| UNIPROT | P61769 |
| Иммуноген | RPA260Hu01-Recombinant Beta-2-Microglobulin (b2M) |
Monoclonal Antibody to Beta-2-Microglobulin (b2M) (MAA260Hu21)
Реактивность подтвержденная:
человек
Источник (хозяин):
мышь
Валидировано для:
FCM
IHC
WB
Характеристики
Техническое описание
| Русское название | MAA260Hu21 Моноклональное антитело к b2M (человек) <Cloud-Clone,Китай> |
| Каталожный номер | MAA260Hu21 |
| Название антигена | Beta-2-Microglobulin (b2M) |
| UNIPROT | P61769 |
| Иммуноген | RPA260Hu01-Recombinant Beta-2-Microglobulin (b2M) |
| Английские синонимы | BMG, B2MG, beta2-microglobulin |
Реактивность подтвержденная Нужна другая реактивность? |
человек |
| Реактивность предсказываемая | свинья |
| Источник (хозяин) | мышь |
| Изотип | IgG2a Kappa |
| Клональность | моноклональное |
| Клон | C1 |
| Рекомбинантное | нет |
| Готовое к использованию | нет |
| Концентрация | 1 мг/мл |
| Конъюгат | По запросу: HRP, biotin, PerCP, PE, Cy3, FITC, Cy7, Cy5.5, PE-Cy5, PE-Cy7, PerCp-Cy5.5, APC, Cy5, PE-Cy3, PE-Cy5.5, APC-Cy7, Biotin-APC, FITC-Biotin, TRITC, APC-Cy5, AF488, AF594, AF405, AF555, AF700, AF647, AF750 |
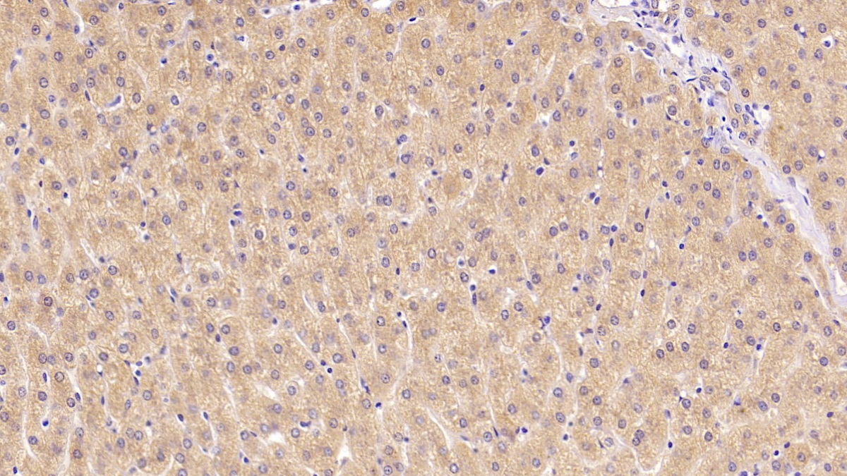
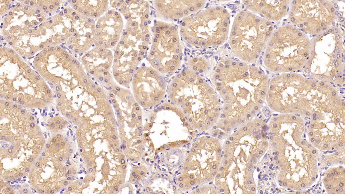
| Валидировано для | FCM IHC WB Проточная цитометрия; Иммуногистохимия; Вестерн-блоттинг |
| Рекомендуемые разведения | WB: 0.01-2 мкг/мл; IHC: 5-40 мкг/мл; FCM: 10 мкг/мл; Оптимальное разведение определяется конечным потребителем |
| Метод очистки | Аффинная хроматография с белком А и белком G |
| Состав буфера | PBS, pH7.4, 0.02% NaN3, 50% глицерин |
| Условия доставки | термобокс с аккумуляторами холода |
| Условия хранения | Сразу после получения аликвотировать и хранить при -20ºС до 24 месяцев. Для частого использования хранить при +4ºС не более 2 недель. Избегать повторения циклов замерзания/оттаивания |
| Срок хранения | 24 месяца |
| Производитель | Cloud-Clone Corp. |
| Ссылка на страницу товара на сайте производителя | http://www.cloud-clone.com/products/MAA260Hu21.html |
|
Артикул
|
Наименование |
Производитель
|
|---|
|
Артикул
|
Наименование |
Производитель
|
|---|
|
Артикул
|
Наименование |
Производитель
|
|---|
|
Артикул
|
Наименование |
Производитель
|
|---|
|
Артикул
|
Наименование |
Производитель
|
|---|
|
Артикул
|
Наименование |
Производитель
|
|---|
|
Артикул
|
Наименование |
Производитель
|
|---|
Акции и предложения
Популярные продукты:
Human Peroxiredoxin 3 ELISA kit (E01P1251)
Организм: человек
Bovine 5-hydroxytryptamine receptor 6 ELISA Kit (E11H1453)
Организм: корова
Chicken Glypican 6 ELISA kit (E12G0668)
Организм: курица
Sheep High Density Lipoprotein ELISA kit (E14H0211)
Организм: овца
Rabbit Ceruloplasmin ELISA kit (E04C0090)
Организм: кролик
Bovine Apolipoprotein A2 ELISA kit (E11A0510)
Организм: корова
Диапазон определения: 10-250 мг/л
Чувствительность: 1 мг/л
Диапазон определения: 10-250 мг/л
Чувствительность: 1 мг/л

