| UNIPROT | P08174 |
| Иммуноген | RPA468Hu01-Recombinant Cluster Of Differentiation 55 (CD55) |
Monoclonal Antibody to Cluster Of Differentiation 55 (CD55) (MAA468Hu21)
Реактивность подтвержденная:
человек
Источник (хозяин):
мышь
Валидировано для:
IHC
WB
Характеристики
Техническое описание
| Русское название | MAA468Hu21 Моноклональное антитело к CD55 (человек) <Cloud-Clone,Китай> |
| Каталожный номер | MAA468Hu21 |
| Название антигена | Decay Accelerating Factor (DAF) |
| UNIPROT | P08174 |
| Иммуноген | RPA468Hu01-Recombinant Cluster Of Differentiation 55 (CD55) |
| Английские синонимы | CD55, CD 55, CD-55, CR, TC, Complement decay-accelerating factor |
| Русские синонимы | CD55 |
Реактивность подтвержденная Нужна другая реактивность? |
человек |
| Реактивность предсказываемая | крыса, свинья |
| Источник (хозяин) | мышь |
| Изотип | IgG1 Kappa |
| Клональность | моноклональное |
| Клон | C4 |
| Рекомбинантное | нет |
| Готовое к использованию | нет |
| Концентрация | 1 мг/мл |
| Конъюгат | По запросу: HRP, biotin, PerCP, PE, Cy3, FITC, Cy7, Cy5.5, PE-Cy5, PE-Cy7, PerCp-Cy5.5, APC, Cy5, PE-Cy3, PE-Cy5.5, APC-Cy7, Biotin-APC, FITC-Biotin, TRITC, APC-Cy5, AF488, AF594, AF405, AF555, AF700, AF647, AF750 |
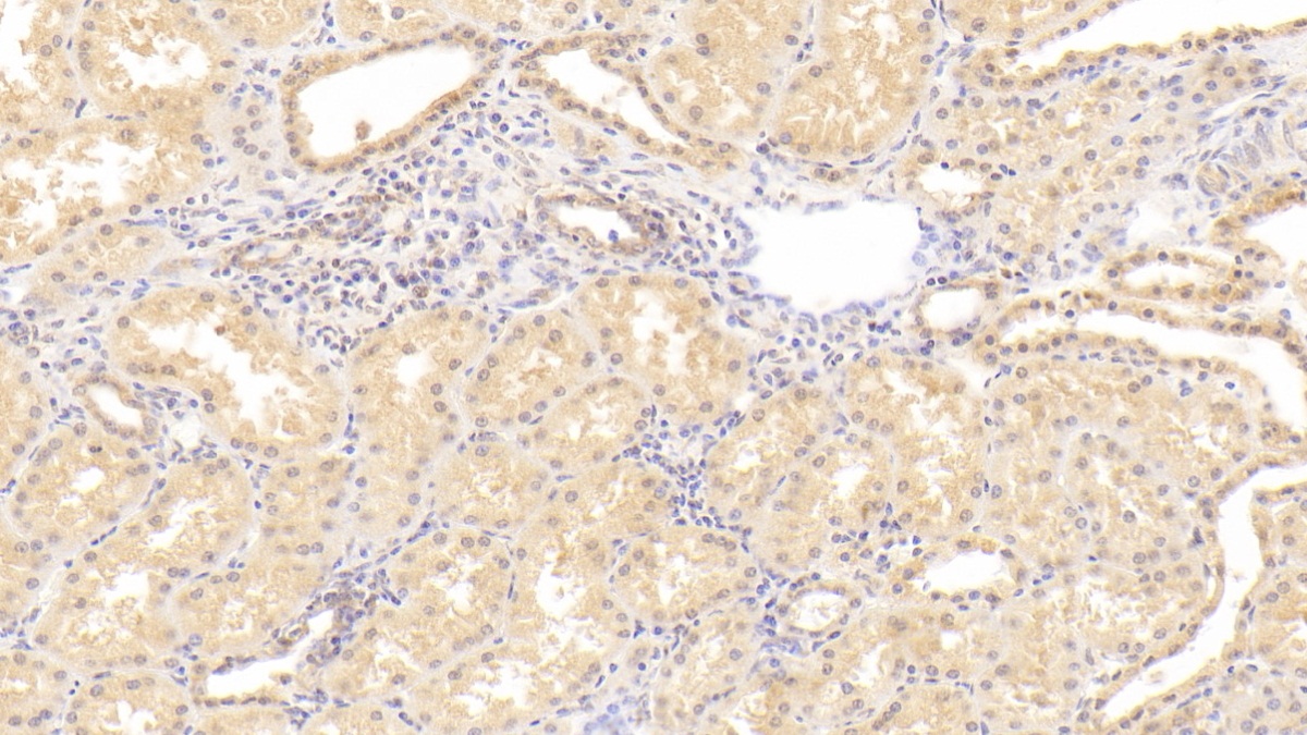
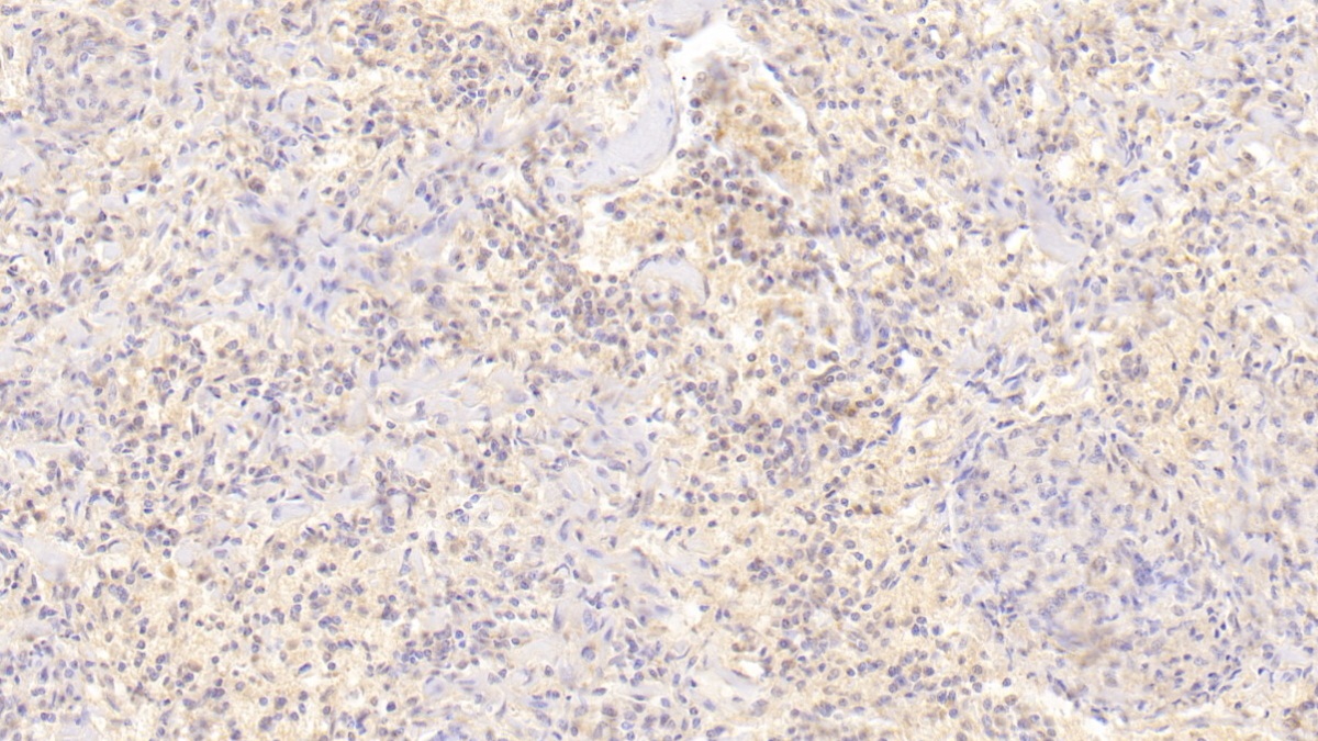
| Валидировано для | IHC WB Иммуногистохимия; Вестерн-блоттинг |
| Рекомендуемые разведения | WB: 0.2-2 мкг/мл; 1:500-5000; IHC: 5-20 мкг/мл; 1:50-200; ICC: 5-20 мкг/мл; 1:50-200; Оптимальное разведение определяется конечным потребителем |
