| UNIPROT | P02647 |
| Иммуноген | RPA519Hu01-Recombinant Apolipoprotein A1 (APOA1) |
Monoclonal Antibody to Apolipoprotein A1 (APOA1) (MAA519Hu21)
Реактивность подтвержденная:
человек
Источник (хозяин):
мышь
Валидировано для:
IHC
WB
Характеристики
Техническое описание
| Русское название | MAA519Hu21 Моноклональное антитело к APOA1 (человек) <Cloud-Clone,Китай> |
| Каталожный номер | MAA519Hu21 |
| Название антигена | Apolipoprotein A1 (APOA1) |
| UNIPROT | P02647 |
| Иммуноген | RPA519Hu01-Recombinant Apolipoprotein A1 (APOA1) |
| Английские синонимы | Apo-A1, ApoA-1 Milano, ProapoA-I, Proapolipoprotein A-I, Truncated apolipoprotein A-I |
| Русские синонимы | Аполипопротеин A1, АпоА-I |
Реактивность подтвержденная Нужна другая реактивность? |
человек |
| Источник (хозяин) | мышь |
| Изотип | IgG2b Kappa |
| Клональность | моноклональное |
| Клон | C13 |
| Рекомбинантное | нет |
| Готовое к использованию | нет |
| Концентрация | 0.85 мг/мл |
| Конъюгат | По запросу: HRP, biotin, PerCP, PE, Cy3, FITC, Cy7, Cy5.5, PE-Cy5, PE-Cy7, PerCp-Cy5.5, APC, Cy5, PE-Cy3, PE-Cy5.5, APC-Cy7, Biotin-APC, FITC-Biotin, TRITC, APC-Cy5, AF488, AF594, AF405, AF555, AF700, AF647, AF750 |
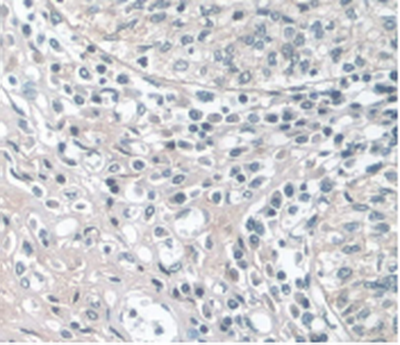
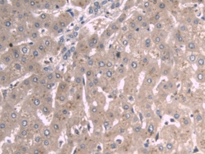
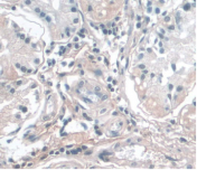
| Валидировано для | IHC WB Иммуногистохимия; Вестерн-блоттинг |
| Рекомендуемые разведения | WB: 0.01-2 мкг/мл; IHC: 5-30 мкг/мл; Оптимальное разведение определяется конечным потребителем |
| Метод очистки | Аффинная хроматография с белком А и белком G |
| Состав буфера | 0.01M PBS, pH7.4, 0.05% Proclin-300, 50% глицерин |
| Условия доставки | термобокс с аккумуляторами холода |
| Условия хранения | Сразу после получения аликвотировать и хранить при -20ºС до 24 месяцев. Для частого использования хранить при +4ºС не более 2 недель. Избегать повторения циклов замерзания/оттаивания |
| Срок хранения | 24 месяца |
| Производитель | Cloud-Clone Corp. |
| Ссылка на страницу товара на сайте производителя | http://www.cloud-clone.com/products/MAA519Hu21.html |
|
Артикул
|
Наименование |
Производитель
|
|---|
|
Артикул
|
Наименование |
Производитель
|
|---|
|
Артикул
|
Наименование |
Производитель
|
|---|
|
Артикул
|
Наименование |
Производитель
|
|---|
|
Артикул
|
Наименование |
Производитель
|
|---|
|
Артикул
|
Наименование |
Производитель
|
|---|
|
Артикул
|
Наименование |
Производитель
|
|---|
|
Артикул
|
Наименование |
Производитель
|
|---|
|
Артикул
|
Наименование |
Производитель
|
|---|
|
Артикул
|
Наименование |
Производитель
|
|---|
|
Артикул
|
Наименование |
Производитель
|
|---|
|
Артикул
|
Наименование |
Производитель
|
|---|
Акции и предложения
Популярные продукты:
Mouse Valine ELISA kit (E03V0100)
Организм: мышь
Guinea Pig Xeroderma Pigmentosum, Complementation Group F ELISA kit (E05X0006)
Организм: морская свинка
Chicken Toll Like Receptor4 ELISA kit (E12T0069)
Организм: курица
Диапазон определения: 0.5-10 нг/мл
Чувствительность: 0.1 нг/мл
Диапазон определения: 0.5-10 нг/мл
Чувствительность: 0.1 нг/мл
Recombinant Human SLC25A46 Protein, N-GST & C-His (YHK90001)
Источник (хозяин): E.coli
Организм: человек
Фрагмент: Glu335-Gly381
Теги: N-GST & C-His
Биоактивность: нет
Организм: человек
Фрагмент: Glu335-Gly381
Теги: N-GST & C-His
Биоактивность: нет
Recombinant Human FBN1 Protein, N-His (YHE12501)
Источник (хозяин): E.coli
Организм: человек
Фрагмент: Asn783-Lys850
Теги: N-His
Биоактивность: нет
Организм: человек
Фрагмент: Asn783-Lys850
Теги: N-His
Биоактивность: нет
Recombinant Human APOL1 Protein, N-His-KSI (YHA30402)
Источник (хозяин): E.coli
Организм: человек
Фрагмент: Glu28-Leu398
Теги: N-His-KSI
Биоактивность: нет
Организм: человек
Фрагмент: Glu28-Leu398
Теги: N-His-KSI
Биоактивность: нет

