| UNIPROT | P08758 |
| Иммуноген | RPA259Hu01-Recombinant Annexin V (ANXA5) |
Monoclonal Antibody to Annexin V (ANXA5) (MAA259Hu21)
Реактивность подтвержденная:
человек
Источник (хозяин):
мышь
Валидировано для:
IHC
WB
Характеристики
Техническое описание
| Русское название | MAA259Hu21 Моноклональное антитело к ANXA5 (человек) <Cloud-Clone,Китай> |
| Каталожный номер | MAA259Hu21 |
| Название антигена | Annexin A5 (ANXA5) |
| UNIPROT | P08758 |
| Иммуноген | RPA259Hu01-Recombinant Annexin V (ANXA5) |
| Английские синонимы | ANX5, ENX2, PP4, PAP-I, CBP-I, Anchorin CII, Calphobindin I, Endonexin II, Lipocortin V, Placental anticoagulant protein 4, Thromboplastin inhibitor, Vascular anticoagulant-alpha |
Реактивность подтвержденная Нужна другая реактивность? |
человек |
| Реактивность предсказываемая | кролик, собака, свинья, корова, коза, овца |
| Источник (хозяин) | мышь |
| Изотип | IgG1 Kappa |
| Клональность | моноклональное |
| Клон | C10-1 |
| Рекомбинантное | нет |
| Готовое к использованию | нет |
| Концентрация | 1 мг/мл |
| Конъюгат | По запросу: HRP, biotin, PerCP, PE, Cy3, FITC, Cy7, Cy5.5, PE-Cy5, PE-Cy7, PerCp-Cy5.5, APC, Cy5, PE-Cy3, PE-Cy5.5, APC-Cy7, Biotin-APC, FITC-Biotin, TRITC, APC-Cy5, AF488, AF594, AF405, AF555, AF700, AF647, AF750 |
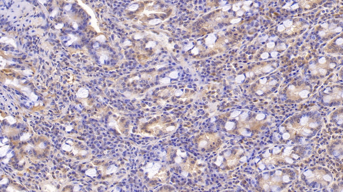
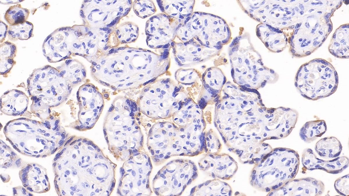
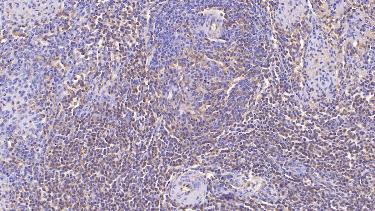
| Валидировано для | IHC WB Иммуногистохимия; Вестерн-блоттинг |
| Рекомендуемые разведения | WB: 0.003-2 мкг/мл; IHC: 5-20 мкг/мл; ICC: 5-20 мкг/мл; Оптимальное разведение определяется конечным потребителем |
| Метод очистки | Аффинная хроматография с белком А и белком G |
| Состав буфера | 0.01M PBS, pH7.4, 0.05% Proclin-300, 50% глицерин |
| Условия доставки | термобокс с аккумуляторами холода |
| Условия хранения | Сразу после получения аликвотировать и хранить при -20ºС до 24 месяцев. Для частого использования хранить при +4ºС не более 2 недель. Избегать повторения циклов замерзания/оттаивания |
| Срок хранения | 24 месяца |
| Производитель | Cloud-Clone Corp. |
| Ссылка на страницу товара на сайте производителя | http://www.cloud-clone.com/products/MAA259Hu21.html |
|
Артикул
|
Наименование |
Производитель
|
|---|
|
Артикул
|
Наименование |
Производитель
|
|---|
|
Артикул
|
Наименование |
Производитель
|
|---|
|
Артикул
|
Наименование |
Производитель
|
|---|
|
Артикул
|
Наименование |
Производитель
|
|---|
|
Артикул
|
Наименование |
Производитель
|
|---|
|
Артикул
|
Наименование |
Производитель
|
|---|
|
Артикул
|
Наименование |
Производитель
|
|---|
|
Артикул
|
Наименование |
Производитель
|
|---|
Акции и предложения
Популярные продукты:
Anti-CADM1/SynCAM1 Polyclonal Antibody (PHN06201)
Источник (хозяин): кролик
Реактивность подтвержденная: человек, мышь
Валидировано для: ELISA, IF, IHC, WB
Реактивность подтвержденная: человек, мышь
Валидировано для: ELISA, IF, IHC, WB
Chicken AP 1 complex subunit sigma 2(AP1S2) ELISA kit (E12A1560)
Организм: курица
Human Anoctamin 3(ANO3) ELISA kit (E01A1529)
Организм: человек
Диапазон определения: 0.5-10 нг/мл
Чувствительность: 0.1 нг/мл
Диапазон определения: 0.5-10 нг/мл
Чувствительность: 0.1 нг/мл
Human Interleukin 10 ELISA kit (E01I0023)
Организм: человек
Диапазон определения: 50-1000 пг/мл
Чувствительность: 1 пг/мл
Диапазон определения: 50-1000 пг/мл
Чувствительность: 1 пг/мл
Recombinant Human CXCL12 Protein(GST Tag) (PDEH101107)
Источник (хозяин): E.coli
Организм: человек
Фрагмент: Lys22-Lys89
Теги: N-GST
Биоактивность: нет
Организм: человек
Фрагмент: Lys22-Lys89
Теги: N-GST
Биоактивность: нет
Anti-Human Abeta42/Beta-APP42 Antibody (21F12), PerCP (RHK08214)
Источник (хозяин): мышь
Реактивность подтвержденная: человек
Валидировано для: ELISA
Реактивность подтвержденная: человек
Валидировано для: ELISA

