| UNIPROT | P18292 |
| Иммуноген | RPA820Ra02-Recombinant Coagulation Factor II (F2) |
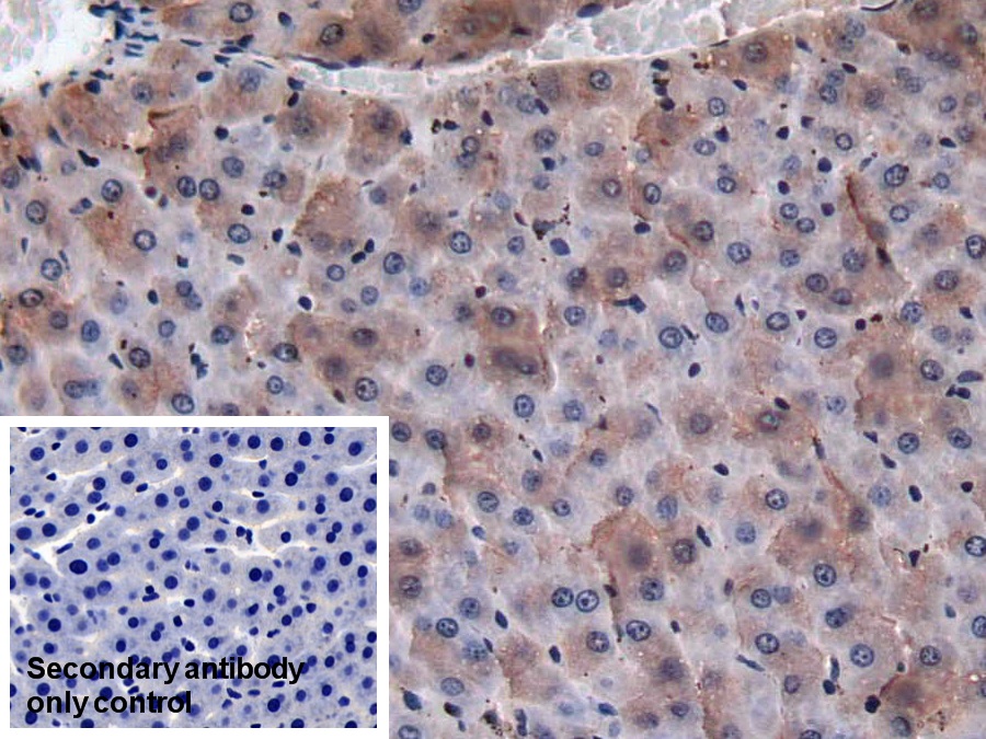
Monoclonal Antibody to Coagulation Factor II (F2) (MAA820Ra24)
Реактивность подтвержденная:
крыса
Источник (хозяин):
мышь
Валидировано для:
IHC
WB
Характеристики
Техническое описание
| Русское название | MAA820Ra24 Моноклональное антитело к фактору свертывания крови II (крыса) <Cloud-Clone,Китай> |
| Каталожный номер | MAA820Ra24 |
| Название антигена | Coagulation Factor II (F2) |
| UNIPROT | P18292 |
| Иммуноген | RPA820Ra02-Recombinant Coagulation Factor II (F2) |
| Английские синонимы | FII, TM, PT, Thrombin, Prothrombin, Pro-Thrombin, Activation peptide fragment 1, Activation peptide fragment 2, PIVKA-II |
| Русские синонимы | Тромбин |
Реактивность подтвержденная Нужна другая реактивность? |
крыса |
| Источник (хозяин) | мышь |
| Изотип | IgG2b Kappa |
| Клональность | моноклональное |
| Клон | C16 |
| Рекомбинантное | нет |
| Готовое к использованию | нет |
| Концентрация | 1 мг/мл |
| Конъюгат | По запросу: HRP, biotin, PerCP, PE, Cy3, FITC, Cy7, Cy5.5, PE-Cy5, PE-Cy7, PerCp-Cy5.5, APC, Cy5, PE-Cy3, PE-Cy5.5, APC-Cy7, Biotin-APC, FITC-Biotin, TRITC, APC-Cy5, AF488, AF594, AF405, AF555, AF700, AF647, AF750 |
| Валидировано для | IHC WB Иммуногистохимия; Вестерн-блоттинг |
| Рекомендуемые разведения | WB: 0.5-2 мкг/мл; IHC: 5-20 мкг/мл; ICC: 5-20 мкг/мл; Оптимальное разведение определяется конечным потребителем |
| Метод очистки | Аффинная хроматография с белком А и белком G |
| Состав буфера | 0.01M PBS, pH7.4, 0.05% Proclin-300, 50% глицерин |
| Условия доставки | термобокс с аккумуляторами холода |
| Условия хранения | Сразу после получения аликвотировать и хранить при -20ºС до 24 месяцев. Для частого использования хранить при +4ºС не более 2 недель. Избегать повторения циклов замерзания/оттаивания |
| Срок хранения | 24 месяца |
| Производитель | Cloud-Clone Corp. |
| Ссылка на страницу товара на сайте производителя | http://www.cloud-clone.com/products/MAA820Ra24.html |
|
Артикул
|
Наименование |
Производитель
|
|---|
|
Артикул
|
Наименование |
Производитель
|
|---|
|
Артикул
|
Наименование |
Производитель
|
|---|
|
Артикул
|
Наименование |
Производитель
|
|---|
|
Артикул
|
Наименование |
Производитель
|
|---|
|
Артикул
|
Наименование |
Производитель
|
|---|
|
Артикул
|
Наименование |
Производитель
|
|---|
Акции и предложения
Популярные продукты:
Goat Filaggrin ELISA kit (E06F0028)
Организм: коза
Sheep Neuronatin(NNAT) ELISA kit (E14N0552)
Организм: овца
Rabbit Cytochrome P450 5A1 ELISA kit (E04C2782)
Организм: кролик
Chicken Sequestosome 1 ELISA kit (E12S0792)
Организм: курица
Диапазон определения: 1-25 нг/мл
Диапазон определения: 1-25 нг/мл
Bovine Alanine ELISA kit (E11A4348)
Организм: корова

