| UNIPROT | P34928 |
| Иммуноген | RPA252Mu01-Recombinant Apolipoprotein C1 (APOC1) |
Monoclonal Antibody to Apolipoprotein C1 (APOC1) (MAA252Mu21)
Реактивность подтвержденная:
мышь
Источник (хозяин):
мышь
Валидировано для:
IHC
Характеристики
Техническое описание
| Русское название | MAA252Mu21 Моноклональное антитело к APOC1 (мышь) <Cloud-Clone,Китай> |
| Каталожный номер | MAA252Mu21 |
| Название антигена | Apolipoprotein C1 (APOC1) |
| UNIPROT | P34928 |
| Иммуноген | RPA252Mu01-Recombinant Apolipoprotein C1 (APOC1) |
| Английские синонимы | Apo-C1, Truncated apolipoprotein C-I |
| Русские синонимы | АпоС-I, апоC1 |
Реактивность подтвержденная Нужна другая реактивность? |
мышь |
| Источник (хозяин) | мышь |
| Изотип | IgG2a Kappa |
| Клональность | моноклональное |
| Клон | C3 |
| Рекомбинантное | нет |
| Готовое к использованию | нет |
| Концентрация | 1 мг/мл |
| Конъюгат | По запросу: HRP, biotin, PerCP, PE, Cy3, FITC, Cy7, Cy5.5, PE-Cy5, PE-Cy7, PerCp-Cy5.5, APC, Cy5, PE-Cy3, PE-Cy5.5, APC-Cy7, Biotin-APC, FITC-Biotin, TRITC, APC-Cy5, AF488, AF594, AF405, AF555, AF700, AF647, AF750 |
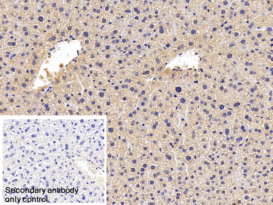
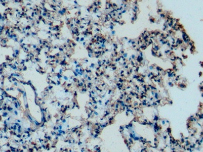
| Валидировано для | IHC Иммуногистохимия |
| Рекомендуемые разведения | WB: 0.01-2 мкг/мл; IHC: 5-20 мкг/мл; ICC: 5-20 мкг/мл; Оптимальное разведение определяется конечным потребителем |
| Метод очистки | Аффинная хроматография с белком А и белком G |
| Состав буфера | 0.01M PBS, pH7.4, 0.05% Proclin-300, 50% глицерин |
| Условия доставки | термобокс с аккумуляторами холода |
| Условия хранения | Сразу после получения аликвотировать и хранить при -20ºС до 24 месяцев. Для частого использования хранить при +4ºС не более 2 недель. Избегать повторения циклов замерзания/оттаивания |
| Срок хранения | 24 месяца |
| Производитель | Cloud-Clone Corp. |
| Ссылка на страницу товара на сайте производителя | http://www.cloud-clone.com/products/MAA252Mu21.html |
|
Артикул
|
Наименование |
Производитель
|
|---|
|
Артикул
|
Наименование |
Производитель
|
|---|
|
Артикул
|
Наименование |
Производитель
|
|---|
|
Артикул
|
Наименование |
Производитель
|
|---|
|
Артикул
|
Наименование |
Производитель
|
|---|
|
Артикул
|
Наименование |
Производитель
|
|---|
|
Артикул
|
Наименование |
Производитель
|
|---|
Акции и предложения
Популярные продукты:
Dupilumab ELISA Kit-SS (KDD62603)
Организм: человек
Диапазон определения: 78.13 - 5,000 пг/мл
Чувствительность: 28.01 пг/мл
Диапазон определения: 78.13 - 5,000 пг/мл
Чувствительность: 28.01 пг/мл
ELISA Kit DIY Materials for Microphthalmia Associated Transcription Factor (MITF) (KSH645Hu01)
Организм: человек
Диапазон определения: 0.156-10 нг/мл
Чувствительность: 0.063 нг/мл
Диапазон определения: 0.156-10 нг/мл
Чувствительность: 0.063 нг/мл
Human Coactosin like protein(COTL1) ELISA kit (E01C1959)
Организм: человек
Mouse Cystatin SN(CST1) ELISA kit (E03C2119)
Организм: мышь
Rabbit Mesothelin ELISA kit (E04M0519)
Организм: кролик
Chicken Osteocrin ELISA kit (E12O0021)
Организм: курица

