| UNIPROT | P01008 |
| Иммуноген | RPC313Hu03-Recombinant Antithrombin (AT) |
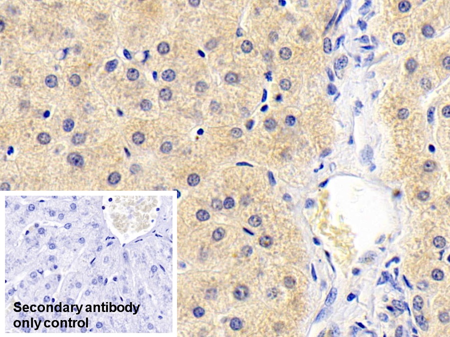
Monoclonal Antibody to Antithrombin (AT) (MAC313Hu25)
Реактивность подтвержденная:
человек
Источник (хозяин):
мышь
Валидировано для:
IHC
WB
Характеристики
Техническое описание
| Русское название | MAC313Hu25 Моноклональное антитело к антитромбину (человек) <Cloud-Clone,Китай> |
| Каталожный номер | MAC313Hu25 |
| Название антигена | Antithrombin (AT) |
| UNIPROT | P01008 |
| Иммуноген | RPC313Hu03-Recombinant Antithrombin (AT) |
| Английские синонимы | AT3, ATIII, SERPINC1, Anti-Thrombin Antibodies, Serpin Peptidase Inhibitor Clade C Member 1, Coding Sequence Signal Peptide Antithrombin Part 1 |
Реактивность подтвержденная Нужна другая реактивность? |
человек |
| Реактивность предсказываемая | крыса |
| Источник (хозяин) | мышь |
| Изотип | IgG1 Kappa |
| Клональность | моноклональное |
| Клон | H33 |
| Рекомбинантное | нет |
| Готовое к использованию | нет |
| Концентрация | 1 мг/мл |
| Конъюгат | По запросу: HRP, biotin, PerCP, PE, Cy3, FITC, Cy7, Cy5.5, PE-Cy5, PE-Cy7, PerCp-Cy5.5, APC, Cy5, PE-Cy3, PE-Cy5.5, APC-Cy7, Biotin-APC, FITC-Biotin, TRITC, APC-Cy5, AF488, AF594, AF405, AF555, AF700, AF647, AF750 |
| Валидировано для | IHC WB Иммуногистохимия; Вестерн-блоттинг |
| Рекомендуемые разведения | WB: 0.5-2 мкг/мл; IHC: 5-20 мкг/мл; ICC: 5-20 мкг/мл; Оптимальное разведение определяется конечным потребителем |
| Метод очистки | Аффинная хроматография с белком А и белком G |
| Состав буфера | 0.01M PBS, pH7.4, 0.05% Proclin-300, 50% глицерин |
| Условия доставки | термобокс с аккумуляторами холода |
| Условия хранения | Сразу после получения аликвотировать и хранить при -20ºС до 24 месяцев. Для частого использования хранить при +4ºС не более 2 недель. Избегать повторения циклов замерзания/оттаивания |
| Срок хранения | 24 месяца |
| Производитель | Cloud-Clone Corp. |
| Ссылка на страницу товара на сайте производителя | http://www.cloud-clone.com/products/MAC313Hu25.html |
|
Артикул
|
Наименование |
Производитель
|
|---|
|
Артикул
|
Наименование |
Производитель
|
|---|
|
Артикул
|
Наименование |
Производитель
|
|---|
|
Артикул
|
Наименование |
Производитель
|
|---|
|
Артикул
|
Наименование |
Производитель
|
|---|
Акции и предложения
Популярные продукты:
Rabbit Cholinergic Receptor, Muscarinic 2 ELISA kit (E04C0533)
Организм: кролик
Monoclonal Antibody to Antithrombin (AT) (MAC313Ra23)
Источник (хозяин): мышь
Реактивность подтвержденная: крыса
Валидировано для: WB
Реактивность подтвержденная: крыса
Валидировано для: WB
Human Peripherin ELISA kit (E01P1061)
Организм: человек
Guinea Pig Amyloid protein binding protein 2(APPBP2) ELISA kit (E05A1609)
Организм: морская свинка

