| UNIPROT | P35613 |
| Иммуноген | RPB540Hu01-Recombinant Cluster Of Differentiation 147 (CD147) |
Monoclonal Antibody to Cluster Of Differentiation 147 (CD147) (MAB540Hu25)
Реактивность подтвержденная:
человек
Источник (хозяин):
мышь
Валидировано для:
IHC
Характеристики
Техническое описание
| Русское название | MAB540Hu25 Моноклональное антитело к CD147 (человек) <Cloud-Clone,Китай> |
| Каталожный номер | MAB540Hu25 |
| Название антигена | Extracellular Matrix Metalloproteinase Inducer (EMMPRIN) |
| UNIPROT | P35613 |
| Иммуноген | RPB540Hu01-Recombinant Cluster Of Differentiation 147 (CD147) |
| Английские синонимы | CD147, CD 147, CD-147, BSG, 5F7, M6, OK, TCSF, Basigin(Ok Blood Group), Collagenase stimulatory factor, OK blood group antigen, Tumor cell-derived collagenase stimulatory factor |
| Русские синонимы | Базигин, Кластер дифференцировки 147 |
Реактивность подтвержденная Нужна другая реактивность? |
человек |
| Источник (хозяин) | мышь |
| Изотип | IgG1 Kappa |
| Клональность | моноклональное |
| Клон | C3 |
| Рекомбинантное | нет |
| Готовое к использованию | нет |
| Концентрация | 1 мг/мл |
