| UNIPROT | P54136 |
| Иммуноген | RPC997Hu01-Recombinant Arginyl tRNA Synthetase (RARS) |
Monoclonal Antibody to Arginyl tRNA Synthetase (RARS) (MAC997Hu25)
Реактивность подтвержденная:
человек
Источник (хозяин):
мышь
Валидировано для:
IHC
Характеристики
Техническое описание
| Русское название | MAC997Hu25 Моноклональное антитело к RARS (человек) <Cloud-Clone,Китай> |
| Каталожный номер | MAC997Hu25 |
| Название антигена | Arginyl tRNA Synthetase (RARS) |
| UNIPROT | P54136 |
| Иммуноген | RPC997Hu01-Recombinant Arginyl tRNA Synthetase (RARS) |
| Английские синонимы | ArgRS, DALRD1, Arginine tRNA Ligase 1,Cytoplasmic |
Реактивность подтвержденная Нужна другая реактивность? |
человек |
| Реактивность предсказываемая | свинья |
| Источник (хозяин) | мышь |
| Изотип | IgG1 Kappa |
| Клональность | моноклональное |
| Клон | D5 |
| Рекомбинантное | нет |
| Готовое к использованию | нет |
| Концентрация | 1 мг/мл |
| Конъюгат | По запросу: HRP, biotin, PerCP, PE, Cy3, FITC, Cy7, Cy5.5, PE-Cy5, PE-Cy7, PerCp-Cy5.5, APC, Cy5, PE-Cy3, PE-Cy5.5, APC-Cy7, Biotin-APC, FITC-Biotin, TRITC, APC-Cy5, AF488, AF594, AF405, AF555, AF700, AF647, AF750 |
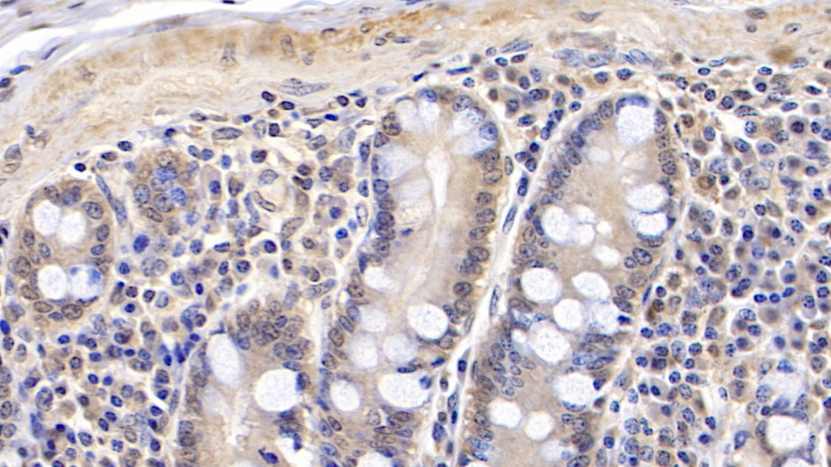
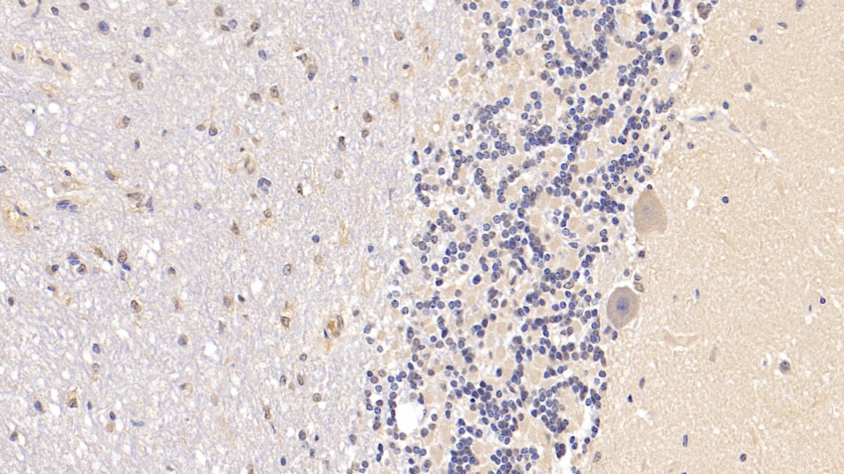
| Валидировано для | IHC Иммуногистохимия |
| Рекомендуемые разведения | WB: 0.5-2 мкг/мл; IHC: 5-20 мкг/мл; ICC: 5-20 мкг/мл; Оптимальное разведение определяется конечным потребителем |
| Метод очистки | Аффинная хроматография с белком А и белком G |
| Состав буфера | 0.01M PBS, pH7.4, 0.05% Proclin-300, 50% глицерин |
| Условия доставки | термобокс с аккумуляторами холода |
| Условия хранения | Сразу после получения аликвотировать и хранить при -20ºС до 24 месяцев. Для частого использования хранить при +4ºС не более 2 недель. Избегать повторения циклов замерзания/оттаивания |
| Срок хранения | 24 месяца |
| Производитель | Cloud-Clone Corp. |
| Ссылка на страницу товара на сайте производителя | http://www.cloud-clone.com/products/MAC997Hu25.html |
|
Артикул
|
Наименование |
Производитель
|
|---|
|
Артикул
|
Наименование |
Производитель
|
|---|
Акции и предложения
Популярные продукты:
Anti-Arginyl tRNA Synthetase (RARS) Monoclonal Antibody (FAC997Hu02)
Источник (хозяин): мышь
Реактивность подтвержденная: человек
Валидировано для: FCM
Реактивность подтвержденная: человек
Валидировано для: FCM
Canine Tubulin, gamma 1 ELISA kit (E08T0948)
Организм: собака
Porcine Cytoglobin(CYGB) ELISA kit (E07C2218)
Организм: свинья
Anti-RABV G/Glycoprotein Antibody (RVC58) (RVV03906)
Источник (хозяин): человек
Реактивность подтвержденная: вирусы
Валидировано для: FCM
Реактивность подтвержденная: вирусы
Валидировано для: FCM
Recombinant Human TACR3 Protein, N-His-KSI (YHD83001)
Источник (хозяин): E.coli
Организм: человек
Фрагмент: Ala2-Arg84
Теги: N-His-KSI
Биоактивность: нет
Организм: человек
Фрагмент: Ala2-Arg84
Теги: N-His-KSI
Биоактивность: нет
RGS2 Polyclonal Antibody (E-AB-10580)
Источник (хозяин): кролик
Реактивность подтвержденная: человек, мышь, крыса
Валидировано для: IHC
Реактивность подтвержденная: человек, мышь, крыса
Валидировано для: IHC

