| UNIPROT | P01887 |
| Иммуноген | RPA260Mu01-Recombinant Beta-2-Microglobulin (b2M) |
Monoclonal Antibody to Beta-2-Microglobulin (b2M) (MAA260Mu21)
Реактивность подтвержденная:
мышь
Источник (хозяин):
мышь
Валидировано для:
IHC
WB
Характеристики
Техническое описание
| Русское название | MAA260Mu21 Моноклональное антитело к b2M (мышь) <Cloud-Clone,Китай> |
| Каталожный номер | MAA260Mu21 |
| Название антигена | Beta-2-Microglobulin (b2M) |
| UNIPROT | P01887 |
| Иммуноген | RPA260Mu01-Recombinant Beta-2-Microglobulin (b2M) |
| Английские синонимы | BMG, B2MG, beta2-microglobulin |
Реактивность подтвержденная Нужна другая реактивность? |
мышь |
| Реактивность предсказываемая | человек, крыса |
| Источник (хозяин) | мышь |
| Изотип | IgG1 Lambda |
| Клональность | моноклональное |
| Клон | A2 |
| Рекомбинантное | нет |
| Готовое к использованию | нет |
| Концентрация | 1 мг/мл |
| Конъюгат | По запросу: HRP, biotin, PerCP, PE, Cy3, FITC, Cy7, Cy5.5, PE-Cy5, PE-Cy7, PerCp-Cy5.5, APC, Cy5, PE-Cy3, PE-Cy5.5, APC-Cy7, Biotin-APC, FITC-Biotin, TRITC, APC-Cy5, AF488, AF594, AF405, AF555, AF700, AF647, AF750 |
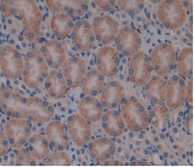
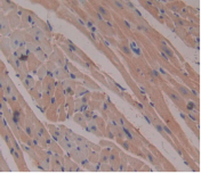
| Валидировано для | IHC WB Иммуногистохимия; Вестерн-блоттинг |
| Рекомендуемые разведения | WB: 0.01-2 мкг/мл; IHC: 5-30 мкг/мл; ICC: 5-20 мкг/мл; Оптимальное разведение определяется конечным потребителем |
| Метод очистки | Аффинная хроматография с белком А и белком G |
| Состав буфера | 0.01M PBS, pH7.4, 0.05% Proclin-300, 50% глицерин |
| Условия доставки | термобокс с аккумуляторами холода |
| Условия хранения | Сразу после получения аликвотировать и хранить при -20ºС до 24 месяцев. Для частого использования хранить при +4ºС не более 2 недель. Избегать повторения циклов замерзания/оттаивания |
| Срок хранения | 24 месяца |
| Производитель | Cloud-Clone Corp. |
| Ссылка на страницу товара на сайте производителя | http://www.cloud-clone.com/products/MAA260Mu21.html |
|
Артикул
|
Наименование |
Производитель
|
|---|
|
Артикул
|
Наименование |
Производитель
|
|---|
|
Артикул
|
Наименование |
Производитель
|
|---|
|
Артикул
|
Наименование |
Производитель
|
|---|
|
Артикул
|
Наименование |
Производитель
|
|---|
|
Артикул
|
Наименование |
Производитель
|
|---|
|
Артикул
|
Наименование |
Производитель
|
|---|
Акции и предложения
Популярные продукты:
ELISA Kit for Protein Kinase, cAMP Dependent Catalytic Alpha (PRKACa) (SEM062Hu)
Организм: человек
Диапазон определения: 0.156-10 нг/мл
Чувствительность: 0.113 нг/мл
Диапазон определения: 0.156-10 нг/мл
Чувствительность: 0.113 нг/мл
Anti-Human PMEL17/ME20M Antibody (SAb2277) (RHE28704)
Источник (хозяин): мышь
Реактивность подтвержденная: человек
Валидировано для: ELISA, FCM
Реактивность подтвержденная: человек
Валидировано для: ELISA, FCM
ELISA Kit DIY Materials for Dystrophin Associated Glycoprotein 1 (DAG1) (KSC448Mu01)
Организм: мышь
Диапазон определения: 0.156-10 нг/мл
Чувствительность: 0.057 нг/мл
Диапазон определения: 0.156-10 нг/мл
Чувствительность: 0.057 нг/мл
Sheep Calreticulin 3(CALR3) ELISA kit (E14C1330)
Организм: овца