| Конъюгат | По запросу: HRP, biotin, PerCP, PE, Cy3, FITC, Cy7, Cy5.5, PE-Cy5, PE-Cy7, PerCp-Cy5.5, APC, Cy5, PE-Cy3, PE-Cy5.5, APC-Cy7, Biotin-APC, FITC-Biotin, TRITC, APC-Cy5, AF488, AF594, AF405, AF555, AF700, AF647, AF750 |
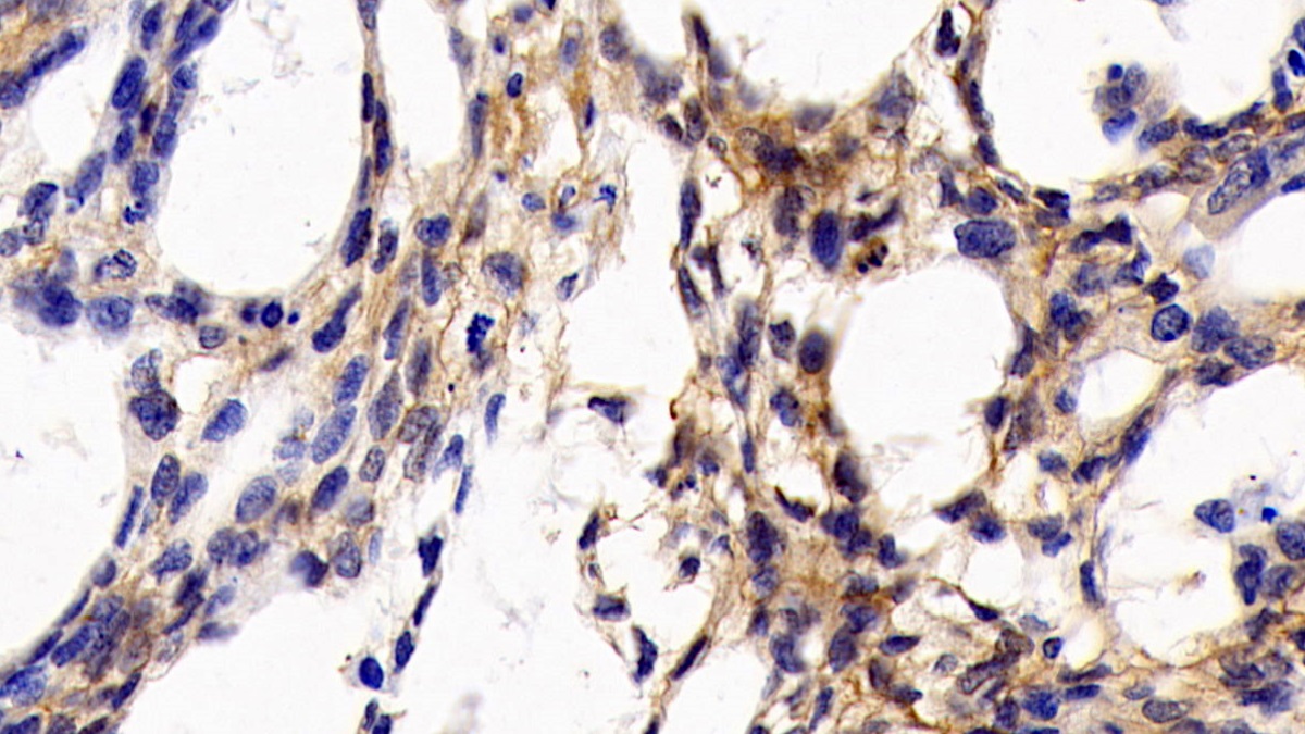
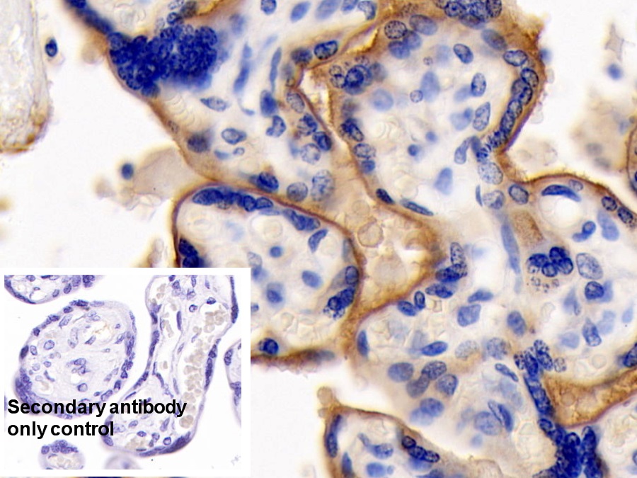
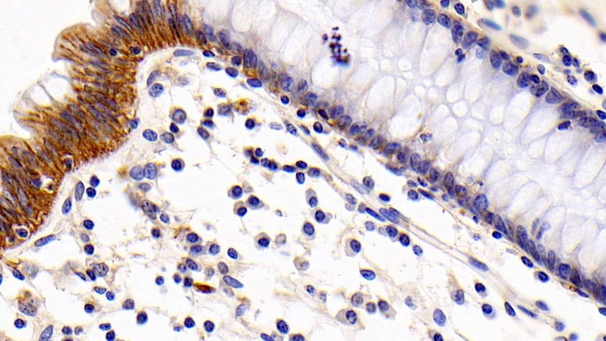
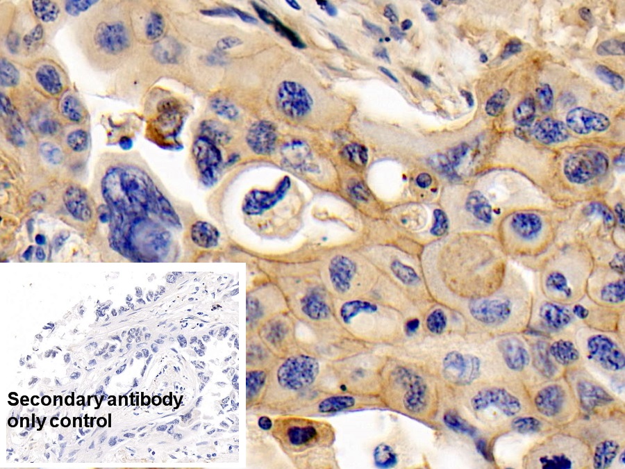
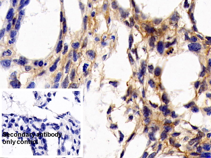
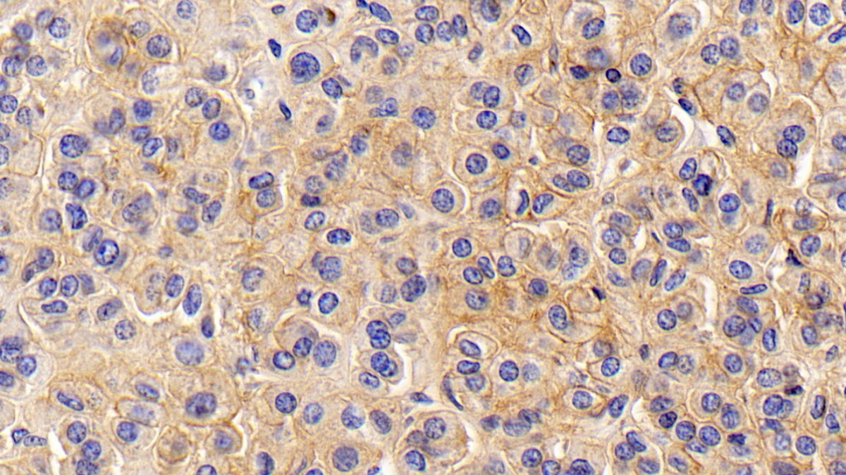
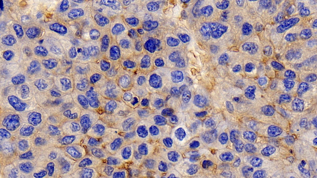
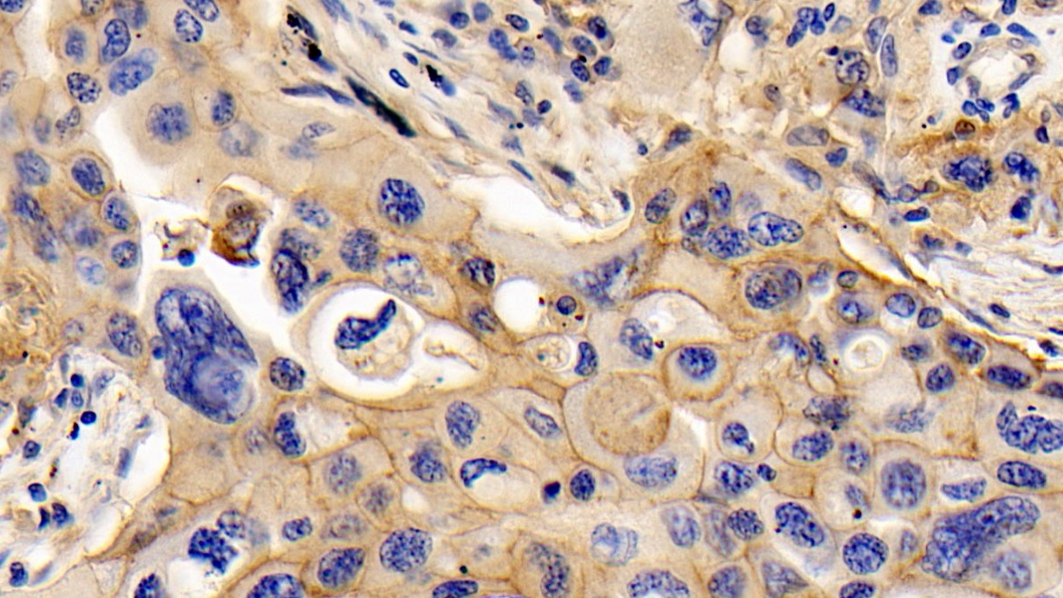
| Валидировано для | IHC Иммуногистохимия |
| Рекомендуемые разведения | WB: 0.5-2 мкг/мл; IHC: 5-20 мкг/мл; ICC: 5-20 мкг/мл; Оптимальное разведение определяется конечным потребителем |
| Метод очистки | Аффинная хроматография с белком А и белком G |
| Состав буфера | 0.01M PBS, pH7.4, 0.05% Proclin-300, 50% глицерин |
| Условия доставки | термобокс с аккумуляторами холода |
| Условия хранения | Сразу после получения аликвотировать и хранить при -20ºС до 24 месяцев. Для частого использования хранить при +4ºС не более 2 недель. Избегать повторения циклов замерзания/оттаивания |
| Срок хранения | 24 месяца |
| Производитель | Cloud-Clone Corp. |
| Ссылка на страницу товара на сайте производителя | http://www.cloud-clone.com/products/MAB540Hu25.html |
