| UNIPROT | Q3T0P5 |
| Иммуноген | RPC340Bo02-Recombinant Caspase 6 (CASP6) |
Monoclonal Antibody to Caspase 6 (CASP6) (MAC340Bo22)
Реактивность подтвержденная:
корова
Источник (хозяин):
мышь
Валидировано для:
IHC
WB
Характеристики
Техническое описание
| Русское название | MAC340Bo22 Моноклональное антитело к CASP6 (корова) <Cloud-Clone,Китай> |
| Каталожный номер | MAC340Bo22 |
| Название антигена | Caspase 6 (CASP6) |
| UNIPROT | Q3T0P5 |
| Иммуноген | RPC340Bo02-Recombinant Caspase 6 (CASP6) |
| Английские синонимы | MCH2, Cysteinyl Aspartate Specific Proteinases 6, Caspase 6,Apoptosis-Related Cysteine Peptidase, Apoptotic protease Mch-2, CASP-6, Caspase-6 |
| Русские синонимы | каспаза-6 |
Реактивность подтвержденная Нужна другая реактивность? |
корова |
| Источник (хозяин) | мышь |
| Изотип | IgG1 Kappa |
| Клональность | моноклональное |
| Клон | C1 |
| Рекомбинантное | нет |
| Готовое к использованию | нет |
| Концентрация | 1 мг/мл |
| Конъюгат | По запросу: HRP, biotin, PerCP, PE, Cy3, FITC, Cy7, Cy5.5, PE-Cy5, PE-Cy7, PerCp-Cy5.5, APC, Cy5, PE-Cy3, PE-Cy5.5, APC-Cy7, Biotin-APC, FITC-Biotin, TRITC, APC-Cy5, AF488, AF594, AF405, AF555, AF700, AF647, AF750 |
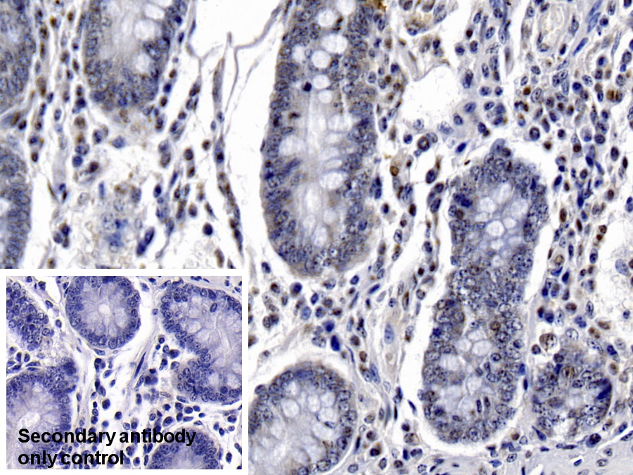
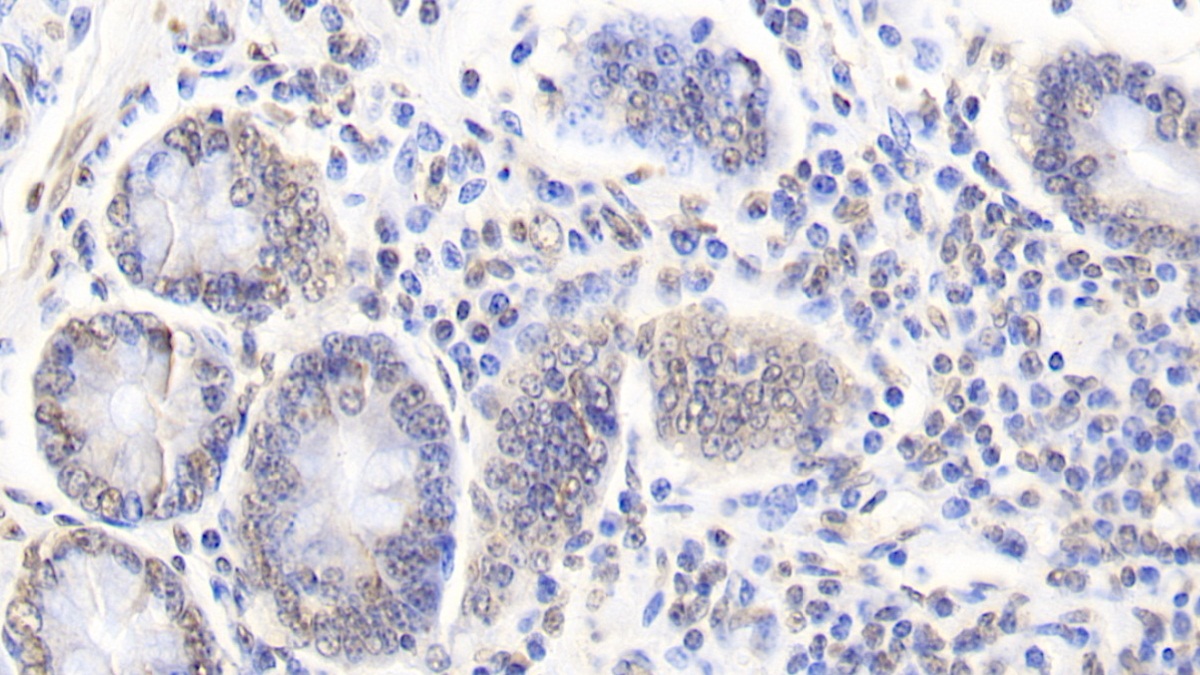
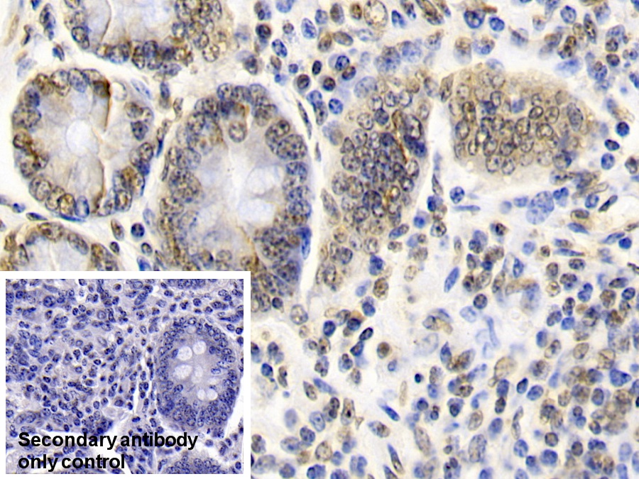
| Валидировано для | IHC WB Иммуногистохимия; Вестерн-блоттинг |
| Рекомендуемые разведения | WB: 0.01-3 мкг/мл; IHC: 5-30 мкг/мл; Оптимальное разведение определяется конечным потребителем |
| Метод очистки | Аффинная хроматография с белком А и белком G |
| Состав буфера | 0.01M PBS, pH7.4, 0.05% Proclin-300, 50% глицерин |
| Условия доставки | термобокс с аккумуляторами холода |
