| UNIPROT | P18648 |
| Иммуноген | RPA519Po01-Recombinant Apolipoprotein A1 (APOA1) |
Monoclonal Antibody to Apolipoprotein A1 (APOA1) (MAA519Po22)
Реактивность подтвержденная:
свинья
Источник (хозяин):
мышь
Валидировано для:
IHC
WB
Характеристики
Техническое описание
| Русское название | MAA519Po22 Моноклональное антитело к APOA1 (свинья) <Cloud-Clone,Китай> |
| Каталожный номер | MAA519Po22 |
| Название антигена | Apolipoprotein A1 (APOA1) |
| UNIPROT | P18648 |
| Иммуноген | RPA519Po01-Recombinant Apolipoprotein A1 (APOA1) |
| Английские синонимы | Apo-A1, ApoA-1 Milano, ProapoA-I, Proapolipoprotein A-I, Truncated apolipoprotein A-I |
| Русские синонимы | Аполипопротеин A1, АпоА-I |
Реактивность подтвержденная Нужна другая реактивность? |
свинья |
| Источник (хозяин) | мышь |
| Изотип | IgG2b Kappa |
| Клональность | моноклональное |
| Клон | C7 |
| Рекомбинантное | нет |
| Готовое к использованию | нет |
| Концентрация | 1 мг/мл |
| Конъюгат | По запросу: HRP, biotin, PerCP, PE, Cy3, FITC, Cy7, Cy5.5, PE-Cy5, PE-Cy7, PerCp-Cy5.5, APC, Cy5, PE-Cy3, PE-Cy5.5, APC-Cy7, Biotin-APC, FITC-Biotin, TRITC, APC-Cy5, AF488, AF594, AF405, AF555, AF700, AF647, AF750 |
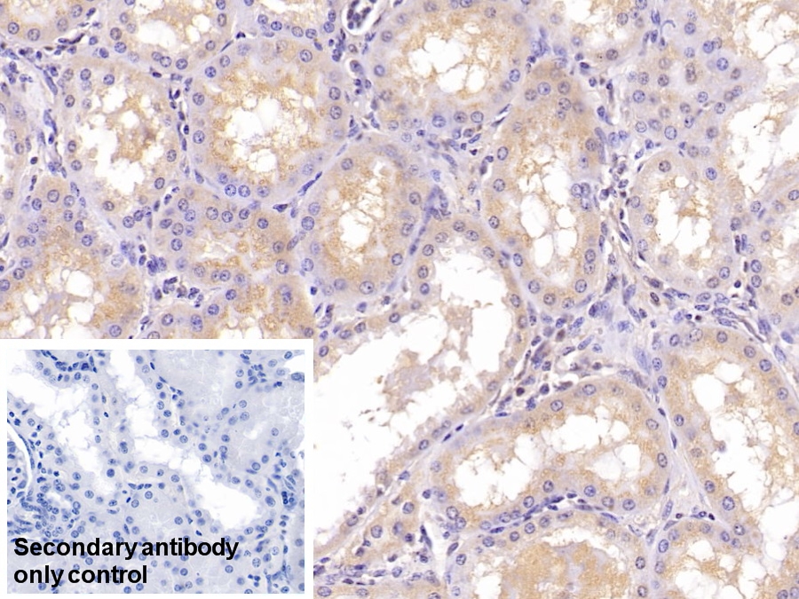
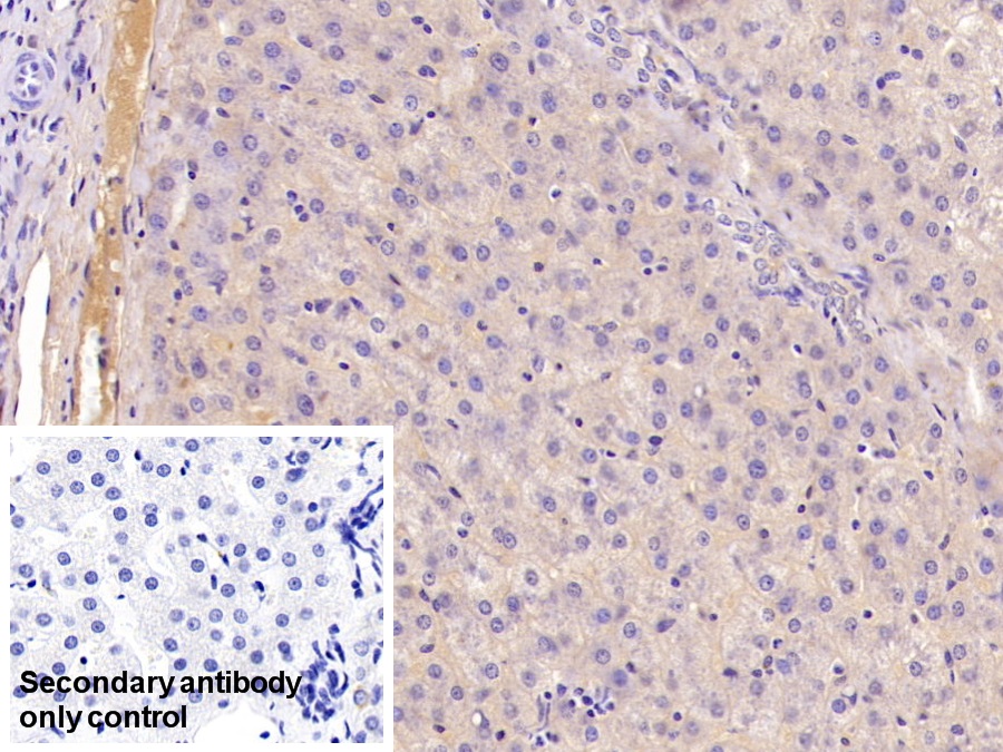
| Валидировано для | IHC WB Иммуногистохимия; Вестерн-блоттинг |
| Рекомендуемые разведения | WB: 0.02-5 мкг/мл; IHC: 5-50 мкг/мл; ICC: 5-50 мкг/мл; Оптимальное разведение определяется конечным потребителем |
| Метод очистки | Аффинная хроматография с белком А и белком G |
| Состав буфера | 0.01M PBS, pH7.4, 0.05% Proclin-300, 50% глицерин |
| Условия доставки | термобокс с аккумуляторами холода |
