| UNIPROT | P01355 |
| Иммуноген | RPA802Ra01-Recombinant Cholecystokinin (CCK) |
Monoclonal Antibody to Cholecystokinin (CCK) (MAA802Ra21)
Реактивность подтвержденная:
крыса
Источник (хозяин):
мышь
Валидировано для:
IHC
WB
Характеристики
Техническое описание
| Русское название | MAA802Ra21 Моноклональное антитело к CCK (крыса) <Cloud-Clone,Китай> |
| Каталожный номер | MAA802Ra21 |
| Название антигена | Cholecystokinin (CCK) |
| UNIPROT | P01355 |
| Иммуноген | RPA802Ra01-Recombinant Cholecystokinin (CCK) |
| Английские синонимы | CCK-PZ, Cholecystokinin-58 desnonopeptide |
| Русские синонимы | CCK, панкреозимин |
Реактивность подтвержденная Нужна другая реактивность? |
крыса |
| Источник (хозяин) | мышь |
| Клональность | моноклональное |
| Клон | C7 |
| Рекомбинантное | нет |
| Готовое к использованию | нет |
| Концентрация | 1 мг/мл |
| Конъюгат | По запросу: HRP, biotin, PerCP, PE, Cy3, FITC, Cy7, Cy5.5, PE-Cy5, PE-Cy7, PerCp-Cy5.5, APC, Cy5, PE-Cy3, PE-Cy5.5, APC-Cy7, Biotin-APC, FITC-Biotin, TRITC, APC-Cy5, AF488, AF594, AF405, AF555, AF700, AF647, AF750 |
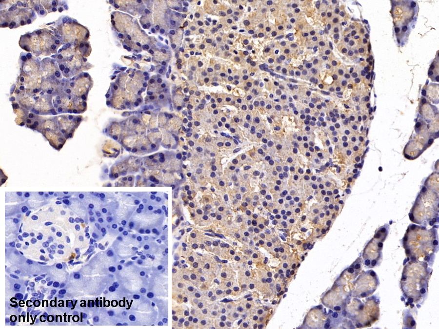
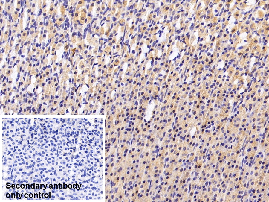
| Валидировано для | IHC WB Иммуногистохимия; Вестерн-блоттинг |
| Рекомендуемые разведения | WB: 0.01-2 мкг/мл; IHC: 5-30 мкг/мл; Оптимальное разведение определяется конечным потребителем |
| Метод очистки | Аффинная хроматография с белком А и белком G |
| Состав буфера | 0.01M PBS, pH7.4, 0.05% Proclin-300, 50% глицерин |
| Условия доставки | термобокс с аккумуляторами холода |
| Условия хранения | Сразу после получения аликвотировать и хранить при -20ºС до 24 месяцев. Для частого использования хранить при +4ºС не более 2 недель. Избегать повторения циклов замерзания/оттаивания |
| Срок хранения | 24 месяца |
| Производитель | Cloud-Clone Corp. |
| Ссылка на страницу товара на сайте производителя | http://www.cloud-clone.com/products/MAA802Ra21.html |
|
Артикул
|
Наименование |
Производитель
|
|---|
|
Артикул
|
Наименование |
Производитель
|
|---|
|
Артикул
|
Наименование |
Производитель
|
|---|
|
Артикул
|
Наименование |
Производитель
|
|---|
|
Артикул
|
Наименование |
Производитель
|
|---|
|
Артикул
|
Наименование |
Производитель
|
|---|
|
Артикул
|
Наименование |
Производитель
|
|---|
Акции и предложения
Популярные продукты:
Monoclonal Antibody to Cholecystokinin (CCK) (MAA802Ra21)
Источник (хозяин): мышь
Реактивность подтвержденная: крыса
Валидировано для: IHC, WB
Реактивность подтвержденная: крыса
Валидировано для: IHC, WB
Rabbit Anti-NeuN Antibody (SAA2241) (RHA00601)
Источник (хозяин): кролик
Реактивность подтвержденная: человек, мышь, крыса
Валидировано для: FCM, ICC, IF, IHC, WB
Реактивность подтвержденная: человек, мышь, крыса
Валидировано для: FCM, ICC, IF, IHC, WB
Mouse Anti-SARS-CoV-2 S/Spike glycoprotein IgA Antibody (SAA2227) (RVV00326)
Источник (хозяин): мышь
Реактивность подтвержденная: вирусы
Валидировано для: ELISA
Реактивность подтвержденная: вирусы
Валидировано для: ELISA
Mouse Anti-Plasmodium berghei CSP Antibody (SAb2279) (RXX55206)
Источник (хозяин): мышь
Реактивность подтвержденная: простейшие
Валидировано для: ELISA, NEUT
Реактивность подтвержденная: простейшие
Валидировано для: ELISA, NEUT
Mouse Anti-Nipah virus/NiV Fusion glycoprotein F1 Antibody (5G7) (RVV08105)
Источник (хозяин): мышь
Реактивность подтвержденная: вирусы
Валидировано для: IP, WB
Реактивность подтвержденная: вирусы
Валидировано для: IP, WB
Mouse Anti-Desmoglein 3 Antibody (AK23) (RHE01407)
Источник (хозяин): мышь
Реактивность подтвержденная: человек, мышь
Валидировано для: ELISA, IF, IP
Реактивность подтвержденная: человек, мышь
Валидировано для: ELISA, IF, IP

