| UNIPROT | Q9XSC5 |
| Иммуноген | RPB180Rb01-Recombinant Clusterin (CLU) |
Monoclonal Antibody to Clusterin (CLU) (MAB180Rb21)
Реактивность подтвержденная:
кролик
Источник (хозяин):
мышь
Валидировано для:
IHC
WB
Характеристики
Техническое описание
| Русское название | MAB180Rb21 Моноклональное антитело к CLU (кролик) <Cloud-Clone,Китай> |
| Каталожный номер | MAB180Rb21 |
| Название антигена | Clusterin (CLU) |
| UNIPROT | Q9XSC5 |
| Иммуноген | RPB180Rb01-Recombinant Clusterin (CLU) |
| Английские синонимы | CLU, TRPM2, KUB1, CLI, APOJ, SGP2, AAG4, APO-J, SP-40, Apolipoprotein J, Complement Lysis Inhibitor, 40,Sulfated Glycoprotein 2, Testosterone-Repressed Prostate Message 2 |
| Русские синонимы | Аполипопротеин J, димерный кислый гликопротеин, репрессируемый тестостероном маркер простаты-2, сульфатированный гликопротеин-2, ингибитор лизиса, опосредованного комплементом |
Реактивность подтвержденная Нужна другая реактивность? |
кролик |
| Реактивность предсказываемая | крыса |
| Источник (хозяин) | мышь |
| Изотип | IgG2a Kappa |
| Клональность | моноклональное |
| Клон | C10 |
| Рекомбинантное | нет |
| Готовое к использованию | нет |
| Концентрация | 1 мг/мл |
| Конъюгат | По запросу: HRP, biotin, PerCP, PE, Cy3, FITC, Cy7, Cy5.5, PE-Cy5, PE-Cy7, PerCp-Cy5.5, APC, Cy5, PE-Cy3, PE-Cy5.5, APC-Cy7, Biotin-APC, FITC-Biotin, TRITC, APC-Cy5, AF488, AF594, AF405, AF555, AF700, AF647, AF750 |
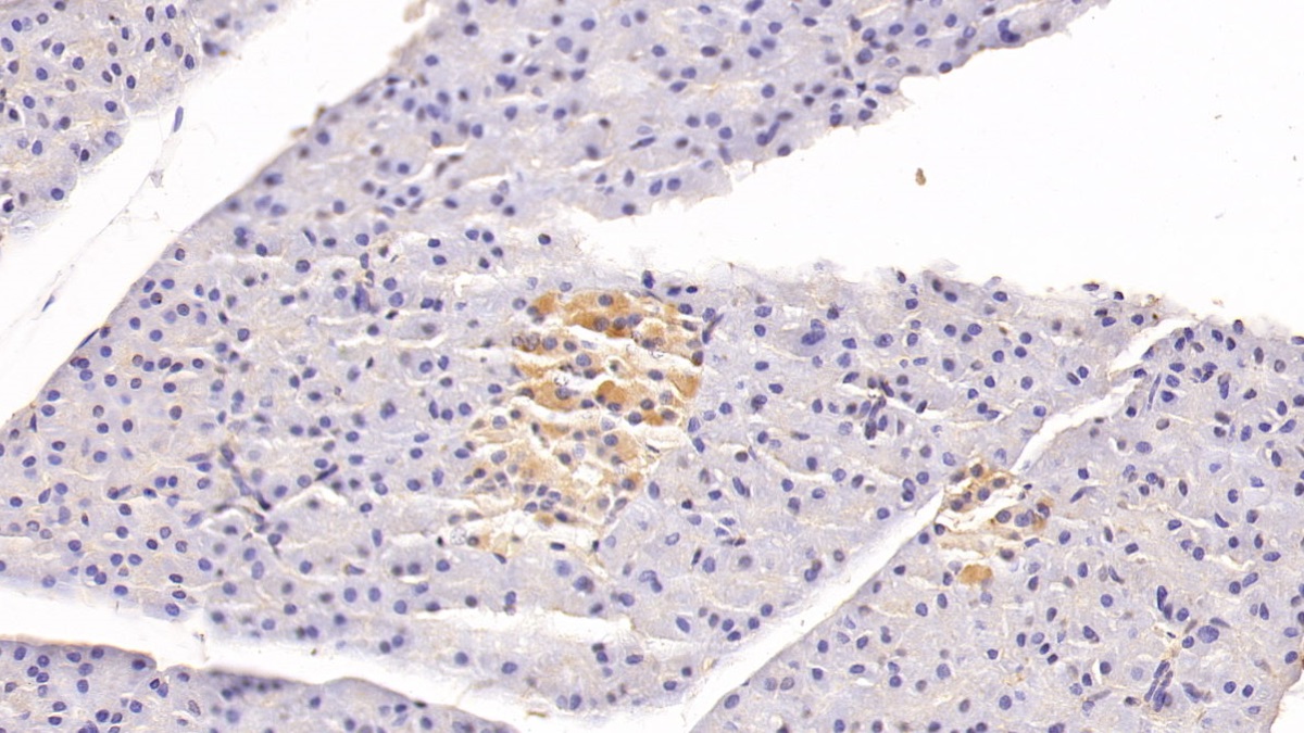
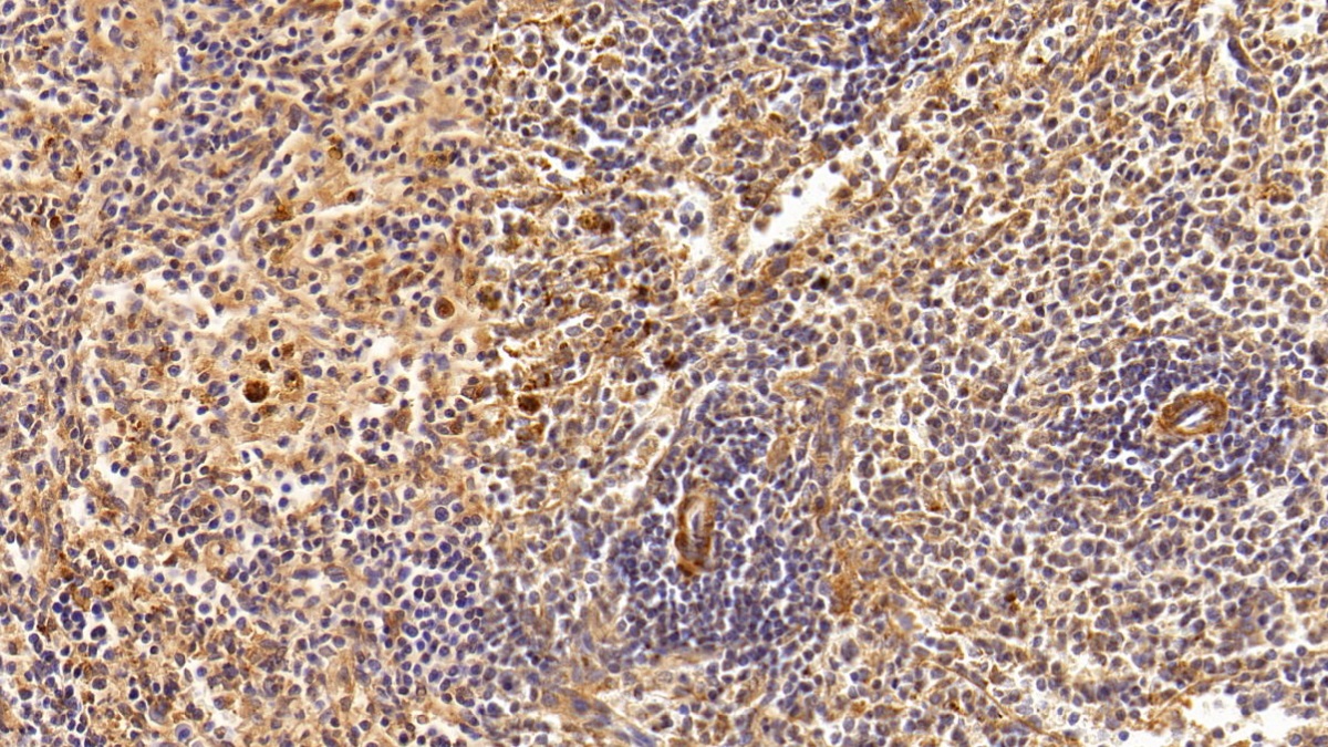
| Валидировано для | IHC WB Иммуногистохимия; Вестерн-блоттинг |
| Рекомендуемые разведения | WB: 0.5-5 мкг/мл; IHC: 5-30 мкг/мл; ICC: 5-30 мкг/мл; Оптимальное разведение определяется конечным потребителем |
| Метод очистки | Аффинная хроматография с белком А и белком G |