| Метод очистки | Аффинная хроматография с белком А и белком G |
| Состав буфера | PBS, pH7.4, 0.02% NaN3, 50% глицерин |
| Условия доставки | термобокс с аккумуляторами холода |
| Условия хранения | Сразу после получения аликвотировать и хранить при -20ºС до 24 месяцев. Для частого использования хранить при +4ºС не более 2 недель. Избегать повторения циклов замерзания/оттаивания |
| Срок хранения | 24 месяца |
| Производитель | Cloud-Clone Corp. |
| Ссылка на страницу товара на сайте производителя | http://www.cloud-clone.com/products/MAA468Hu21.html |
|
Артикул
|
Наименование |
Производитель
|
|---|
|
Артикул
|
Наименование |
Производитель
|
|---|
|
Артикул
|
Наименование |
Производитель
|
|---|
|
Артикул
|
Наименование |
Производитель
|
|---|
|
Артикул
|
Наименование |
Производитель
|
|---|
|
Артикул
|
Наименование |
Производитель
|
|---|
Акции и предложения
Популярные продукты:
Progesterone/P ELISA Kit (KSK61501)
Организм: для всех
Диапазон определения: 1.56 - 100 нг/мл
Чувствительность: 0.5 нг/мл
Диапазон определения: 1.56 - 100 нг/мл
Чувствительность: 0.5 нг/мл
Monkey Lipase Member H ELISA Kit (E09L1210)
Организм: обезьяна
Sheep Chromobox Homolog 3 ELISA kit (E14C0608)
Организм: овца
Goat Caspase 6 ELISA kit (E06C0099)
Организм: коза
Guinea Pig Electron transfer flavoprotein subunit β(ETFB) ELISA kit (E05E0387)
Организм: морская свинка
Rabbit Glucokinase ELISA kit (E04G0103)
Организм: кролик

