| UNIPROT | P01031 |
| Иммуноген | RPA388Hu01-Recombinant Complement Component 5a (C5a) |
Monoclonal Antibody to Complement Component 5a (C5a) (MAA388Hu22)
Реактивность подтвержденная:
человек
Источник (хозяин):
мышь
Валидировано для:
IHC
WB
Характеристики
Техническое описание
| Русское название | MAA388Hu22 Моноклональное антитело к C5a (человек) <Cloud-Clone,Китай> |
| Каталожный номер | MAA388Hu22 |
| Название антигена | Complement Component 5a (C5a) |
| UNIPROT | P01031 |
| Иммуноген | RPA388Hu01-Recombinant Complement Component 5a (C5a) |
Реактивность подтвержденная Нужна другая реактивность? |
человек |
| Реактивность предсказываемая | крыса, свинья |
| Источник (хозяин) | мышь |
| Изотип | IgG2b Kappa |
| Клональность | моноклональное |
| Клон | D4 |
| Рекомбинантное | нет |
| Готовое к использованию | нет |
| Концентрация | 1 мг/мл |
| Конъюгат | По запросу: HRP, biotin, PerCP, PE, Cy3, FITC, Cy7, Cy5.5, PE-Cy5, PE-Cy7, PerCp-Cy5.5, APC, Cy5, PE-Cy3, PE-Cy5.5, APC-Cy7, Biotin-APC, FITC-Biotin, TRITC, APC-Cy5, AF488, AF594, AF405, AF555, AF700, AF647, AF750 |
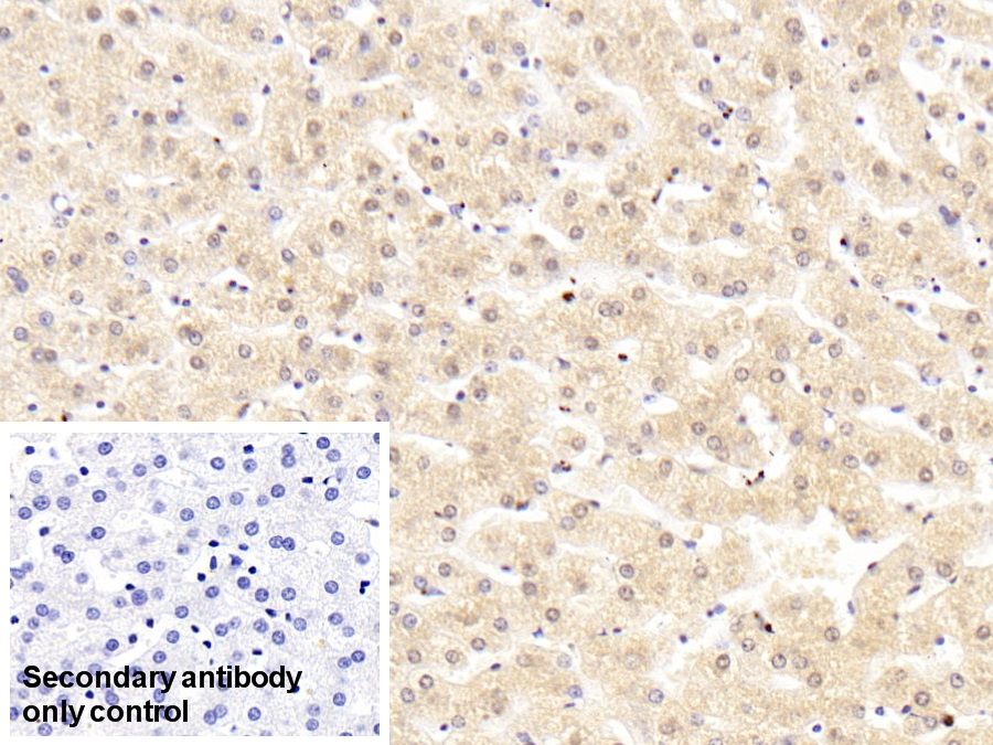
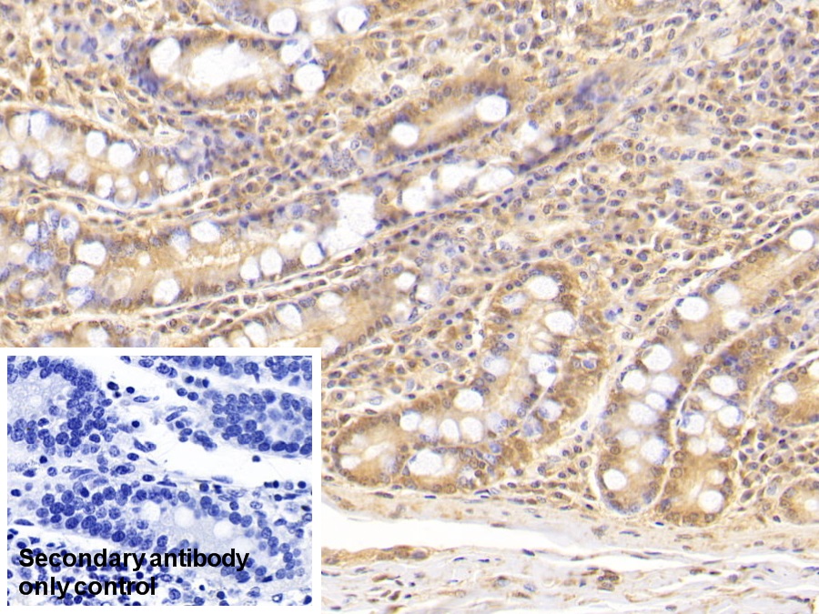
| Валидировано для | IHC WB Иммуногистохимия; Вестерн-блоттинг |
| Рекомендуемые разведения | WB: 0.01-5 мкг/мл; IHC: 5-30 мкг/мл; Оптимальное разведение определяется конечным потребителем |
| Метод очистки | Аффинная хроматография с белком А и белком G |
| Состав буфера | 0.01M PBS, pH7.4, 0.05% Proclin-300, 50% глицерин |
| Условия доставки | термобокс с аккумуляторами холода |
