| UNIPROT | P01008 |
| Иммуноген | RPC313Hu01-Recombinant Antithrombin (AT) |
Monoclonal Antibody to Antithrombin (AT) (MAC313Hu22)
Реактивность подтвержденная:
человек
Источник (хозяин):
мышь
Валидировано для:
IHC
WB
Характеристики
Публикации
Техническое описание
| Русское название | MAC313Hu22 Моноклональное антитело к антитромбину (человек) <Cloud-Clone,Китай> |
| Каталожный номер | MAC313Hu22 |
| Название антигена | Antithrombin (AT) |
| UNIPROT | P01008 |
| Иммуноген | RPC313Hu01-Recombinant Antithrombin (AT) |
| Английские синонимы | AT3, ATIII, SERPINC1, Anti-Thrombin Antibodies, Serpin Peptidase Inhibitor Clade C Member 1, Coding Sequence Signal Peptide Antithrombin Part 1 |
Реактивность подтвержденная Нужна другая реактивность? |
человек |
| Реактивность предсказываемая | крыса |
| Источник (хозяин) | мышь |
| Изотип | IgG2b Kappa |
| Клональность | моноклональное |
| Клон | C3 |
| Рекомбинантное | нет |
| Готовое к использованию | нет |
| Концентрация | 1 мг/мл |
| Конъюгат | По запросу: HRP, biotin, PerCP, PE, Cy3, FITC, Cy7, Cy5.5, PE-Cy5, PE-Cy7, PerCp-Cy5.5, APC, Cy5, PE-Cy3, PE-Cy5.5, APC-Cy7, Biotin-APC, FITC-Biotin, TRITC, APC-Cy5, AF488, AF594, AF405, AF555, AF700, AF647, AF750 |
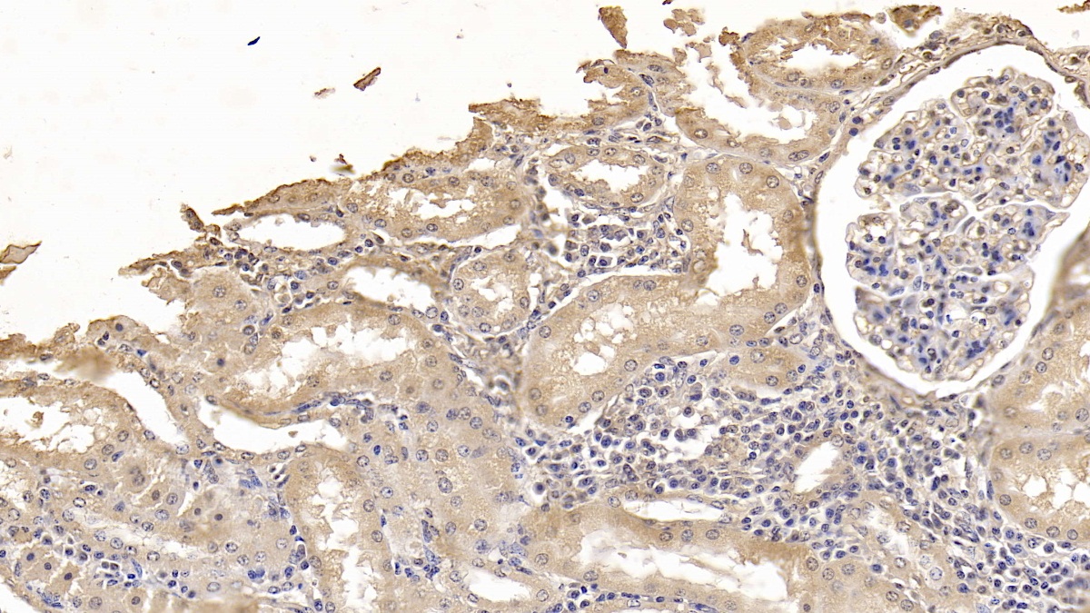
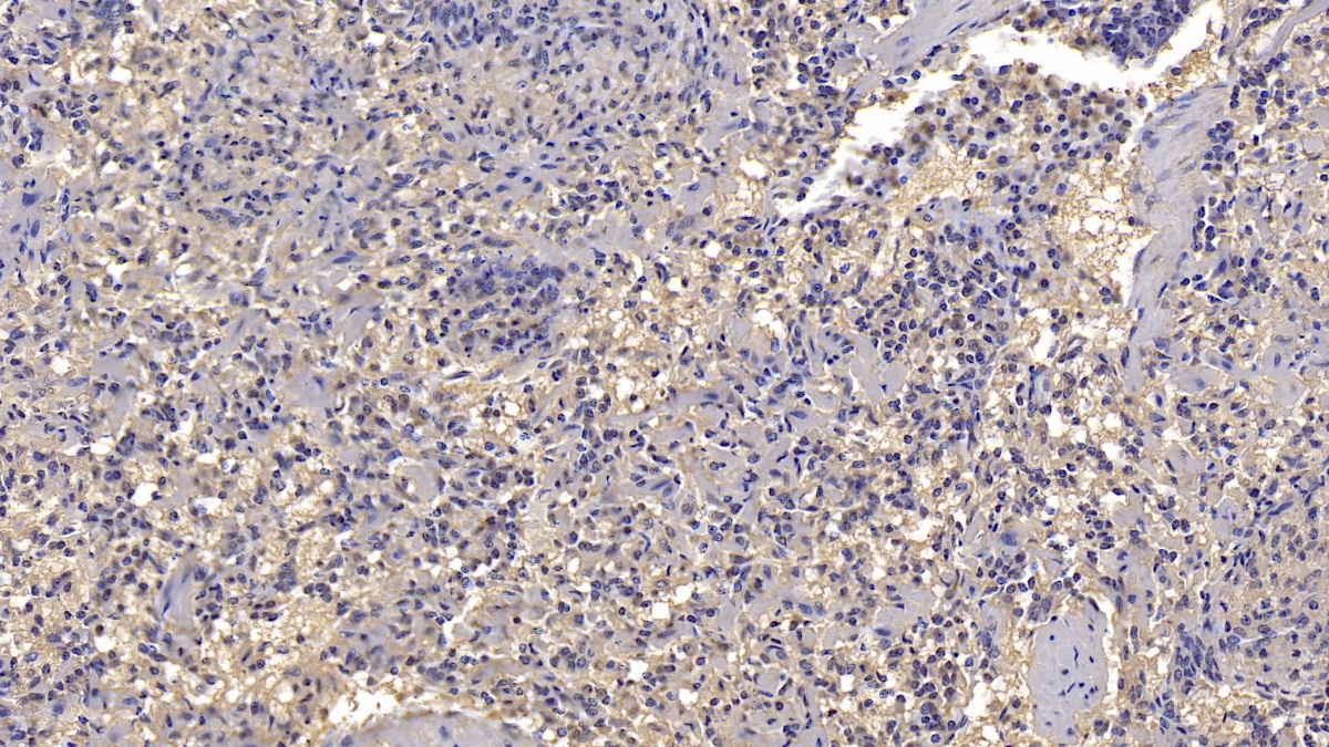
| Валидировано для | IHC WB Иммуногистохимия; Вестерн-блоттинг |
| Рекомендуемые разведения | WB: 0.01-3 мкг/мл; IHC: 5-30 мкг/мл; Оптимальное разведение определяется конечным потребителем |
