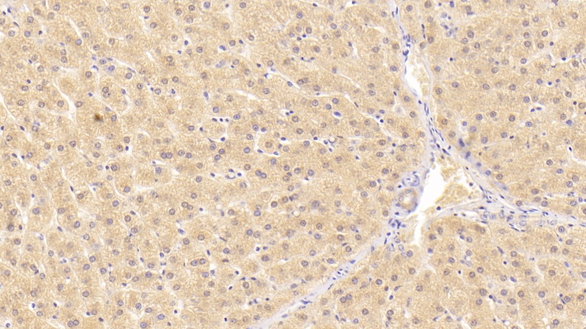
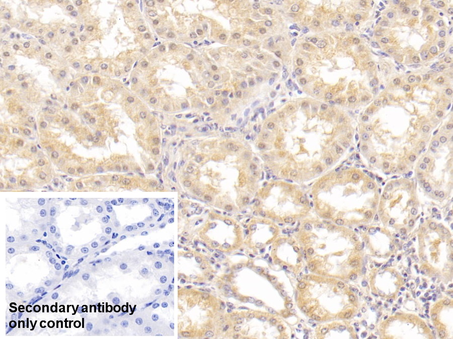
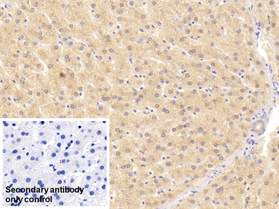
| Валидировано для | IHC WB Иммуногистохимия; Вестерн-блоттинг |
| Рекомендуемые разведения | WB: 0.01-2 мкг/мл; IHC: 5-20 мкг/мл; Оптимальное разведение определяется конечным потребителем |
| Метод очистки | Аффинная хроматография с белком А и белком G |
| Состав буфера | 0.01M PBS, pH7.4, 0.05% Proclin-300, 50% глицерин |
| Условия доставки | термобокс с аккумуляторами холода |
| Условия хранения | Сразу после получения аликвотировать и хранить при -20ºС до 24 месяцев. Для частого использования хранить при +4ºС не более 2 недель. Избегать повторения циклов замерзания/оттаивания |
| Срок хранения | 24 месяца |
| Производитель | Cloud-Clone Corp. |
| Ссылка на страницу товара на сайте производителя | http://www.cloud-clone.com/products/MAA207Hu21.html |
|
Артикул
|
Наименование |
Производитель
|
|---|
|
Артикул
|
Наименование |
Производитель
|
|---|
|
Артикул
|
Наименование |
Производитель
|
|---|
|
Артикул
|
Наименование |
Производитель
|
|---|
|
Артикул
|
Наименование |
Производитель
|
|---|
|
Артикул
|
Наименование |
Производитель
|
|---|
|
Артикул
|
Наименование |
Производитель
|
|---|
|
Артикул
|
Наименование |
Производитель
|
|---|
Акции и предложения
Популярные продукты:
ELISA Kit DIY Materials for Fc Fragment Of IgG Low Affinity IIIb Receptor (FcgR3B) (KSB271Hu01)
Организм: человек
Диапазон определения: 0.312-20 нг/мл
Чувствительность: 0.135 нг/мл
Диапазон определения: 0.312-20 нг/мл
Чувствительность: 0.135 нг/мл
Porcine Alanine Aminotransferase ELISA kit (E07A0388)
Организм: свинья
Диапазон определения: 10-250 Ед/л
Чувствительность: 1 Ед/л
Диапазон определения: 10-250 Ед/л
Чувствительность: 1 Ед/л

