| UNIPROT | P01732 |
| Иммуноген | EPB099Hu61-Eukaryotic Cluster Of Differentiation 8a (CD8a) |
Monoclonal Antibody to Cluster Of Differentiation 8a (CD8a) (MAB099Hu26)
Реактивность подтвержденная:
человек
Источник (хозяин):
мышь
Валидировано для:
IHC
WB
Характеристики
Техническое описание
| Русское название | MAB099Hu26 Моноклональное антитело к CD8a (человек) <Cloud-Clone,Китай> |
| Каталожный номер | MAB099Hu26 |
| Название антигена | Cluster Of Differentiation 8a (CD8a) |
| UNIPROT | P01732 |
| Иммуноген | EPB099Hu61-Eukaryotic Cluster Of Differentiation 8a (CD8a) |
| Английские синонимы | p32, CD8-A, CD-8A, CD 8A, Leu2, MAL, T-cell surface glycoprotein CD8 alpha chain, T-lymphocyte differentiation antigen T8/Leu-2 |
| Русские синонимы | Кластер дифференцировки 8 альфа |
Реактивность подтвержденная Нужна другая реактивность? |
человек |
| Источник (хозяин) | мышь |
| Изотип | IgG1 Kappa |
| Клональность | моноклональное |
| Клон | C14 |
| Рекомбинантное | нет |
| Готовое к использованию | нет |
| Концентрация | 1 мг/мл |
| Конъюгат | По запросу: HRP, biotin, PerCP, PE, Cy3, FITC, Cy7, Cy5.5, PE-Cy5, PE-Cy7, PerCp-Cy5.5, APC, Cy5, PE-Cy3, PE-Cy5.5, APC-Cy7, Biotin-APC, FITC-Biotin, TRITC, APC-Cy5, AF488, AF594, AF405, AF555, AF700, AF647, AF750 |
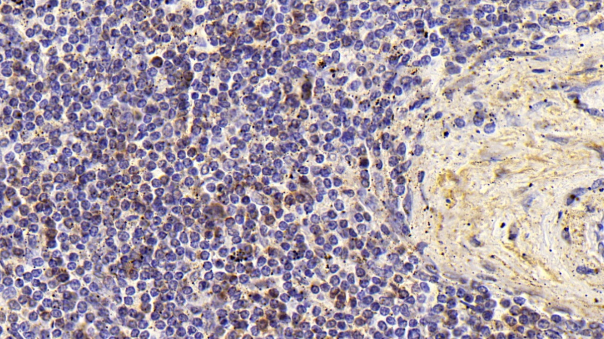
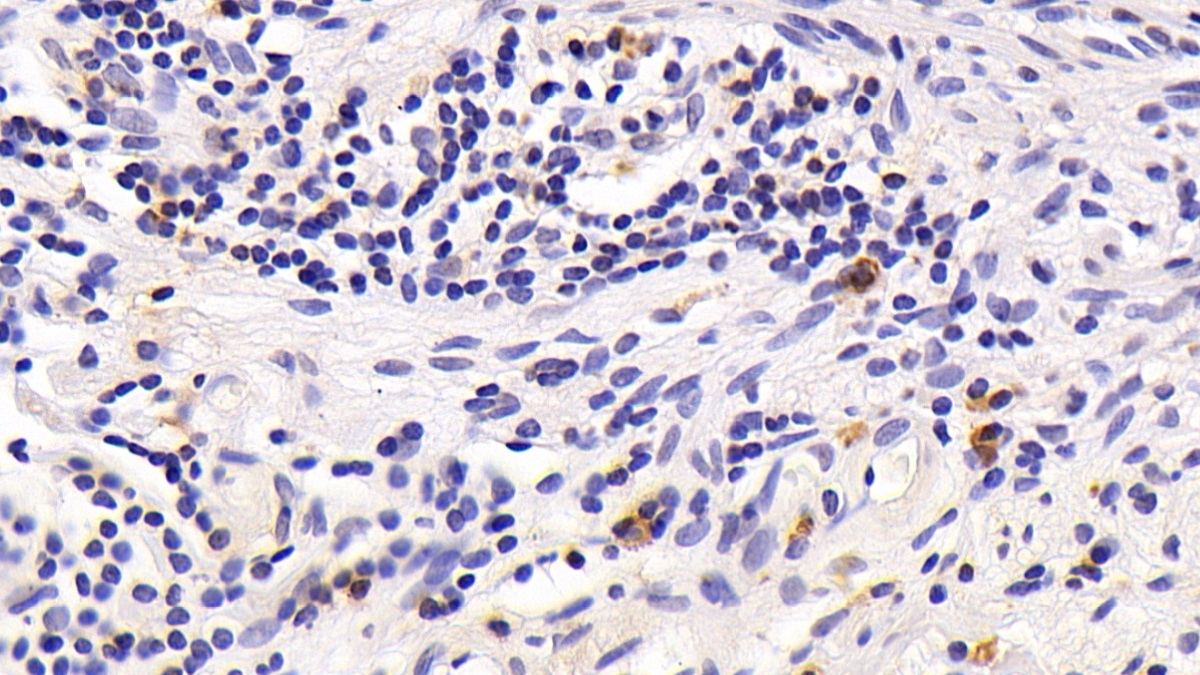
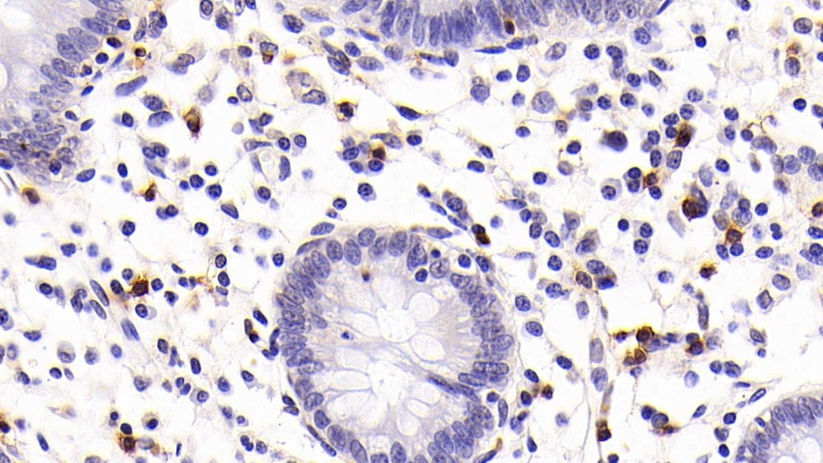
| Валидировано для | IHC WB Иммуногистохимия; Вестерн-блоттинг |
| Рекомендуемые разведения | WB: 0.5-2 мкг/мл; IHC: 5-40 мкг/мл; Оптимальное разведение определяется конечным потребителем |