|
Артикул
|
Наименование |
Производитель
|
|---|
|
Артикул
|
Наименование |
Производитель
|
|---|
|
Артикул
|
Наименование |
Производитель
|
|---|
|
Артикул
|
Наименование |
Производитель
|
|---|
|
Артикул
|
Наименование |
Производитель
|
|---|
Акции и предложения
Популярные продукты:
Rabbit Sulfite oxidase, mitochondrial(SUOX) ELISA kit (E04S0425)
Организм: кролик
Canine Endothelin 3(EDN3) ELISA kit (E08E0367)
Организм: собака
Porcine Actinin Alpha 3 ELISA kit (E07A0383)
Организм: свинья
Recombinant Human KISS1R Protein, N-His (YHJ36401)
Источник (хозяин): E.coli
Организм: человек
Фрагмент: Ile279-Leu398
Теги: N-His
Биоактивность: нет
Организм: человек
Фрагмент: Ile279-Leu398
Теги: N-His
Биоактивность: нет
Anti-TTR/Prealbumin/Transthyretin Antibody (R2Y18) (RHC01305)
Источник (хозяин): мышь
Реактивность подтвержденная: человек
Валидировано для: ELISA, FCM
Реактивность подтвержденная: человек
Валидировано для: ELISA, FCM
HSD3B1 Polyclonal Antibody (E-AB-67940)
Источник (хозяин): кролик
Реактивность подтвержденная: человек, мышь, крыса
Валидировано для: WB
Реактивность подтвержденная: человек, мышь, крыса
Валидировано для: WB

