| UNIPROT | P08174 |
| Иммуноген | RPA468Hu01-Recombinant Cluster Of Differentiation 55 (CD55) |
Monoclonal Antibody to Cluster Of Differentiation 55 (CD55) (MAA468Hu24)
Реактивность подтвержденная:
человек
Источник (хозяин):
мышь
Валидировано для:
IHC
Характеристики
Техническое описание
| Русское название | MAA468Hu24 Моноклональное антитело к CD55 (человек) <Cloud-Clone,Китай> |
| Каталожный номер | MAA468Hu24 |
| Название антигена | Decay Accelerating Factor (DAF) |
| UNIPROT | P08174 |
| Иммуноген | RPA468Hu01-Recombinant Cluster Of Differentiation 55 (CD55) |
| Английские синонимы | CD55, CD 55, CD-55, CR, TC, Complement decay-accelerating factor |
| Русские синонимы | CD55 |
Реактивность подтвержденная Нужна другая реактивность? |
человек |
| Реактивность предсказываемая | свинья |
| Источник (хозяин) | мышь |
| Изотип | IgG1 Kappa |
| Клональность | моноклональное |
| Клон | C5 |
| Рекомбинантное | нет |
| Готовое к использованию | нет |
| Концентрация | 1 мг/мл |
| Конъюгат | По запросу: HRP, biotin, PerCP, PE, Cy3, FITC, Cy7, Cy5.5, PE-Cy5, PE-Cy7, PerCp-Cy5.5, APC, Cy5, PE-Cy3, PE-Cy5.5, APC-Cy7, Biotin-APC, FITC-Biotin, TRITC, APC-Cy5, AF488, AF594, AF405, AF555, AF700, AF647, AF750 |
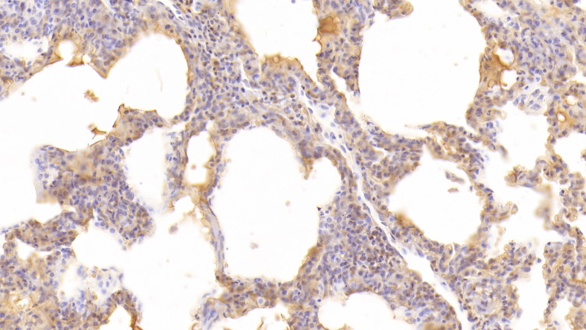
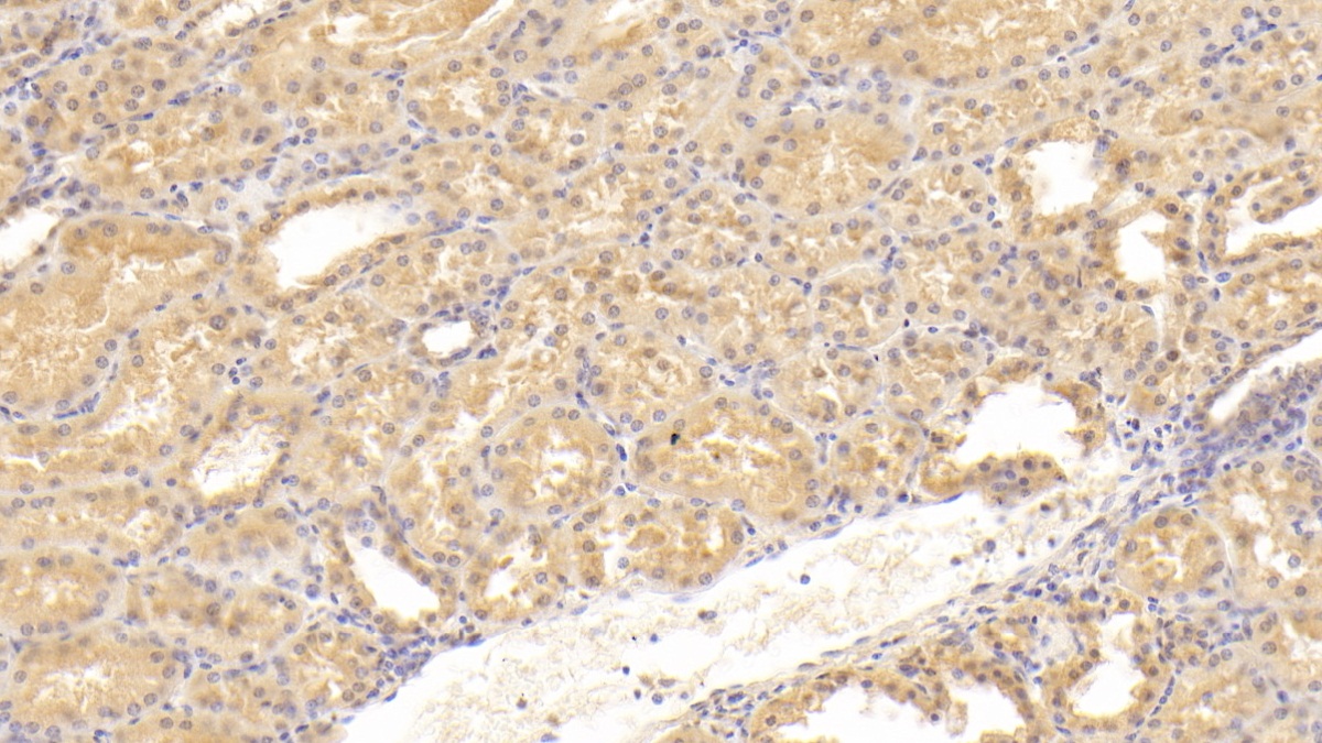
| Валидировано для | IHC Иммуногистохимия |
| Рекомендуемые разведения | WB: 0.5-2 мкг/мл; IHC: 5-20 мкг/мл; ICC: 5-20 мкг/мл; Оптимальное разведение определяется конечным потребителем |
