| UNIPROT | P12277 |
| Иммуноген | RPC030Hu01-Recombinant Creatine Kinase B (CK-BB) |
Monoclonal Antibody to Creatine Kinase B (CK-BB) (MAC030Hu24)
Реактивность подтвержденная:
человек
Источник (хозяин):
мышь
Валидировано для:
IHC
WB
Характеристики
Техническое описание
| Русское название | MAC030Hu24 Моноклональное антитело к CK-BB (человек) <Cloud-Clone,Китай> |
| Каталожный номер | MAC030Hu24 |
| Название антигена | Creatine Kinase, Brain (CKB) |
| UNIPROT | P12277 |
| Иммуноген | RPC030Hu01-Recombinant Creatine Kinase B (CK-BB) |
| Английские синонимы | CK-BB, CKBB, CK-B, CK-1 |
Реактивность подтвержденная Нужна другая реактивность? |
человек |
| Реактивность предсказываемая | свинья |
| Источник (хозяин) | мышь |
| Изотип | IgG1 Kappa |
| Клональность | моноклональное |
| Клон | D6 |
| Рекомбинантное | нет |
| Готовое к использованию | нет |
| Концентрация | 1 мг/мл |
| Конъюгат | По запросу: HRP, biotin, PerCP, PE, Cy3, FITC, Cy7, Cy5.5, PE-Cy5, PE-Cy7, PerCp-Cy5.5, APC, Cy5, PE-Cy3, PE-Cy5.5, APC-Cy7, Biotin-APC, FITC-Biotin, TRITC, APC-Cy5, AF488, AF594, AF405, AF555, AF700, AF647, AF750 |
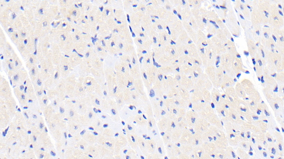
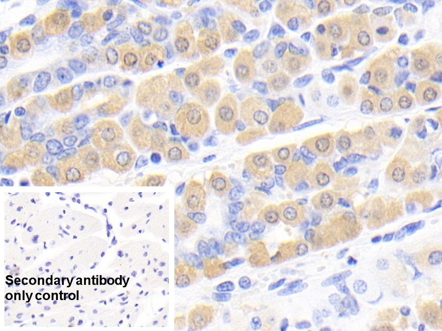
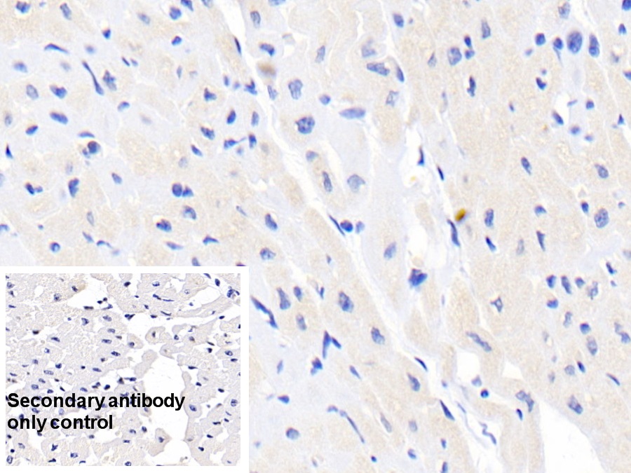
| Валидировано для | IHC WB Иммуногистохимия; Вестерн-блоттинг |
| Рекомендуемые разведения | WB: 0.5-2 мкг/мл; IHC: 5-20 мкг/мл; ICC: 5-20 мкг/мл; Оптимальное разведение определяется конечным потребителем |
| Метод очистки | Аффинная хроматография с белком А и белком G |
| Состав буфера | 0.01M PBS, pH7.4, 0.05% Proclin-300, 50% глицерин |
| Условия доставки | термобокс с аккумуляторами холода |
| Условия хранения | Сразу после получения аликвотировать и хранить при -20ºС до 24 месяцев. Для частого использования хранить при +4ºС не более 2 недель. Избегать повторения циклов замерзания/оттаивания |
| Срок хранения | 24 месяца |
| Производитель | Cloud-Clone Corp. |
| Ссылка на страницу товара на сайте производителя | http://www.cloud-clone.com/products/MAC030Hu24.html |
|
Артикул
|
Наименование |
Производитель
|
|---|
|
Артикул
|
Наименование |
Производитель
|
|---|
|
Артикул
|
Наименование |
Производитель
|
|---|
|
Артикул
|
Наименование |
Производитель
|
|---|
|
Артикул
|
Наименование |
Производитель
|
|---|
|
Артикул
|
Наименование |
Производитель
|
|---|
Акции и предложения
Популярные продукты:
MBP Monoclonal Antibody (ELAB6201-M)
Источник (хозяин): мышь
Реактивность подтвержденная: человек
Валидировано для: IHC
Реактивность подтвержденная: человек
Валидировано для: IHC
ELISA Kit DIY Materials for Paraoxonase 1 (PON1) (KSA243Hu01)
Организм: человек
Диапазон определения: 3.12-200 нг/мл
Чувствительность: 1.39 нг/мл
Диапазон определения: 3.12-200 нг/мл
Чувствительность: 1.39 нг/мл
Anti-CD79α/CD79A Antibody (R1N50) (RHC91001)
Источник (хозяин): кролик
Реактивность подтвержденная: человек
Валидировано для: IF, IHC, WB
Реактивность подтвержденная: человек
Валидировано для: IF, IHC, WB
BSA Conjugated 7-Dehydrocholesterol (7-DHC) (CPD057Ge11)
Организм: для всех
Теги: N-концевой His-Tag
Биоактивность: нет
Теги: N-концевой His-Tag
Биоактивность: нет
NPNT Mouse Monoclonal Antibody (BF8674)
Источник (хозяин): мышь
Реактивность подтвержденная: человек, мышь
Валидировано для: WB
Реактивность подтвержденная: человек, мышь
Валидировано для: WB
Canine Spermine ELISA kit (E08S0034)
Организм: собака

