| UNIPROT | Q99969 |
| Иммуноген | RPA945Hu01-Recombinant Chemerin (CHEM) |
Monoclonal Antibody to Chemerin (CHEM) (MAA945Hu22)
Реактивность подтвержденная:
человек
Источник (хозяин):
мышь
Валидировано для:
IHC
WB
Характеристики
Техническое описание
| Русское название | MAA945Hu22 Моноклональное антитело к CHEM (человек) <Cloud-Clone,Китай> |
| Каталожный номер | MAA945Hu22 |
| Название антигена | Chemerin (CHEM) |
| UNIPROT | Q99969 |
| Иммуноген | RPA945Hu01-Recombinant Chemerin (CHEM) |
| Английские синонимы | TIG2, RARRES2, Tazarotene-Induced Gene 2, Retinoic Acid Receptor Responder 2,Tazarotene Induced, RAR-responsive protein TIG2 |
Реактивность подтвержденная Нужна другая реактивность? |
человек |
| Источник (хозяин) | мышь |
| Изотип | IgG2b Kappa |
| Клональность | моноклональное |
| Клон | E10 |
| Рекомбинантное | нет |
| Готовое к использованию | нет |
| Концентрация | 1 мг/мл |
| Конъюгат | По запросу: HRP, biotin, PerCP, PE, Cy3, FITC, Cy7, Cy5.5, PE-Cy5, PE-Cy7, PerCp-Cy5.5, APC, Cy5, PE-Cy3, PE-Cy5.5, APC-Cy7, Biotin-APC, FITC-Biotin, TRITC, APC-Cy5, AF488, AF594, AF405, AF555, AF700, AF647, AF750 |
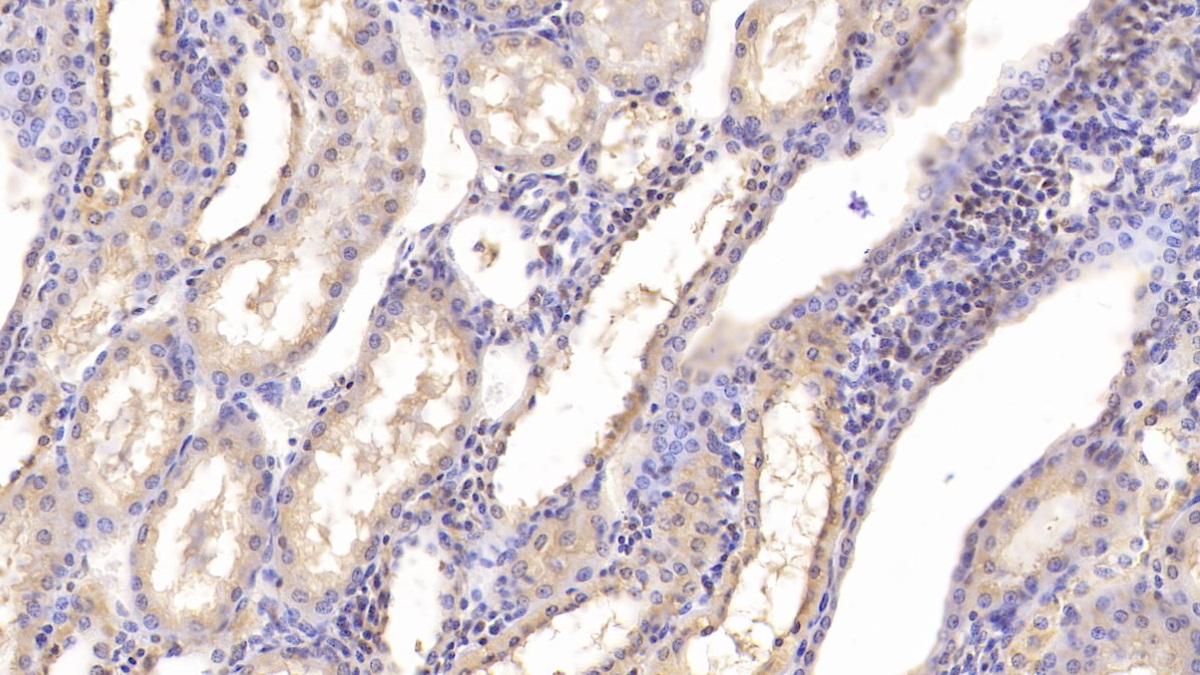
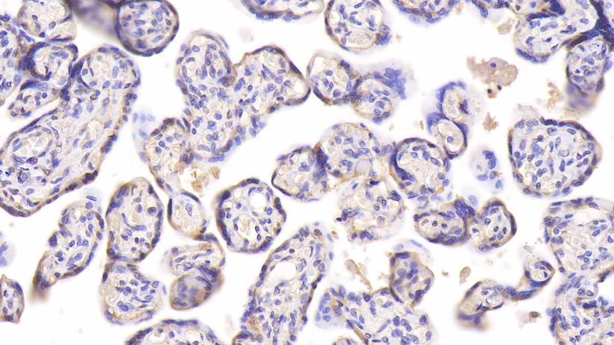
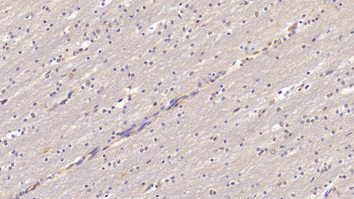
| Валидировано для | IHC WB Иммуногистохимия; Вестерн-блоттинг |
| Рекомендуемые разведения | WB: 0.01-2 мкг/мл; IHC: 5-20 мкг/мл; Оптимальное разведение определяется конечным потребителем |
| Метод очистки | Аффинная хроматография с белком А и белком G |
| Состав буфера | 0.01M PBS, pH7.4, 0.05% Proclin-300, 50% глицерин |
| Условия доставки | термобокс с аккумуляторами холода |
| Условия хранения | Сразу после получения аликвотировать и хранить при -20ºС до 24 месяцев. Для частого использования хранить при +4ºС не более 2 недель. Избегать повторения циклов замерзания/оттаивания |
| Срок хранения | 24 месяца |
| Производитель | Cloud-Clone Corp. |
| Ссылка на страницу товара на сайте производителя | http://www.cloud-clone.com/products/MAA945Hu22.html |
|
Артикул
|
Наименование |
Производитель
|
|---|
|
Артикул
|
Наименование |
Производитель
|
|---|
|
Артикул
|
Наименование |
Производитель
|
|---|
Акции и предложения
Популярные продукты:
Anti-Chemerin (CHEM) Monoclonal Antibody (FAA945Hu02)
Источник (хозяин): мышь
Реактивность подтвержденная: человек
Валидировано для: FCM
Реактивность подтвержденная: человек
Валидировано для: FCM
ELISA Kit for Netrin 4 (Ntn4) (SEB835Mu)
Организм: мышь
Диапазон определения: 0.156-10 нг/мл
Чувствительность: 0.054 нг/мл
Диапазон определения: 0.156-10 нг/мл
Чувствительность: 0.054 нг/мл
Goat 14 3 3 protein zeta/delta(YWHAZ) ELISA kit (E06P0216)
Организм: коза
Monkey 26S protease regulatory subunit 6B ELISA kit (E09P0913)
Организм: обезьяна
Chicken Spastin(SPAST) ELISA kit (E12S0395)
Организм: курица
Bovine Toll interacting protein(TOLLIP) ELISA kit (E11T0723)
Организм: корова