| Условия хранения | Сразу после получения аликвотировать и хранить при -20ºС до 24 месяцев. Для частого использования хранить при +4ºС не более 2 недель. Избегать повторения циклов замерзания/оттаивания |
| Срок хранения | 24 месяца |
| Производитель | Cloud-Clone Corp. |
| Ссылка на страницу товара на сайте производителя | http://www.cloud-clone.com/products/MAA519Po22.html |
|
Артикул
|
Наименование |
Производитель
|
|---|
|
Артикул
|
Наименование |
Производитель
|
|---|
|
Артикул
|
Наименование |
Производитель
|
|---|
|
Артикул
|
Наименование |
Производитель
|
|---|
|
Артикул
|
Наименование |
Производитель
|
|---|
|
Артикул
|
Наименование |
Производитель
|
|---|
|
Артикул
|
Наименование |
Производитель
|
|---|
|
Артикул
|
Наименование |
Производитель
|
|---|
|
Артикул
|
Наименование |
Производитель
|
|---|
|
Артикул
|
Наименование |
Производитель
|
|---|
|
Артикул
|
Наименование |
Производитель
|
|---|
|
Артикул
|
Наименование |
Производитель
|
|---|
Акции и предложения
Популярные продукты:
VCP Mouse Monoclonal Antibody (BF8562)
Источник (хозяин): мышь
Реактивность подтвержденная: человек, мышь, крыса
Валидировано для: WB
Реактивность подтвержденная: человек, мышь, крыса
Валидировано для: WB
Anti-Cytokeratin 7 (CK7) Polyclonal Antibody (FAA556Hu01)
Источник (хозяин): кролик
Реактивность подтвержденная: человек
Валидировано для: FCM
Реактивность подтвержденная: человек
Валидировано для: FCM
Sheep Epoxide hydrolase 1(EPHX1) ELISA kit (E14E0380)
Организм: овца
Guinea Pig Cell surface A33 antigen(GPA33) ELISA kit (E05C2297)
Организм: морская свинка
Canine Forkhead Box Protein P3 ELISA kit (E08F0119)
Организм: собака
Porcine C type mannose receptor 2(MRC2) ELISA kit (E07C2342)
Организм: свинья

