| UNIPROT | P27824 |
| Иммуноген | RPA280Hu01-Recombinant Calnexin (CNX) |
Monoclonal Antibody to Calnexin (CNX) (MAA280Hu24)
Реактивность подтвержденная:
человек
Источник (хозяин):
мышь
Валидировано для:
IHC
WB
Характеристики
Техническое описание
| Русское название | MAA280Hu24 Моноклональное антитело к CNX (человек) <Cloud-Clone,Китай> |
| Каталожный номер | MAA280Hu24 |
| Название антигена | Calnexin (CNX) |
| UNIPROT | P27824 |
| Иммуноген | RPA280Hu01-Recombinant Calnexin (CNX) |
| Английские синонимы | CANX, CNX, IP90, P90, Major Histocompatibility Complex Class I Antigen-Binding Protein p88 |
Реактивность подтвержденная Нужна другая реактивность? |
человек |
| Реактивность предсказываемая | свинья |
| Источник (хозяин) | мышь |
| Изотип | IgG2b Kappa |
| Клональность | моноклональное |
| Клон | C804 |
| Рекомбинантное | нет |
| Готовое к использованию | нет |
| Концентрация | 1 мг/мл |
| Конъюгат | По запросу: HRP, biotin, PerCP, PE, Cy3, FITC, Cy7, Cy5.5, PE-Cy5, PE-Cy7, PerCp-Cy5.5, APC, Cy5, PE-Cy3, PE-Cy5.5, APC-Cy7, Biotin-APC, FITC-Biotin, TRITC, APC-Cy5, AF488, AF594, AF405, AF555, AF700, AF647, AF750 |
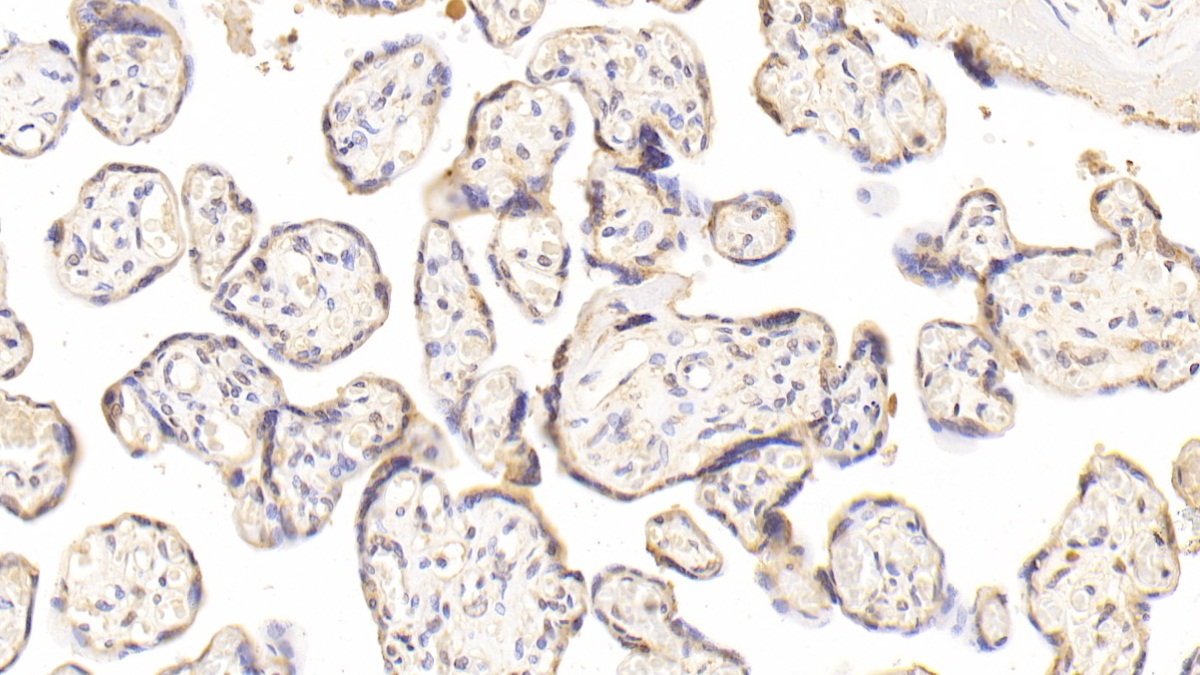
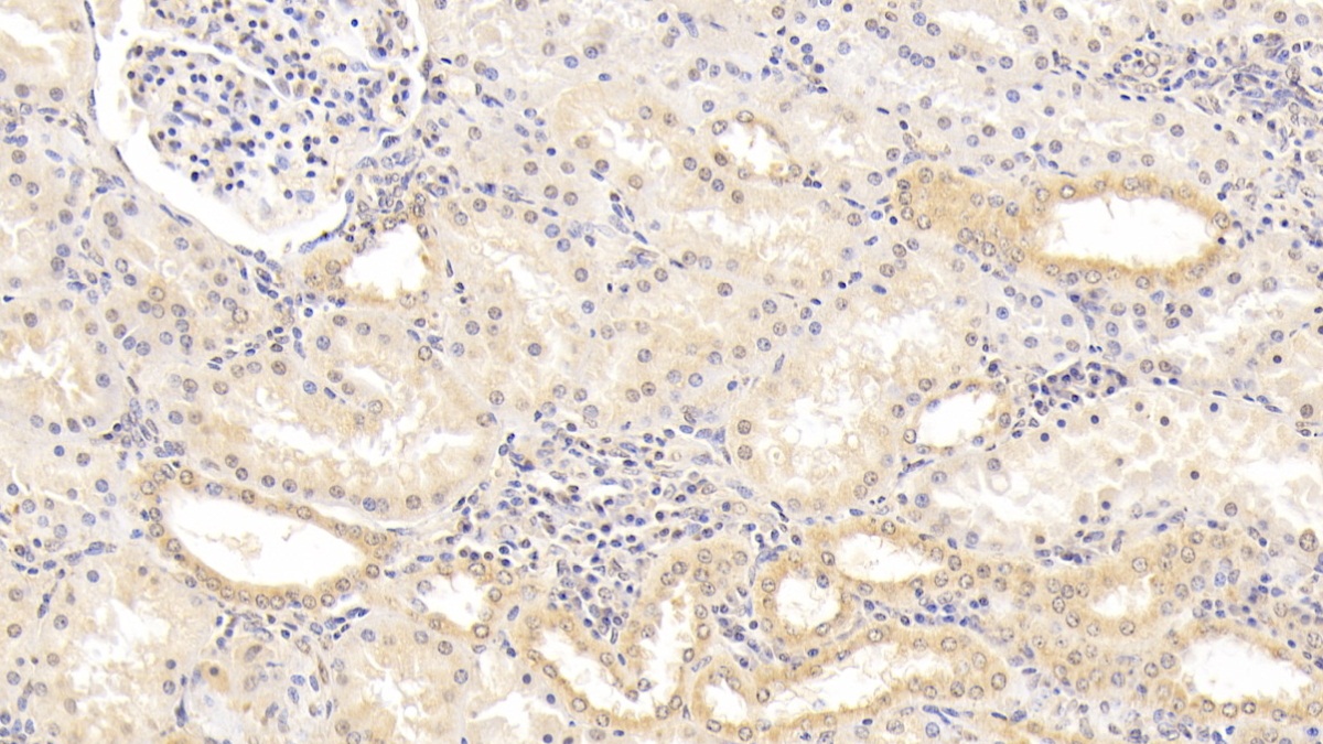
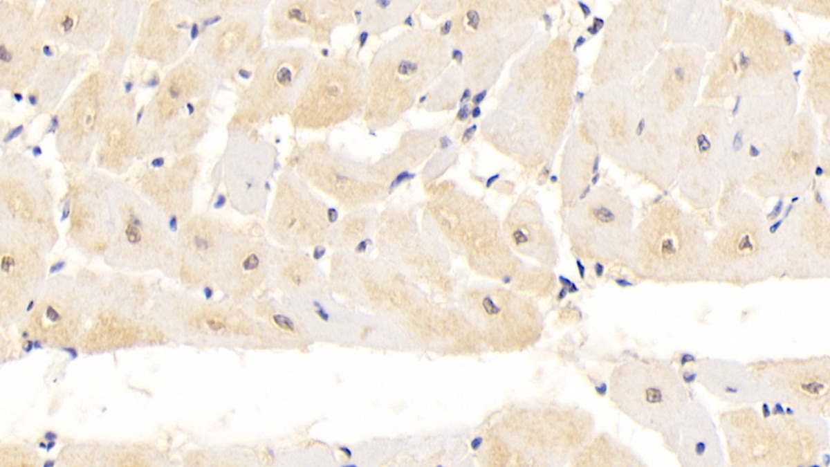
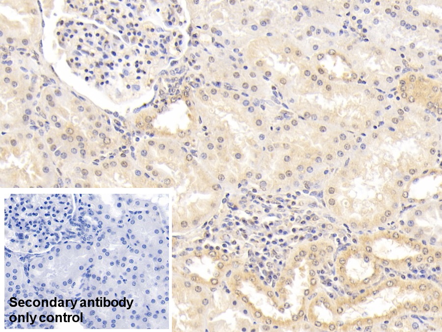
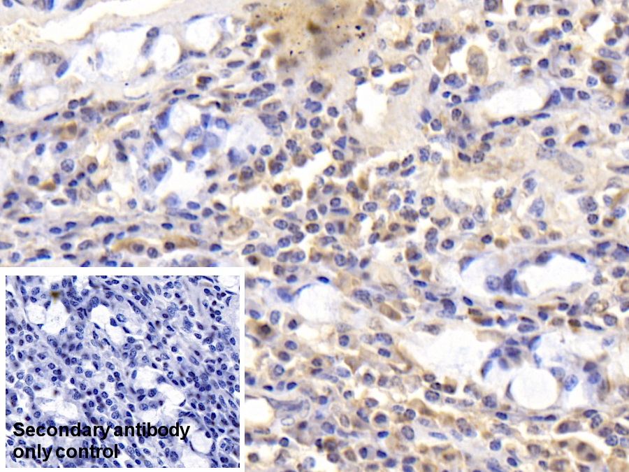
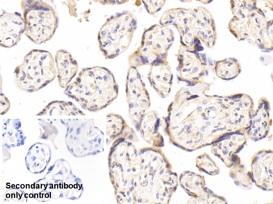
| Валидировано для | IHC WB Иммуногистохимия; Вестерн-блоттинг |
| Рекомендуемые разведения | WB: 0.5-2 мкг/мл; IHC: 5-20 мкг/мл; ICC: 5-20 мкг/мл; Оптимальное разведение определяется конечным потребителем |
| Метод очистки | Аффинная хроматография с белком А и белком G |
| Состав буфера | 0.01M PBS, pH7.4, 0.05% Proclin-300, 50% глицерин |
| Условия доставки | термобокс с аккумуляторами холода |
| Условия хранения | Сразу после получения аликвотировать и хранить при -20ºС до 24 месяцев. Для частого использования хранить при +4ºС не более 2 недель. Избегать повторения циклов замерзания/оттаивания |
| Срок хранения | 24 месяца |
| Производитель | Cloud-Clone Corp. |
| Ссылка на страницу товара на сайте производителя | http://www.cloud-clone.com/products/MAA280Hu24.html |
|
Артикул
|
Наименование |
Производитель
|
|---|
|
Артикул
|
Наименование |
Производитель
|
|---|
|
Артикул
|
Наименование |
Производитель
|
|---|
|
Артикул
|
Наименование |
Производитель
|
|---|
|
Артикул
|
Наименование |
Производитель
|
|---|
Акции и предложения
Популярные продукты:
Chicken Cystatin SA(CST2) ELISA kit (E12C2121)
Организм: курица
Human Inter Alpha trypsin inhibitor heavy chain H1(ITIH1) ELISA kit (E01I0445)
Организм: человек
Диапазон определения: 50-1000 нг/мл
Чувствительность: 1 нг/мл
Диапазон определения: 50-1000 нг/мл
Чувствительность: 1 нг/мл
Porcine Uracil DNA Glycosylase ELISA kit (E07U0076)
Организм: свинья
Human Junctophilin-1 ELISA kit (E01J0009)
Организм: человек

