| UNIPROT | P07339 |
| Иммуноген | EPB280Hu61-Eukaryotic Cathepsin D (CTSD) |
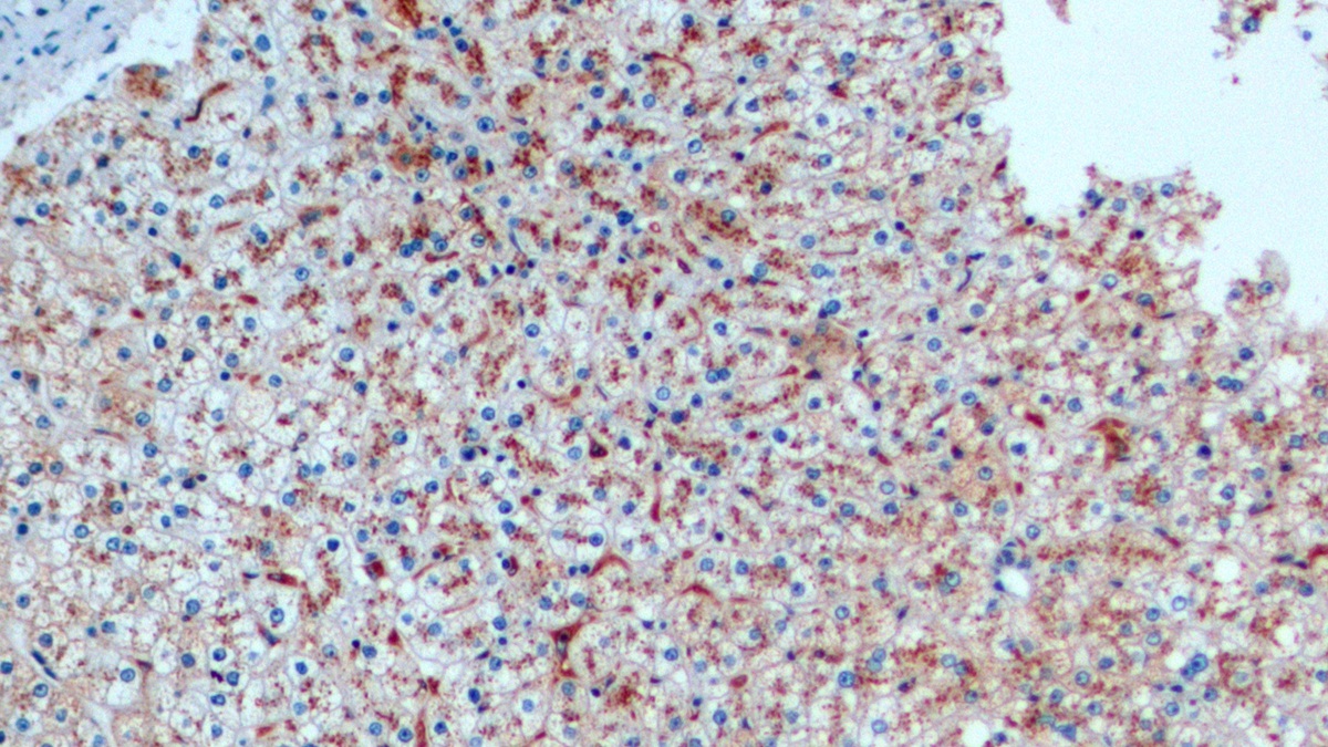
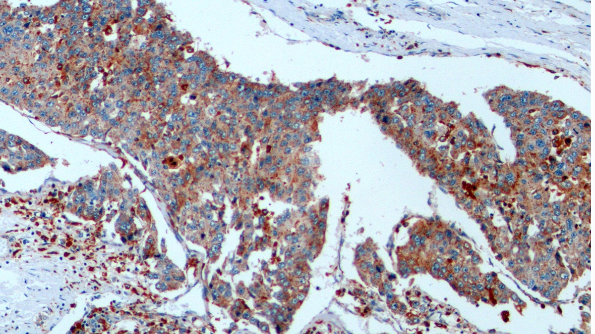
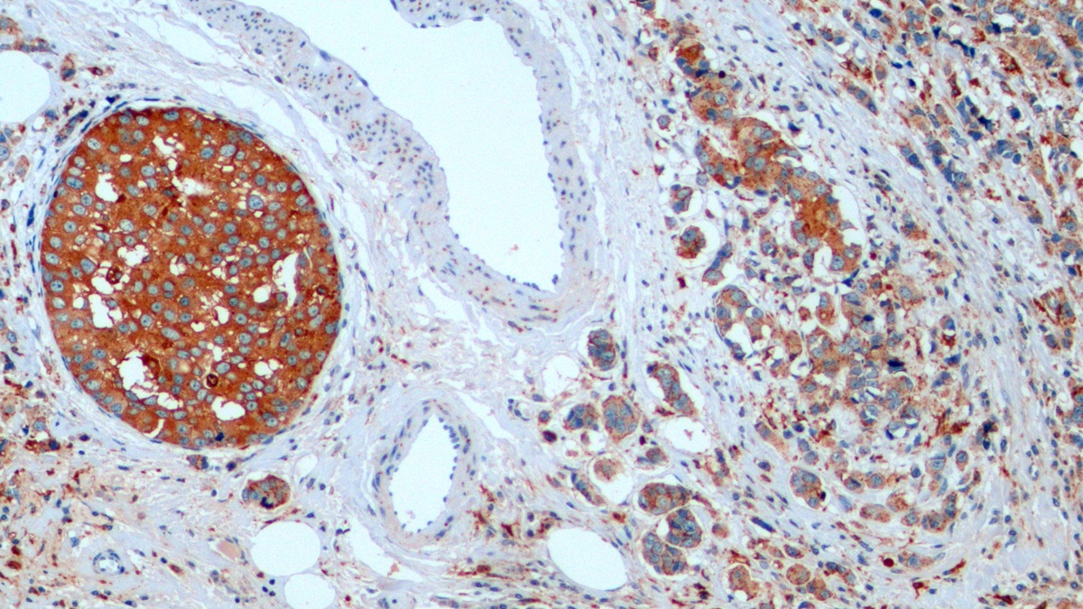
Monoclonal Antibody to Cathepsin D (CTSD) (MAB280Hu22)
Реактивность подтвержденная:
человек
Источник (хозяин):
мышь
Валидировано для:
IHC
WB
Характеристики
Техническое описание
| Русское название | MAB280Hu22 Моноклональное антитело к CTSD (человек) <Cloud-Clone,Китай> |
| Каталожный номер | MAB280Hu22 |
| Название антигена | Cathepsin D (CTSD) |
| UNIPROT | P07339 |
| Иммуноген | EPB280Hu61-Eukaryotic Cathepsin D (CTSD) |
| Английские синонимы | CPSD, CLN10, Lysosomal Aspartyl Protease, Ceroid-Lipofuscinosis,Neuronal 10 |
Реактивность подтвержденная Нужна другая реактивность? |
человек |
| Реактивность предсказываемая | крыса |
| Источник (хозяин) | мышь |
| Изотип | IgG2b Kappa |
| Клональность | моноклональное |
| Клон | C7 |
| Рекомбинантное | нет |
| Готовое к использованию | нет |
| Концентрация | 1 мг/мл |
| Конъюгат | По запросу: HRP, biotin, PerCP, PE, Cy3, FITC, Cy7, Cy5.5, PE-Cy5, PE-Cy7, PerCp-Cy5.5, APC, Cy5, PE-Cy3, PE-Cy5.5, APC-Cy7, Biotin-APC, FITC-Biotin, TRITC, APC-Cy5, AF488, AF594, AF405, AF555, AF700, AF647, AF750 |
| Валидировано для | IHC WB Иммуногистохимия; Вестерн-блоттинг |
| Рекомендуемые разведения | WB: 0.01-2 мкг/мл; IHC: 5-20 мкг/мл; ICC: 5-20 мкг/мл; Оптимальное разведение определяется конечным потребителем |
| Метод очистки | Аффинная хроматография с белком А и белком G |
| Состав буфера | PBS, pH7.4, 0.02% NaN3, 50% глицерин |
| Условия доставки | термобокс с аккумуляторами холода |