| Состав буфера | 0.01M PBS, pH7.4, 0.05% Proclin-300, 50% глицерин |
| Условия доставки | термобокс с аккумуляторами холода |
| Условия хранения | Сразу после получения аликвотировать и хранить при -20ºС до 24 месяцев. Для частого использования хранить при +4ºС не более 2 недель. Избегать повторения циклов замерзания/оттаивания |
| Срок хранения | 24 месяца |
| Производитель | Cloud-Clone Corp. |
| Ссылка на страницу товара на сайте производителя | http://www.cloud-clone.com/products/MAB180Rb21.html |
|
Артикул
|
Наименование |
Производитель
|
|---|
|
Артикул
|
Наименование |
Производитель
|
|---|
|
Артикул
|
Наименование |
Производитель
|
|---|
|
Артикул
|
Наименование |
Производитель
|
|---|
|
Артикул
|
Наименование |
Производитель
|
|---|
|
Артикул
|
Наименование |
Производитель
|
|---|
|
Артикул
|
Наименование |
Производитель
|
|---|
|
Артикул
|
Наименование |
Производитель
|
|---|
|
Артикул
|
Наименование |
Производитель
|
|---|
|
Артикул
|
Наименование |
Производитель
|
|---|
|
Артикул
|
Наименование |
Производитель
|
|---|
Акции и предложения
Популярные продукты:
Anti-Proteasome 26S Subunit, Non ATPase 7 (PSMD7) Polyclonal Antibody (FAG282Hu01)
Источник (хозяин): кролик
Реактивность подтвержденная: человек
Валидировано для: FCM
Реактивность подтвержденная: человек
Валидировано для: FCM
Sheep Anoctamin 4(ANO4) ELISA kit (E14A1530)
Организм: овца
Chicken Anoctamin 4(ANO4) ELISA kit (E12A1530)
Организм: курица
Human Anoctamin 4(ANO4) ELISA kit (E01A1530)
Организм: человек
Диапазон определения: 250-5000 пг/мл
Чувствительность: 1 пг/мл
Диапазон определения: 250-5000 пг/мл
Чувствительность: 1 пг/мл
Canine Metaxin 2(MTX2) ELISA kit (E08M0407)
Организм: собака
Mouse Histone Deacetylase 3 ELISA kit (E03H0236)
Организм: мышь

