| UNIPROT | P05201 |
| Иммуноген | RPB214Mu01-Recombinant Aspartate Aminotransferase (AST) |
Monoclonal Antibody to Aspartate Aminotransferase (AST) (MAB214Mu21)
Реактивность подтвержденная:
мышь
Источник (хозяин):
мышь
Валидировано для:
IHC
WB
Характеристики
Техническое описание
| Русское название | MAB214Mu21 Моноклональное антитело к AST (мышь) <Cloud-Clone,Китай> |
| Каталожный номер | MAB214Mu21 |
| Название антигена | Aspartate Aminotransferase (AST) |
| UNIPROT | P05201 |
| Иммуноген | RPB214Mu01-Recombinant Aspartate Aminotransferase (AST) |
| Английские синонимы | cCAT, AAT, ASAT, SGOT, GOT1, Cysteine transaminase, cytoplasmic, Transaminase A, Aspartate Transaminase 1,Cytoplasmic, Glutamic-Oxaloacetic Transaminase 1,Soluble |
| Русские синонимы | АСТ, АсАт, глутамат оксалоацетат трансаминаза |
Реактивность подтвержденная Нужна другая реактивность? |
мышь |
| Реактивность предсказываемая | человек, крыса |
| Источник (хозяин) | мышь |
| Изотип | IgG1 Kappa |
| Клональность | моноклональное |
| Клон | C5 |
| Рекомбинантное | нет |
| Готовое к использованию | нет |
| Концентрация | 1 мг/мл |
| Конъюгат | По запросу: HRP, biotin, PerCP, PE, Cy3, FITC, Cy7, Cy5.5, PE-Cy5, PE-Cy7, PerCp-Cy5.5, APC, Cy5, PE-Cy3, PE-Cy5.5, APC-Cy7, Biotin-APC, FITC-Biotin, TRITC, APC-Cy5, AF488, AF594, AF405, AF555, AF700, AF647, AF750 |
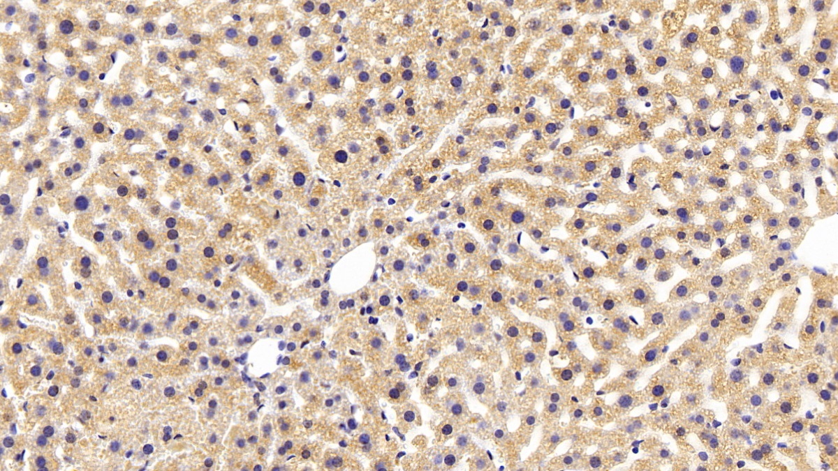
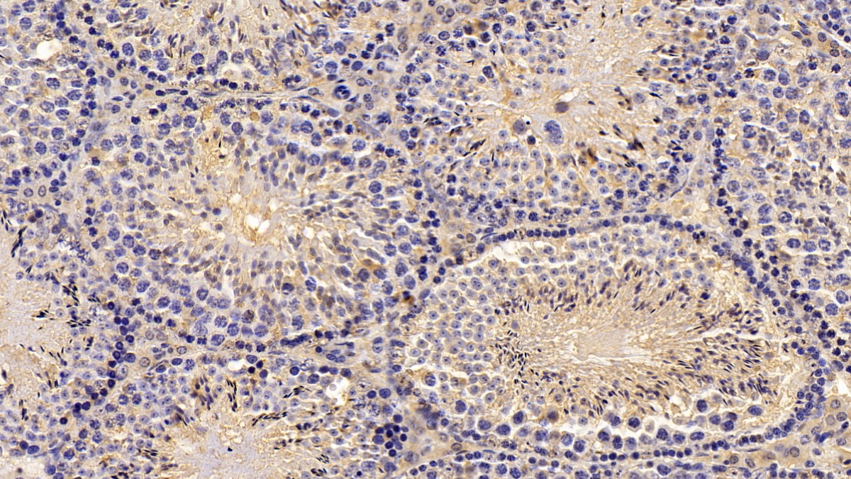
| Валидировано для | IHC WB Иммуногистохимия; Вестерн-блоттинг |
| Рекомендуемые разведения | WB: 0.5-2 мкг/мл; 1:500-2000; IHC: 5-20 мкг/мл; 1:50-200; ICC: 5-20 мкг/мл; 1:50-200; Оптимальное разведение определяется конечным потребителем |
| Метод очистки | Аффинная хроматография с белком А и белком G |
| Состав буфера | 0.01M PBS, pH7.4, 0.05% Proclin-300, 50% глицерин |
| Условия доставки | термобокс с аккумуляторами холода |
| Условия хранения | Сразу после получения аликвотировать и хранить при -20ºС до 24 месяцев. Для частого использования хранить при +4ºС не более 2 недель. Избегать повторения циклов замерзания/оттаивания |
| Срок хранения | 24 месяца |
| Производитель | Cloud-Clone Corp. |
| Ссылка на страницу товара на сайте производителя | http://www.cloud-clone.com/products/MAB214Mu21.html |
|
Артикул
|
Наименование |
Производитель
|
|---|
|
Артикул
|
Наименование |
Производитель
|
|---|
|
Артикул
|
Наименование |
Производитель
|
|---|
|
Артикул
|
Наименование |
Производитель
|
|---|
|
Артикул
|
Наименование |
Производитель
|
|---|
|
Артикул
|
Наименование |
Производитель
|
|---|
Акции и предложения
Популярные продукты:
SLC39A12 Mouse Monoclonal Antibody (BF8663)
Источник (хозяин): мышь
Реактивность подтвержденная: человек, мышь, крыса
Валидировано для: WB
Реактивность подтвержденная: человек, мышь, крыса
Валидировано для: WB
EDG3 Mouse Monoclonal Antibody (BF9364)
Источник (хозяин): мышь
Реактивность подтвержденная: человек, мышь
Валидировано для: WB
Реактивность подтвержденная: человек, мышь
Валидировано для: WB
Rabbit Neuropeptide Y receptor type 5(NPY5R) ELISA kit (E04N0561)
Организм: кролик
Human Adenylate kinase isoenzyme 1(AK1) ELISA kit (E01A1347)
Организм: человек
Диапазон определения: 5-100 м Ед/мл
Чувствительность: 1 м Ед/мл
Диапазон определения: 5-100 м Ед/мл
Чувствительность: 1 м Ед/мл
Mouse Triphosphopyridine nucleotide ELISA kit (E03T0049)
Организм: мышь
Mouse Very Low Density Lipoproteins ELISA kit (E03V0006)
Организм: мышь
Диапазон определения: 25-500 нг/мл
Чувствительность: 1 нг/мл
Диапазон определения: 25-500 нг/мл
Чувствительность: 1 нг/мл

