| UNIPROT | P18418 |
| Иммуноген | RPB486Ra01-Recombinant Calreticulin (CALR) |
Monoclonal Antibody to Calreticulin (CALR) (MAB486Ra22)
Реактивность подтвержденная:
крыса
Источник (хозяин):
мышь
Валидировано для:
IHC
WB
Характеристики
Техническое описание
| Русское название | MAB486Ra22 Моноклональное антитело к CALR (крыса) <Cloud-Clone,Китай> |
| Каталожный номер | MAB486Ra22 |
| Название антигена | Calreticulin (CRT) |
| UNIPROT | P18418 |
| Иммуноген | RPB486Ra01-Recombinant Calreticulin (CALR) |
| Английские синонимы | CALR, RO, SSA, CC1qR, ERp60, HACBP, grp60, CRTC, CRP55, Calregulin, Sicca Syndrome Antigen A, Autoantigen Ro, Endoplasmic reticulum resident protein 60 |
Реактивность подтвержденная Нужна другая реактивность? |
крыса |
| Реактивность предсказываемая | человек |
| Источник (хозяин) | мышь |
| Изотип | IgG2b Kappa |
| Клональность | моноклональное |
| Клон | C11 |
| Рекомбинантное | нет |
| Готовое к использованию | нет |
| Концентрация | 1 мг/мл |
| Конъюгат | По запросу: HRP, biotin, PerCP, PE, Cy3, FITC, Cy7, Cy5.5, PE-Cy5, PE-Cy7, PerCp-Cy5.5, APC, Cy5, PE-Cy3, PE-Cy5.5, APC-Cy7, Biotin-APC, FITC-Biotin, TRITC, APC-Cy5, AF488, AF594, AF405, AF555, AF700, AF647, AF750 |
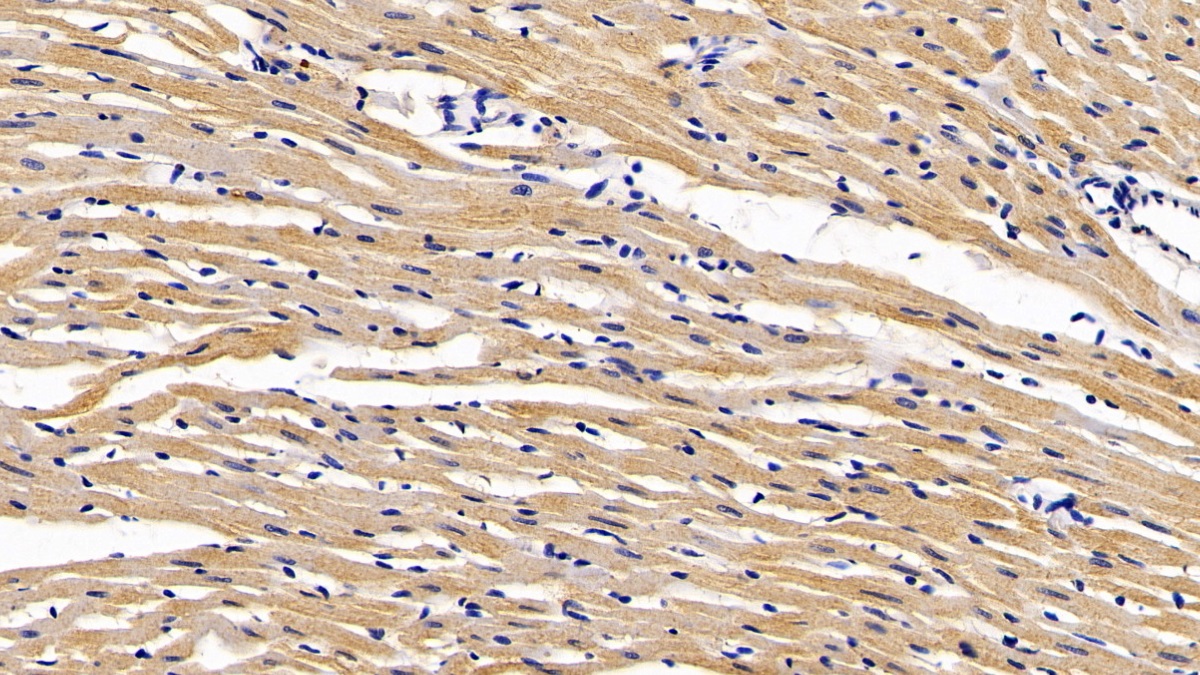
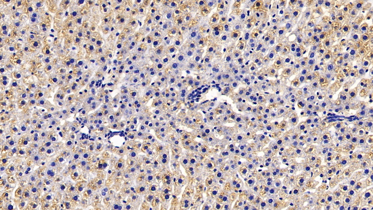
| Валидировано для | IHC WB Иммуногистохимия; Вестерн-блоттинг |
| Рекомендуемые разведения | WB: 0.5-2 мкг/мл; IHC: 5-20 мкг/мл; ICC: 5-20 мкг/мл; Оптимальное разведение определяется конечным потребителем |
| Метод очистки | Аффинная хроматография с белком А и белком G |
| Состав буфера | 0.01M PBS, pH7.4, 0.05% Proclin-300, 50% глицерин |
| Условия доставки | термобокс с аккумуляторами холода |
| Условия хранения | Сразу после получения аликвотировать и хранить при -20ºС до 24 месяцев. Для частого использования хранить при +4ºС не более 2 недель. Избегать повторения циклов замерзания/оттаивания |
| Срок хранения | 24 месяца |
| Производитель | Cloud-Clone Corp. |
| Ссылка на страницу товара на сайте производителя | http://www.cloud-clone.com/products/MAB486Ra22.html |
|
Артикул
|
Наименование |
Производитель
|
|---|
|
Артикул
|
Наименование |
Производитель
|
|---|
|
Артикул
|
Наименование |
Производитель
|
|---|
|
Артикул
|
Наименование |
Производитель
|
|---|
|
Артикул
|
Наименование |
Производитель
|
|---|
|
Артикул
|
Наименование |
Производитель
|
|---|
Акции и предложения
Популярные продукты:
Monoclonal Antibody to Calreticulin (CALR) (MAB486Ra26)
Источник (хозяин): мышь
Реактивность подтвержденная: крыса
Валидировано для: ICC, IF
Реактивность подтвержденная: крыса
Валидировано для: ICC, IF
Rabbit Hyaluronan Binding Protein 2 ELISA kit (E04H1456)
Организм: кролик
Rabbit Hyaluronan Binding Protein 1 ELISA kit (E04H0035)
Организм: кролик
Anti-MAG/Siglec-4a Antibody (R1R68) (RHD43401)
Источник (хозяин): кролик
Реактивность подтвержденная: человек, мышь, крыса
Валидировано для: FCM, IP, WB
Реактивность подтвержденная: человек, мышь, крыса
Валидировано для: FCM, IP, WB
H3F3B Polyclonal Antibody (E-AB-52806)
Источник (хозяин): кролик
Реактивность подтвержденная: человек, мышь, крыса
Валидировано для: IHC
Реактивность подтвержденная: человек, мышь, крыса
Валидировано для: IHC

