| UNIPROT | P12429 |
| Иммуноген | RPE786Hu03-Recombinant Annexin A3 (ANXA3) |
Monoclonal Antibody to Annexin A3 (ANXA3) (MAE786Hu24)
Реактивность подтвержденная:
человек
Источник (хозяин):
мышь
Валидировано для:
IHC
WB
Характеристики
Техническое описание
| Русское название | MAE786Hu24 Моноклональное антитело к ANXA3 (человек) <Cloud-Clone,Китай> |
| Каталожный номер | MAE786Hu24 |
| Название антигена | Annexin A3 (ANXA3) |
| UNIPROT | P12429 |
| Иммуноген | RPE786Hu03-Recombinant Annexin A3 (ANXA3) |
| Английские синонимы | ANX-A3, ANX3, PAP-III, 35-alpha calcimedin, Inositol 1,2-cyclic phosphate 2-phosphohydrolase, Lipocortin III, Placental anticoagulant protein III |
Реактивность подтвержденная Нужна другая реактивность? |
человек |
| Реактивность предсказываемая | свинья |
| Источник (хозяин) | мышь |
| Изотип | IgG2b Kappa |
| Клональность | моноклональное |
| Клон | C8 |
| Рекомбинантное | нет |
| Готовое к использованию | нет |
| Концентрация | 1 мг/мл |
| Конъюгат | По запросу: HRP, biotin, PerCP, PE, Cy3, FITC, Cy7, Cy5.5, PE-Cy5, PE-Cy7, PerCp-Cy5.5, APC, Cy5, PE-Cy3, PE-Cy5.5, APC-Cy7, Biotin-APC, FITC-Biotin, TRITC, APC-Cy5, AF488, AF594, AF405, AF555, AF700, AF647, AF750 |
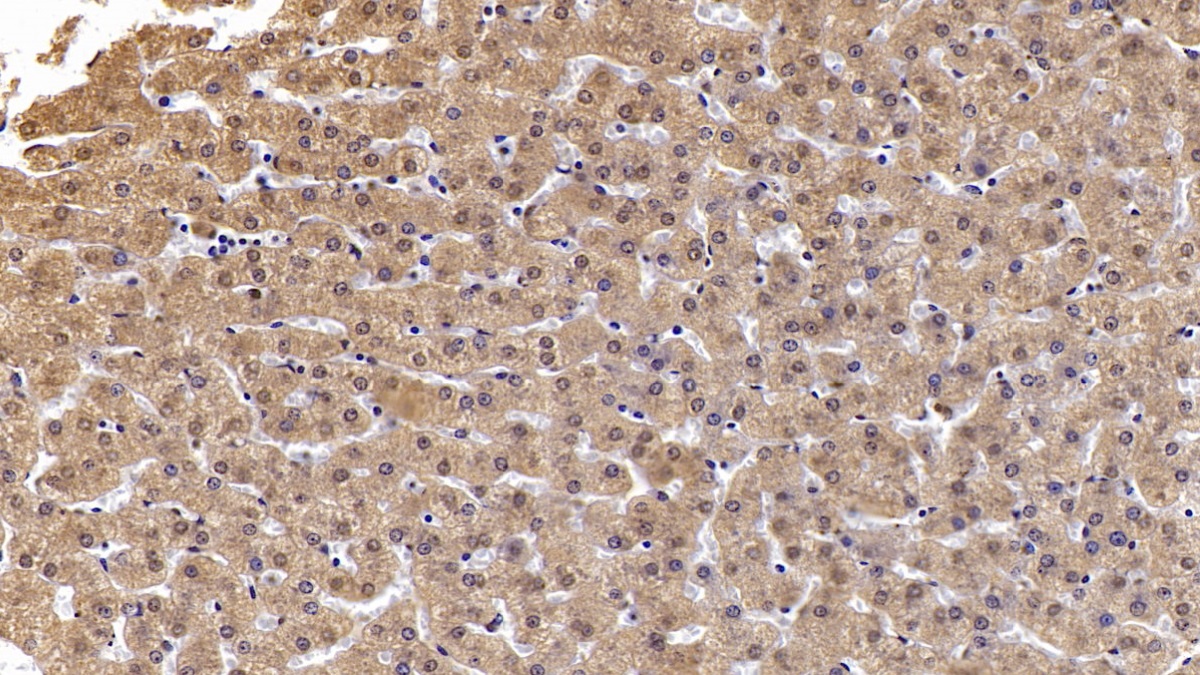
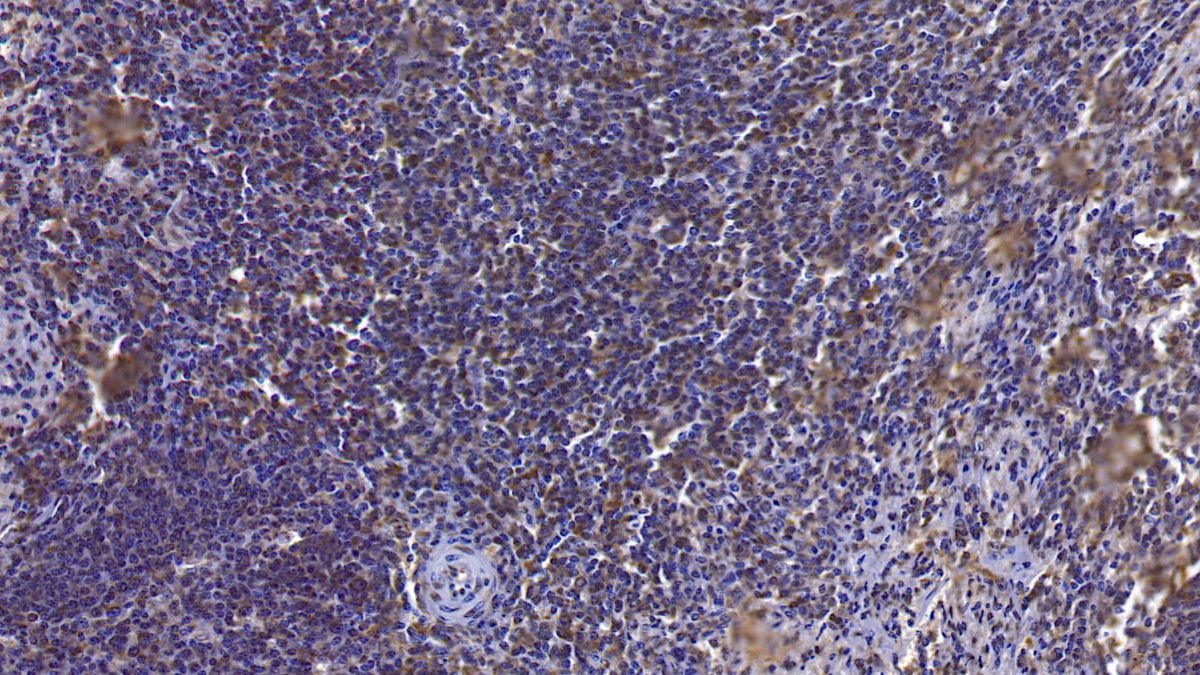
| Валидировано для | IHC WB Иммуногистохимия; Вестерн-блоттинг |
| Рекомендуемые разведения | WB: 0.01-2 мкг/мл; IHC: 5-20 мкг/мл; Оптимальное разведение определяется конечным потребителем |
| Метод очистки | Аффинная хроматография с белком А и белком G |
| Состав буфера | PBS, pH7.4, 0.02% NaN3, 50% глицерин |