| Метод очистки | Аффинная хроматография с белком А и белком G |
| Состав буфера | 0.01M PBS, pH7.4, 0.05% Proclin-300, 50% глицерин |
| Условия доставки | термобокс с аккумуляторами холода |
| Условия хранения | Сразу после получения аликвотировать и хранить при -20ºС до 24 месяцев. Для частого использования хранить при +4ºС не более 2 недель. Избегать повторения циклов замерзания/оттаивания |
| Срок хранения | 24 месяца |
| Производитель | Cloud-Clone Corp. |
| Ссылка на страницу товара на сайте производителя | http://www.cloud-clone.com/products/MAC313Hu22.html |
|
Артикул
|
Наименование |
Производитель
|
|---|
|
Артикул
|
Наименование |
Производитель
|
|---|
|
Артикул
|
Наименование |
Производитель
|
|---|
|
Артикул
|
Наименование |
Производитель
|
|---|
|
Артикул
|
Наименование |
Производитель
|
|---|
Акции и предложения
Популярные продукты:
Anti-Feline herpesvirus 1/FHV-1 Antibody (Fs0348) (RVV46301)
Источник (хозяин): кошка
Реактивность подтвержденная: вирусы
Валидировано для: ELISA, NEUT
Реактивность подтвержденная: вирусы
Валидировано для: ELISA, NEUT
Guinea Pig Calicin(CCIN) ELISA kit (E05C1437)
Организм: морская свинка
Human Conserved oligomeric Golgi complex subunit 7(COG7) ELISA kit (E01C1886)
Организм: человек
Диапазон определения: 0.5-10 нг/мл
Чувствительность: 0.1 нг/мл
Диапазон определения: 0.5-10 нг/мл
Чувствительность: 0.1 нг/мл
Human Calsequestrin 1(CASQ1) ELISA kit (E01C1394)
Организм: человек
Monkey A kinase (PRKA) anchor protein (gravin) 12 ELISA kit (E09A0772)
Организм: обезьяна

