| UNIPROT | P54136 |
| Иммуноген | RPC997Hu01-Recombinant Arginyl tRNA Synthetase (RARS) |
Monoclonal Antibody to Arginyl tRNA Synthetase (RARS) (MAC997Hu21)
Реактивность подтвержденная:
человек
Источник (хозяин):
мышь
Валидировано для:
IHC
WB
Характеристики
Техническое описание
| Русское название | MAC997Hu21 Моноклональное антитело к RARS (человек) <Cloud-Clone,Китай> |
| Каталожный номер | MAC997Hu21 |
| Название антигена | Arginyl tRNA Synthetase (RARS) |
| UNIPROT | P54136 |
| Иммуноген | RPC997Hu01-Recombinant Arginyl tRNA Synthetase (RARS) |
| Английские синонимы | ArgRS, DALRD1, Arginine tRNA Ligase 1,Cytoplasmic |
Реактивность подтвержденная Нужна другая реактивность? |
человек |
| Реактивность предсказываемая | свинья |
| Источник (хозяин) | мышь |
| Изотип | IgG1 Kappa |
| Клональность | моноклональное |
| Клон | C8 |
| Рекомбинантное | нет |
| Готовое к использованию | нет |
| Концентрация | 1 мг/мл |
| Конъюгат | По запросу: HRP, biotin, PerCP, PE, Cy3, FITC, Cy7, Cy5.5, PE-Cy5, PE-Cy7, PerCp-Cy5.5, APC, Cy5, PE-Cy3, PE-Cy5.5, APC-Cy7, Biotin-APC, FITC-Biotin, TRITC, APC-Cy5, AF488, AF594, AF405, AF555, AF700, AF647, AF750 |
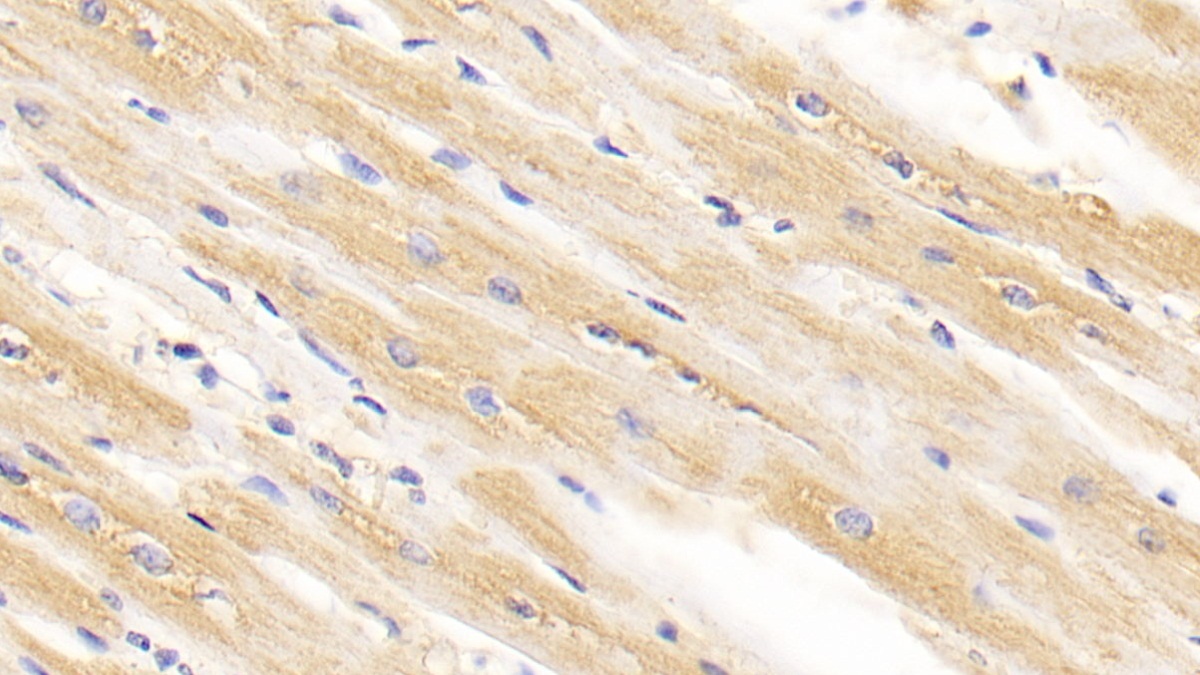
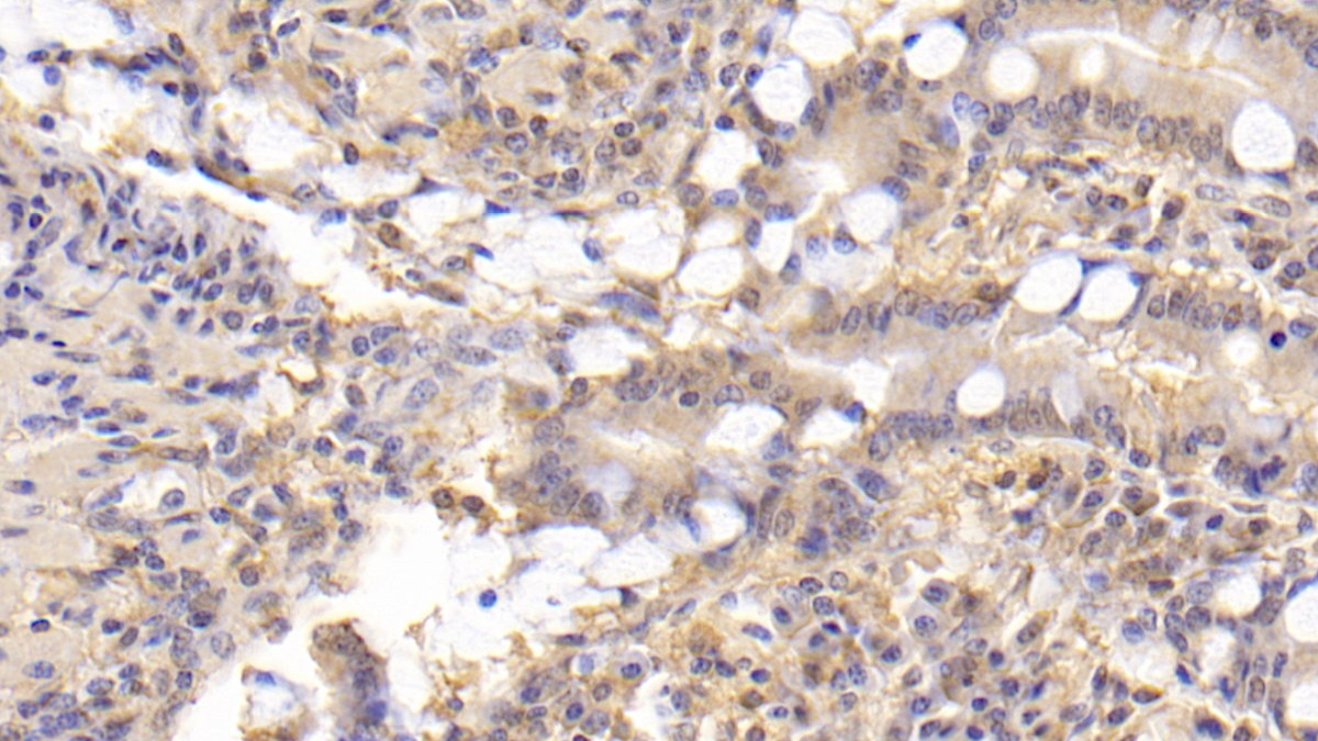
| Валидировано для | IHC WB Иммуногистохимия; Вестерн-блоттинг |
| Рекомендуемые разведения | WB: 0.5-2 мкг/мл; IHC: 5-20 мкг/мл; ICC: 5-20 мкг/мл; Оптимальное разведение определяется конечным потребителем |
| Метод очистки | Аффинная хроматография с белком А и белком G |
| Состав буфера | 0.01M PBS, pH7.4, 0.05% Proclin-300, 50% глицерин |
