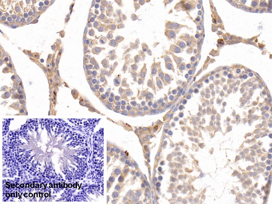
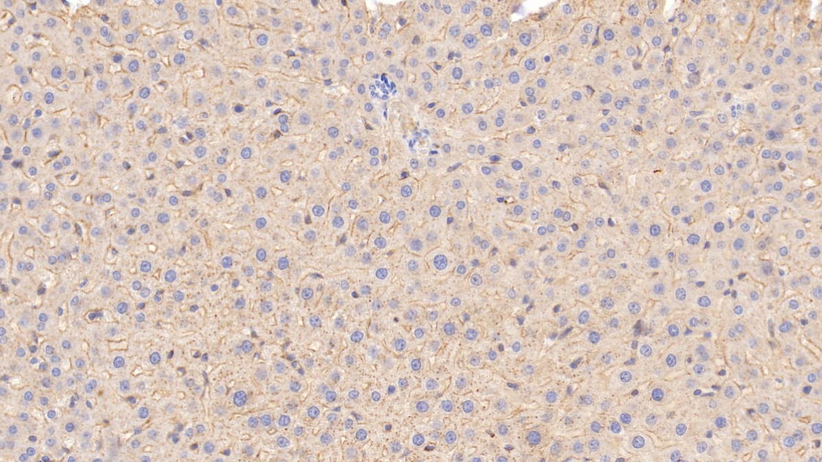
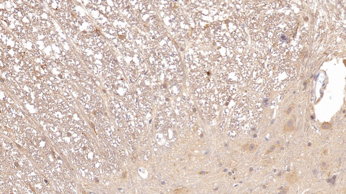
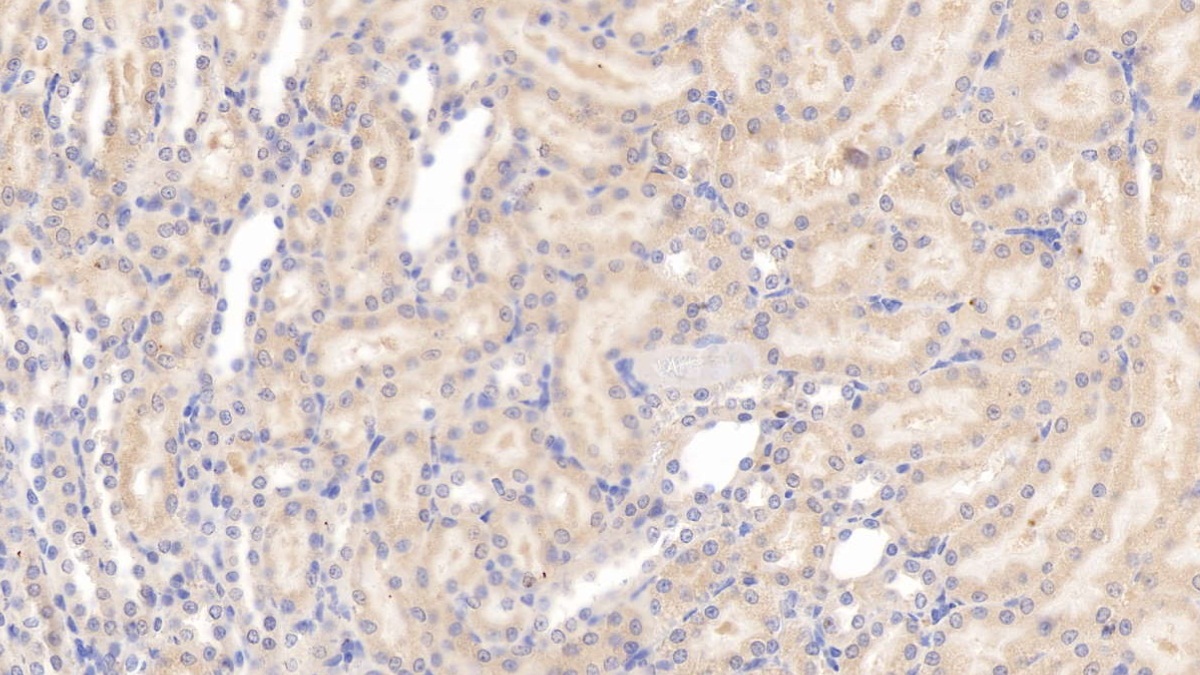
Назначение
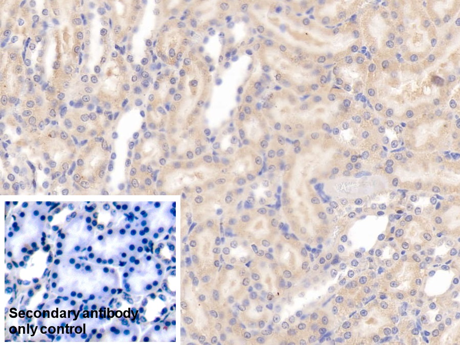
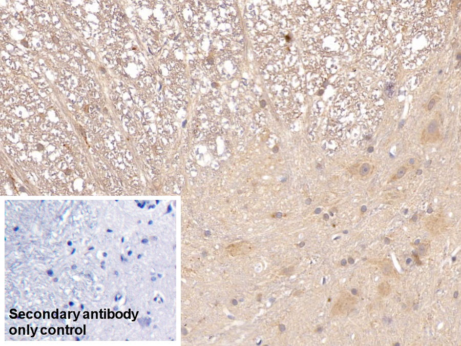
моноклональное антитело от производителя Cloud-Clone Corp. к Apolipoprotein E (APOE) источник — мышь предназначено для детекции целевого антигена в биологических образцах. Продукт характеризуется подтвержденной реактивностью к крыса.
Преимущества
- Высокая специфичность и аффинность
- Концентрация: 1 мг/мл
- Оптимизированный состав буфера: PBS, pH7.4, 0.02% NaN3, 50% глицерин
- Стабильность: 24 месяца
Применение в исследованиях
Условия хранения
Срок годности: 24 месяца. Сразу после получения аликвотировать и хранить при -20ºС до 24 месяцев. Для частого использования хранить при +4ºС не более 2 недель. Избегать повторения циклов замерзания/оттаивания. Рекомендуется соблюдать температурный режим при транспортировке и хранении.