| Условия доставки | термобокс с аккумуляторами холода |
| Условия хранения | Сразу после получения аликвотировать и хранить при -20ºС до 24 месяцев. Для частого использования хранить при +4ºС не более 2 недель. Избегать повторения циклов замерзания/оттаивания |
| Срок хранения | 24 месяца |
| Производитель | Cloud-Clone Corp. |
| Ссылка на страницу товара на сайте производителя | http://www.cloud-clone.com/products/MAE786Hu24.html |
|
Артикул
|
Наименование |
Производитель
|
|---|
|
Артикул
|
Наименование |
Производитель
|
|---|
|
Артикул
|
Наименование |
Производитель
|
|---|
|
Артикул
|
Наименование |
Производитель
|
|---|
|
Артикул
|
Наименование |
Производитель
|
|---|
Акции и предложения
Популярные продукты:
ELISA Kit DIY Materials for Klotho Beta (KLb) (KSH756Hu01)
Организм: человек
Диапазон определения: 78-5000 пг/мл
Чувствительность: 31 пг/мл
Диапазон определения: 78-5000 пг/мл
Чувствительность: 31 пг/мл
ELISA Kit DIY Materials for Protein Kinase C Delta (PKCd) (KSA433Mu01)
Организм: мышь
Диапазон определения: 0.156-10 нг/мл
Чувствительность: 0.063 нг/мл
Диапазон определения: 0.156-10 нг/мл
Чувствительность: 0.063 нг/мл
Monoclonal Antibody to Annexin A3 (ANXA3) (MAE786Hu26)
Источник (хозяин): мышь
Реактивность подтвержденная: человек
Валидировано для: WB
Реактивность подтвержденная: человек
Валидировано для: WB
Monkey Dopamine decarboxylase ELISA kit (E09D0232)
Организм: обезьяна
Human Karyopherin Alpha 2 ELISA kit (E01K0096)
Организм: человек
Диапазон определения: 5-100 нг/мл
Чувствительность: 0.1 нг/мл
Диапазон определения: 5-100 нг/мл
Чувствительность: 0.1 нг/мл
Monkey Apelin ELISA kit (E09A1592)
Организм: обезьяна