| Условия доставки | термобокс с аккумуляторами холода |
| Условия хранения | Сразу после получения аликвотировать и хранить при -20ºС до 24 месяцев. Для частого использования хранить при +4ºС не более 2 недель. Избегать повторения циклов замерзания/оттаивания |
| Срок хранения | 24 месяца |
| Производитель | Cloud-Clone Corp. |
| Ссылка на страницу товара на сайте производителя | http://www.cloud-clone.com/products/MAC997Hu21.html |
|
Артикул
|
Наименование |
Производитель
|
|---|
|
Артикул
|
Наименование |
Производитель
|
|---|
Акции и предложения
Популярные продукты:
Medroxyprogesterone/MP ELISA Kit (KSK61601)
Организм: для всех
Диапазон определения: 1.56 - 100 нг/мл
Чувствительность: 0.5 нг/мл
Диапазон определения: 1.56 - 100 нг/мл
Чувствительность: 0.5 нг/мл
Monoclonal Antibody to Ephrin A3 (EFNA3) (MAE109Hu23)
Источник (хозяин): мышь
Реактивность подтвержденная: человек
Валидировано для: WB
Реактивность подтвержденная: человек
Валидировано для: WB
Monoclonal Antibody to Ki-67 Protein (Ki-67) (MAC047Hu26)
Источник (хозяин): мышь
Реактивность подтвержденная: человек
Валидировано для: WB
Реактивность подтвержденная: человек
Валидировано для: WB
Monoclonal Antibody to Transferrin (TF) (MAC036Po23)
Источник (хозяин): мышь
Реактивность подтвержденная: свинья
Валидировано для: IHC, WB
Реактивность подтвержденная: свинья
Валидировано для: IHC, WB
CLIA Kit for Cathepsin K (CTSK) (SCA267Mu)
Организм: мышь
Диапазон определения: 5.49-4,000 пг/мл
Чувствительность: 0.53 мкг/мл
Диапазон определения: 5.49-4,000 пг/мл
Чувствительность: 0.53 мкг/мл

