| UNIPROT | P02771 |
| Иммуноген | RPA153Hu01-Recombinant Alpha-Fetoprotein (AFP) |
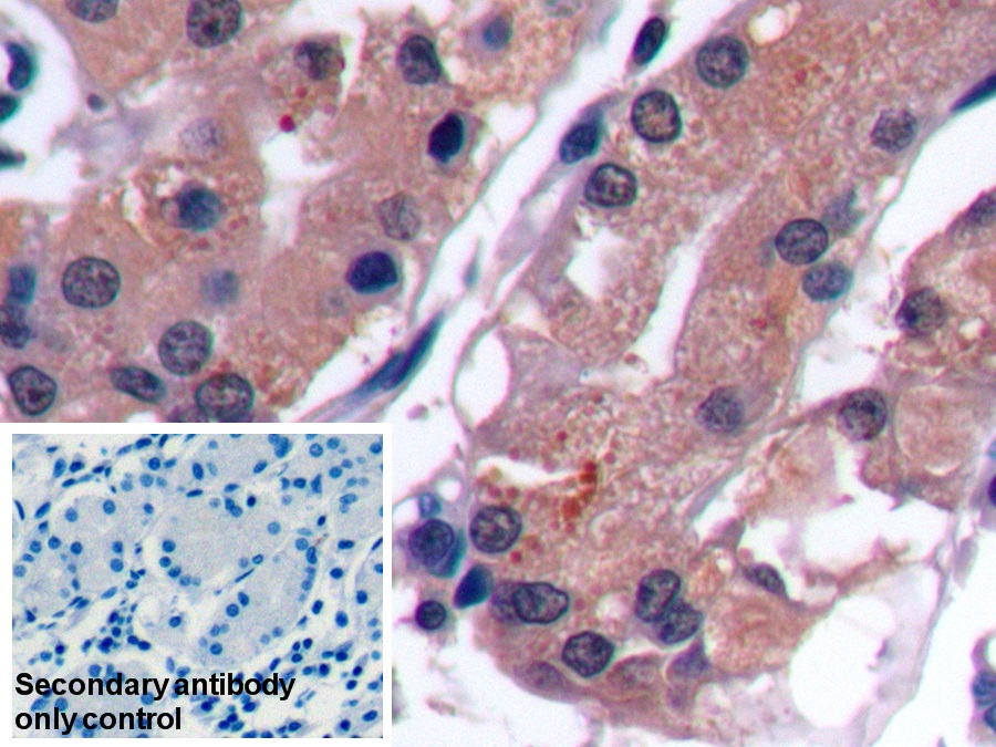
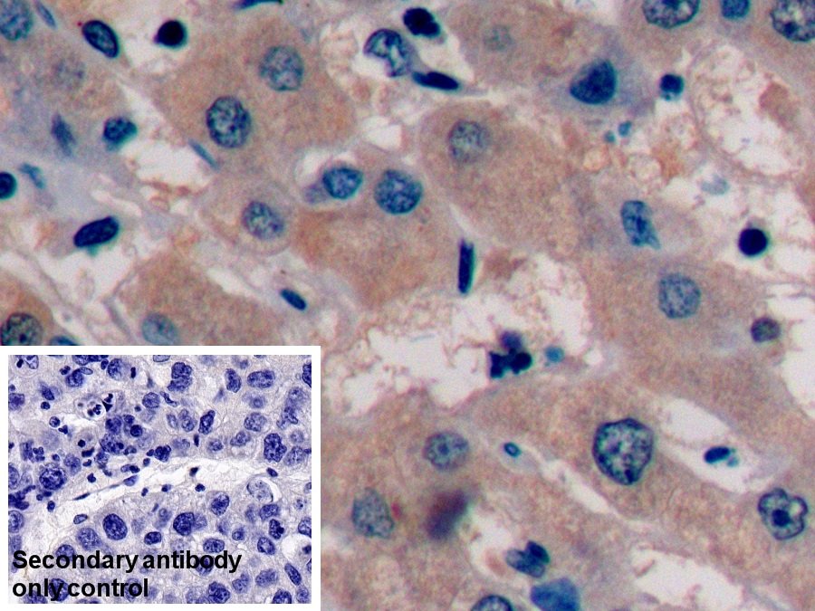
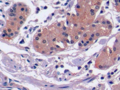
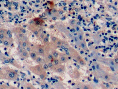
Monoclonal Antibody to Alpha-Fetoprotein (AFP) (MAA153Hu21)
Реактивность подтвержденная:
человек
Источник (хозяин):
мышь
Валидировано для:
IHC
WB
Характеристики
Техническое описание
| Русское название | MAA153Hu21 Моноклональное антитело к AFP (человек) <Cloud-Clone,Китай> |
| Каталожный номер | MAA153Hu21 |
| Название антигена | Alpha-Fetoprotein (aFP) |
| UNIPROT | P02771 |
| Иммуноген | RPA153Hu01-Recombinant Alpha-Fetoprotein (AFP) |
| Английские синонимы | A-FP, FETA, HPAFP, Alpha-Fetoglobulin, Alpha-1-fetoprotein |
| Русские синонимы | АФП |
Реактивность подтвержденная Нужна другая реактивность? |
человек |
| Реактивность предсказываемая | обезьяна |
| Источник (хозяин) | мышь |
| Изотип | IgG1 Kappa |
| Клональность | моноклональное |
| Клон | C6 |
| Рекомбинантное | нет |
| Готовое к использованию | нет |
| Концентрация | 1 мг/мл |
| Конъюгат | По запросу: HRP, biotin, PerCP, PE, Cy3, FITC, Cy7, Cy5.5, PE-Cy5, PE-Cy7, PerCp-Cy5.5, APC, Cy5, PE-Cy3, PE-Cy5.5, APC-Cy7, Biotin-APC, FITC-Biotin, TRITC, APC-Cy5, AF488, AF594, AF405, AF555, AF700, AF647, AF750 |
| Валидировано для | IHC WB Иммуногистохимия; Вестерн-блоттинг |
| Рекомендуемые разведения | WB: 0.5-6 мкг/мл; IHC: 5-60 мкг/мл; ICC: 5-60 мкг/мл; Оптимальное разведение определяется конечным потребителем |
| Метод очистки | Аффинная хроматография с белком А и белком G |
| Состав буфера | 0.01M PBS, pH7.4, 0.05% Proclin-300, 50% глицерин |