| Метод очистки | Аффинная хроматография с белком А и белком G |
| Состав буфера | 0.01M PBS, pH7.4, 0.05% Proclin-300, 50% глицерин |
| Условия доставки | термобокс с аккумуляторами холода |
| Условия хранения | Сразу после получения аликвотировать и хранить при -20ºС до 24 месяцев. Для частого использования хранить при +4ºС не более 2 недель. Избегать повторения циклов замерзания/оттаивания |
| Срок хранения | 24 месяца |
| Производитель | Cloud-Clone Corp. |
| Ссылка на страницу товара на сайте производителя | http://www.cloud-clone.com/products/MAA468Hu24.html |
|
Артикул
|
Наименование |
Производитель
|
|---|
|
Артикул
|
Наименование |
Производитель
|
|---|
|
Артикул
|
Наименование |
Производитель
|
|---|
|
Артикул
|
Наименование |
Производитель
|
|---|
|
Артикул
|
Наименование |
Производитель
|
|---|
|
Артикул
|
Наименование |
Производитель
|
|---|
Акции и предложения
Популярные продукты:
ELISA Kit DIY Materials for Wingless Type MMTV Integration Site Family, Member 5B (WNT5B) (KSP122Hu01)
Организм: человек
Диапазон определения: 1.56-100 нг/мл
Чувствительность: 0.56 нг/мл
Диапазон определения: 1.56-100 нг/мл
Чувствительность: 0.56 нг/мл
ELISA Kit for Double C2 Like Domains Alpha (DOC2a) (SEG173Hu)
Организм: человек
Диапазон определения: 0.156-10 нг/мл
Чувствительность: 5.9 пг/мл
Диапазон определения: 0.156-10 нг/мл
Чувствительность: 5.9 пг/мл
Chicken NLR Pyrin Domain Containing Proteins 3 ELISA kit (E12N0593)
Организм: курица