| Условия хранения | Сразу после получения аликвотировать и хранить при -20ºС до 24 месяцев. Для частого использования хранить при +4ºС не более 2 недель. Избегать повторения циклов замерзания/оттаивания |
| Срок хранения | 24 месяца |
| Производитель | Cloud-Clone Corp. |
| Ссылка на страницу товара на сайте производителя | http://www.cloud-clone.com/products/MAA388Hu22.html |
|
Артикул
|
Наименование |
Производитель
|
|---|
|
Артикул
|
Наименование |
Производитель
|
|---|
|
Артикул
|
Наименование |
Производитель
|
|---|
|
Артикул
|
Наименование |
Производитель
|
|---|
|
Артикул
|
Наименование |
Производитель
|
|---|
Акции и предложения
Популярные продукты:
SENP2 Antibody (AF6534)
Источник (хозяин): кролик
Реактивность подтвержденная: человек
Реактивность подтвержденная: человек
Monoclonal Antibody to Complement Component 5a (C5a) (MAA388Mu22)
Источник (хозяин): мышь
Реактивность подтвержденная: мышь
Валидировано для: ICC, IF
Реактивность подтвержденная: мышь
Валидировано для: ICC, IF
Mini Samples ELISA Kit for Alkaline Phosphatase (ALP) (MEB472Hu)
Организм: человек
Диапазон определения: 1.56-100 нг/мл
Чувствительность: 0.055 нг/мл
Диапазон определения: 1.56-100 нг/мл
Чувствительность: 0.055 нг/мл
Human Thyrotropin subunit β(TSHB) ELISA kit (E01T0738)
Организм: человек
Диапазон определения: 5-100 мл Ед/мл
Чувствительность: 1 мл Ед/мл
Диапазон определения: 5-100 мл Ед/мл
Чувствительность: 1 мл Ед/мл
Sheep Profilin 1 ELISA kit (E14P1059)
Организм: овца
Monkey Profilin 1 ELISA kit (E09P1059)
Организм: обезьяна