| Условия доставки | термобокс с аккумуляторами холода |
| Условия хранения | Сразу после получения аликвотировать и хранить при -20ºС до 24 месяцев. Для частого использования хранить при +4ºС не более 2 недель. Избегать повторения циклов замерзания/оттаивания |
| Срок хранения | 24 месяца |
| Производитель | Cloud-Clone Corp. |
| Ссылка на страницу товара на сайте производителя | http://www.cloud-clone.com/products/MAA153Hu21.html |
|
Артикул
|
Наименование |
Производитель
|
|---|
|
Артикул
|
Наименование |
Производитель
|
|---|
|
Артикул
|
Наименование |
Производитель
|
|---|
|
Артикул
|
Наименование |
Производитель
|
|---|
|
Артикул
|
Наименование |
Производитель
|
|---|
|
Артикул
|
Наименование |
Производитель
|
|---|
|
Артикул
|
Наименование |
Производитель
|
|---|
|
Артикул
|
Наименование |
Производитель
|
|---|
|
Артикул
|
Наименование |
Производитель
|
|---|
|
Артикул
|
Наименование |
Производитель
|
|---|
Акции и предложения
Популярные продукты:
eIF4G1 Mouse Monoclonal Antibody (BF9510)
Источник (хозяин): мышь
Реактивность подтвержденная: человек
Валидировано для: WB
Реактивность подтвержденная: человек
Валидировано для: WB
ADRB2 Mouse Monoclonal Antibody (BF8223)
Источник (хозяин): мышь
Реактивность подтвержденная: человек, мышь, крыса
Валидировано для: WB
Реактивность подтвержденная: человек, мышь, крыса
Валидировано для: WB
Human 15 hydroxyprostaglandin dehydrogenase [NAD+](HPGD) ELISA kit (E01H0149)
Организм: человек
Диапазон определения: 1-25 нг/мл
Чувствительность: 0.1 нг/мл
Диапазон определения: 1-25 нг/мл
Чувствительность: 0.1 нг/мл
Rat Annexin A1 ELISA kit (E02A0208)
Организм: крыса
Mouse Metaxin 1(MTX1) ELISA kit (E03M0406)
Организм: мышь