| Условия хранения | Сразу после получения аликвотировать и хранить при -20ºС до 24 месяцев. Для частого использования хранить при +4ºС не более 2 недель. Избегать повторения циклов замерзания/оттаивания |
| Срок хранения | 24 месяца |
| Производитель | Cloud-Clone Corp. |
| Ссылка на страницу товара на сайте производителя | http://www.cloud-clone.com/products/MAC340Bo22.html |
|
Артикул
|
Наименование |
Производитель
|
|---|
|
Артикул
|
Наименование |
Производитель
|
|---|
|
Артикул
|
Наименование |
Производитель
|
|---|
|
Артикул
|
Наименование |
Производитель
|
|---|
|
Артикул
|
Наименование |
Производитель
|
|---|
Акции и предложения
Популярные продукты:
Human Age related maculopathy susceptibility protein 2(ARMS2) ELISA kit (E01A1673)
Организм: человек
Диапазон определения: 50-1000 пг/мл
Чувствительность: 1 пг/мл
Диапазон определения: 50-1000 пг/мл
Чувствительность: 1 пг/мл
Sheep Melanocortin receptor 4(MC4R) ELISA kit (E14M0386)
Организм: овца
Human Melanocortin receptor 4(MC4R) ELISA kit (E01M0386)
Организм: человек
Диапазон определения: 250-5000 пг/мл
Чувствительность: 1 пг/мл
Диапазон определения: 250-5000 пг/мл
Чувствительность: 1 пг/мл
Anti-NEU1/Sialidase-1 Polyclonal Antibody (PHJ44101)
Источник (хозяин): кролик
Реактивность подтвержденная: человек, мышь, крыса
Валидировано для: ELISA, IHC, WB
Реактивность подтвержденная: человек, мышь, крыса
Валидировано для: ELISA, IHC, WB
Anti-SUR2A Antibody (N319A/14) (RHA98401)
Источник (хозяин): мышь
Реактивность подтвержденная: для всех
Валидировано для: IHC, WB
Реактивность подтвержденная: для всех
Валидировано для: IHC, WB
Anti-CASP6 Antibody (R3N39) (RHF11103)
Источник (хозяин): мышь
Реактивность подтвержденная: человек
Валидировано для: ELISA, FCM
Реактивность подтвержденная: человек
Валидировано для: ELISA, FCM

