| UNIPROT | - |
| Иммуноген | CPB044Hu11-BSA Conjugated Cholecystokinin 8 (CCK8) |
Monoclonal Antibody to Cholecystokinin 8 (CCK8) (MAB044Hu25)
Реактивность подтвержденная:
человек
Источник (хозяин):
мышь
Валидировано для:
IHC
Характеристики
Техническое описание
| Русское название | MAB044Hu25 Моноклональное антитело к CCK8 (человек) <Cloud-Clone,Китай> |
| Каталожный номер | MAB044Hu25 |
| Название антигена | Cholecystokinin 8, Octapeptide (CCK8) |
| UNIPROT | - |
| Иммуноген | CPB044Hu11-BSA Conjugated Cholecystokinin 8 (CCK8) |
| Английские синонимы | Sincalide |
Реактивность подтвержденная Нужна другая реактивность? |
человек |
| Источник (хозяин) | мышь |
| Изотип | IgG2b Kappa |
| Клональность | моноклональное |
| Клон | C4 |
| Рекомбинантное | нет |
| Готовое к использованию | нет |
| Концентрация | 1 мг/мл |
| Конъюгат | По запросу: HRP, biotin, PerCP, PE, Cy3, FITC, Cy7, Cy5.5, PE-Cy5, PE-Cy7, PerCp-Cy5.5, APC, Cy5, PE-Cy3, PE-Cy5.5, APC-Cy7, Biotin-APC, FITC-Biotin, TRITC, APC-Cy5, AF488, AF594, AF405, AF555, AF700, AF647, AF750 |
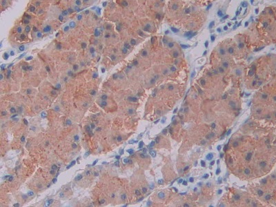
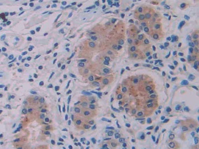
| Валидировано для | IHC Иммуногистохимия |
| Рекомендуемые разведения | IHC: 5-20 мкг/мл; ICC: 5-20 мкг/мл; Оптимальное разведение определяется конечным потребителем |
| Метод очистки | Аффинная хроматография с белком А и белком G |
| Состав буфера | 0.01M PBS, pH7.4, 0.05% Proclin-300, 50% глицерин |
| Условия доставки | термобокс с аккумуляторами холода |
| Условия хранения | Сразу после получения аликвотировать и хранить при -20ºС до 24 месяцев. Для частого использования хранить при +4ºС не более 2 недель. Избегать повторения циклов замерзания/оттаивания |
| Срок хранения | 24 месяца |
| Производитель | Cloud-Clone Corp. |
| Ссылка на страницу товара на сайте производителя | http://www.cloud-clone.com/products/MAB044Hu25.html |
|
Артикул
|
Наименование |
Производитель
|
|---|
|
Артикул
|
Наименование |
Производитель
|
|---|
Акции и предложения
Популярные продукты:
ELISA Kit DIY Materials for DNA Damage Inducible Transcript 3 (DDIT3) (KSJ282Mu01)
Организм: мышь
Диапазон определения: 0.156-10 нг/мл
Чувствительность: 0.060 нг/мл
Диапазон определения: 0.156-10 нг/мл
Чувствительность: 0.060 нг/мл
ELISA Kit DIY Materials for Tissue Inhibitors Of Metalloproteinase 4 (TIMP4) (KSA130Po01)
Организм: свинья
Диапазон определения: 0.156-10 нг/мл
Чувствительность: 0.060 нг/мл
Диапазон определения: 0.156-10 нг/мл
Чувствительность: 0.060 нг/мл
ELISA Kit DIY Materials for Thioredoxin (Trx) (KSA702Hu01)
Организм: человек
Диапазон определения: 3.12-200 нг/мл
Чувствительность: 1.22 нг/мл
Диапазон определения: 3.12-200 нг/мл
Чувствительность: 1.22 нг/мл
Chicken Protein capicua homolog ELISA kit (E12C1725)
Организм: курица
Human Zinc transporter 5(SLC30A5) ELISA kit (E01Z0013)
Организм: человек
Диапазон определения: 50-1000 пг/мл
Чувствительность: 1 пг/мл
Диапазон определения: 50-1000 пг/мл
Чувствительность: 1 пг/мл
Bovine Mitochondrial Rho GTPase 2(RHOT2) ELISA kit (E11M0434)
Организм: корова