| Метод очистки | Аффинная хроматография с белком А и белком G |
| Состав буфера | 0.01M PBS, pH7.4, 0.05% Proclin-300, 50% глицерин |
| Условия доставки | термобокс с аккумуляторами холода |
| Условия хранения | Сразу после получения аликвотировать и хранить при -20ºС до 24 месяцев. Для частого использования хранить при +4ºС не более 2 недель. Избегать повторения циклов замерзания/оттаивания |
| Срок хранения | 24 месяца |
| Производитель | Cloud-Clone Corp. |
| Ссылка на страницу товара на сайте производителя | http://www.cloud-clone.com/products/MAB099Hu26.html |
|
Артикул
|
Наименование |
Производитель
|
|---|
|
Артикул
|
Наименование |
Производитель
|
|---|
|
Артикул
|
Наименование |
Производитель
|
|---|
|
Артикул
|
Наименование |
Производитель
|
|---|
|
Артикул
|
Наименование |
Производитель
|
|---|
|
Артикул
|
Наименование |
Производитель
|
|---|
|
Артикул
|
Наименование |
Производитель
|
|---|
|
Артикул
|
Наименование |
Производитель
|
|---|
Акции и предложения
Популярные продукты:
Anti-Human CD37/TSPAN26 Antibody (Fs0323) (FHC85130)
Источник (хозяин): мышь
Реактивность подтвержденная: человек
Валидировано для: ELISA, FCM, NEUT
Реактивность подтвержденная: человек
Валидировано для: ELISA, FCM, NEUT
ELISA Kit for Hepcidin (Hepc) (SEB979Bo)
Организм: корова
Диапазон определения: 31.2-2,000 пг/мл
Чувствительность: 0.117 нг/мл
Диапазон определения: 31.2-2,000 пг/мл
Чувствительность: 0.117 нг/мл
Canine Kappa casein(CSN3) ELISA kit (E08K0085)
Организм: собака
Guinea Pig Zinc transporter 6(SLC30A6) ELISA kit (E05Z0014)
Организм: морская свинка