| Условия хранения | Сразу после получения аликвотировать и хранить при -20ºС до 24 месяцев. Для частого использования хранить при +4ºС не более 2 недель. Избегать повторения циклов замерзания/оттаивания |
| Срок хранения | 24 месяца |
| Производитель | Cloud-Clone Corp. |
| Ссылка на страницу товара на сайте производителя | http://www.cloud-clone.com/products/MAB280Hu22.html |
|
Артикул
|
Наименование |
Производитель
|
|---|
|
Артикул
|
Наименование |
Производитель
|
|---|
|
Артикул
|
Наименование |
Производитель
|
|---|
|
Артикул
|
Наименование |
Производитель
|
|---|
|
Артикул
|
Наименование |
Производитель
|
|---|
|
Артикул
|
Наименование |
Производитель
|
|---|
Акции и предложения
Популярные продукты:
Porcine Interleukin 1β ELISA kit (E07I0010)
Организм: свинья
Диапазон определения: 50-1000 пг/мл
Чувствительность: 1 пг/мл
Диапазон определения: 50-1000 пг/мл
Чувствительность: 1 пг/мл
Rabbit Aromatic L amino acid decarboxylase(DDC) ELISA kit (E04A1091)
Организм: кролик
Human Metaxin 1(MTX1) ELISA kit (E01M0406)
Организм: человек
Диапазон определения: 100-2500 пг/мл
Чувствительность: 1 пг/мл
Диапазон определения: 100-2500 пг/мл
Чувствительность: 1 пг/мл
Anti-Staphylococcus aureus Alpha-toxin/hly Antibody (SAA0345) (RXX00102)
Источник (хозяин): человек
Реактивность подтвержденная: бактерии
Валидировано для: ELISA
Реактивность подтвержденная: бактерии
Валидировано для: ELISA
Fluor® Red 780 Anti-Human CD39 Antibody[A1] (FCE3073)
Источник (хозяин): мышь
Реактивность подтвержденная: человек
Валидировано для: FCM
Реактивность подтвержденная: человек
Валидировано для: FCM

